1. トップページヘ
  2. 目・二重 / 二重
  3. 二重切開法(全切開・部分切開)

二重切開法(全切開・部分切開)

詳細をみる

希望の二重ラインに合わせて皮膚を切開して挙筋腱膜と皮下組織を縫合し、半永久的な二重幅を形成する施術です。

検索条件

1~16件を表示:全16件

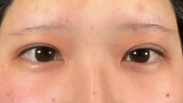
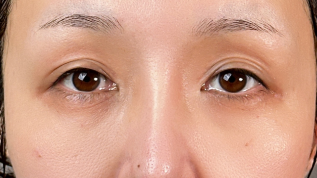
女性 30代

No.00771/ID:96300

患部の状態

  • 瞼の重み
  • 瞼のたるみ

本人のご要望

  • #全切開
  • #下脱脂
  • Before
    手術前の状態
  • Before
    手術前の状態
  • Before
    手術前の状態
  • After
    手術後の状態
  • After
    手術後の状態
  • After
    手術後の状態

施術内容・リスク

  • 施術内容・
    リスク
    【二重切開法】
    ▪︎通常価格 / ¥217,800〜¥327,800
    ▪︎治療回数 / 1回
    ▪︎治療内容 / 希望の二重ラインに合わせて皮膚を切開して挙筋腱膜と皮下組織を縫合し、半永久的な二重幅を形成する施術です。
    ▪︎リスク▪︎副作用について / 腫れ▪︎合併症▪︎皮下出血▪︎血腫▪︎目の違和感▪︎感染▪︎疼痛▪︎肥厚性瘢痕▪︎ケロイドなど ※自由診療

    【下脱脂】
    ▪︎通常価格 / ¥19,800〜¥250,500
    ▪︎治療回数 / 1回
    ▪︎治療内容 / クマの原因となっている脂肪を、内側▪︎中央▪︎外側の部位から余分な脂肪のみをバランスを整えながら取り除く施術です。
    ▪︎リスク▪︎副作用について / 内出血、腫れ、充血、結膜浮腫など ※自由診療

女性 40代

No.00602/ID:63910

患部の状態

  • 重め瞼
  • 目が小さく・細く見える

本人のご要望

  • #全切開
  • Before
    手術前の状態
  • Before
    手術前の状態
  • Before
    手術前の状態
  • After
    手術後の状態
  • After
    手術後の状態
  • After
    手術後の状態

施術内容・リスク

  • 施術内容・
    リスク
    【二重切開法】
    ▪︎通常価格 / ¥217,800〜¥327,800
    ▪︎治療回数 / 1回
    ▪︎治療内容 / 希望の二重ラインに合わせて皮膚を切開して挙筋腱膜と皮下組織を縫合し、半永久的な二重幅を形成する施術です。
    ▪︎リスク▪︎副作用について / 腫れ▪︎合併症▪︎皮下出血▪︎血腫▪︎目の違和感▪︎感染▪︎疼痛▪︎肥厚性瘢痕▪︎ケロイドなど ※自由診療

女性 20代

No.00473/ID:195329

患部の状態

  • 奥二重
  • 目つきが悪く見える

本人のご要望

  • #全切開
  • Before
    手術前の状態
  • Before
    手術前の状態
  • Before
    手術前の状態
  • After
    手術後の状態
  • After
    手術後の状態
  • After
    手術後の状態

施術内容・リスク

  • 施術内容・
    リスク
    【二重切開法】
    ▪︎通常価格 / ¥217,800〜¥327,800
    ▪︎治療回数 / 1回
    ▪︎治療内容 / 希望の二重ラインに合わせて皮膚を切開して挙筋腱膜と皮下組織を縫合し、半永久的な二重幅を形成する施術です。
    ▪︎リスク▪︎副作用について / 腫れ▪︎合併症▪︎皮下出血▪︎血腫▪︎目の違和感▪︎感染▪︎疼痛▪︎肥厚性瘢痕▪︎ケロイドなど ※自由診療

女性 40代

No.00471/ID:137389

患部の状態

  • 瞼の重み
  • 瞼のたるみ

本人のご要望

  • #全切開
  • Before
    手術前の状態
  • Before
    手術前の状態
  • Before
    手術前の状態
  • After
    手術後の状態
  • After
    手術後の状態
  • After
    手術後の状態

施術内容・リスク

  • 施術内容・
    リスク
    【二重切開法】
    ▪︎通常価格 / ¥217,800〜¥327,800
    ▪︎治療回数 / 1回
    ▪︎治療内容 / 希望の二重ラインに合わせて皮膚を切開して挙筋腱膜と皮下組織を縫合し、半永久的な二重幅を形成する施術です。
    ▪︎リスク▪︎副作用について / 腫れ▪︎合併症▪︎皮下出血▪︎血腫▪︎目の違和感▪︎感染▪︎疼痛▪︎肥厚性瘢痕▪︎ケロイドなど ※自由診療

女性 50代

No.00445/ID:188286

患部の状態

  • 重め瞼
  • 目が小さく・細く見える

本人のご要望

  • #全切開
  • Before
    手術前の状態
  • Before
    手術前の状態
  • Before
    手術前の状態
  • After
    手術後の状態
  • After
    手術後の状態
  • After
    手術後の状態

施術内容・リスク

  • 施術内容・
    リスク
    【二重切開法】
    ▪︎通常価格 / ¥217,800〜¥327,800
    ▪︎治療回数 / 1回
    ▪︎治療内容 / 希望の二重ラインに合わせて皮膚を切開して挙筋腱膜と皮下組織を縫合し、半永久的な二重幅を形成する施術です。
    ▪︎リスク▪︎副作用について / 腫れ▪︎合併症▪︎皮下出血▪︎血腫▪︎目の違和感▪︎感染▪︎疼痛▪︎肥厚性瘢痕▪︎ケロイドなど ※自由診療

女性 20代

No.00398/ID:164583

患部の状態

  • 重め瞼
  • 目が小さく・細く見える

本人のご要望

  • #全切開
  • Before
    手術前の状態
  • Before
    手術前の状態
  • Before
    手術前の状態
  • After
    手術後の状態
  • After
    手術後の状態
  • After
    手術後の状態

施術内容・リスク

  • 施術内容・
    リスク
    【二重切開法】
    ▪︎通常価格 / ¥217,800〜¥327,800
    ▪︎治療回数 / 1回
    ▪︎治療内容 / 希望の二重ラインに合わせて皮膚を切開して挙筋腱膜と皮下組織を縫合し、半永久的な二重幅を形成する施術です。
    ▪︎リスク▪︎副作用について / 腫れ▪︎合併症▪︎皮下出血▪︎血腫▪︎目の違和感▪︎感染▪︎疼痛▪︎肥厚性瘢痕▪︎ケロイドなど ※自由診療

男性 30代

No.00389/ID:176057

患部の状態

  • 重め瞼
  • 目が小さく・細く見える

本人のご要望

  • #全切開
  • Before
    手術前の状態
  • Before
    手術前の状態
  • Before
    手術前の状態
  • After
    手術後の状態
  • After
    手術後の状態
  • After
    手術後の状態

施術内容・リスク

  • 施術内容・
    リスク
    【二重切開法】
    ▪︎通常価格 / ¥217,800〜¥327,800
    ▪︎治療回数 / 1回
    ▪︎治療内容 / 希望の二重ラインに合わせて皮膚を切開して挙筋腱膜と皮下組織を縫合し、半永久的な二重幅を形成する施術です。
    ▪︎リスク▪︎副作用について / 腫れ▪︎合併症▪︎皮下出血▪︎血腫▪︎目の違和感▪︎感染▪︎疼痛▪︎肥厚性瘢痕▪︎ケロイドなど ※自由診療

女性 60代

No.00364/ID:164819

患部の状態

  • 不安定二重
  • 目つきが悪く見える

本人のご要望

  • #全切開
  • Before
    手術前の状態
  • Before
    手術前の状態
  • Before
    手術前の状態
  • After
    手術後の状態
  • After
    手術後の状態
  • After
    手術後の状態

施術内容・リスク

  • 施術内容・
    リスク
    【二重切開法】
    ▪︎通常価格 / ¥217,800〜¥327,800
    ▪︎治療回数 / 1回
    ▪︎治療内容 / 希望の二重ラインに合わせて皮膚を切開して挙筋腱膜と皮下組織を縫合し、半永久的な二重幅を形成する施術です。
    ▪︎リスク▪︎副作用について / 腫れ▪︎合併症▪︎皮下出血▪︎血腫▪︎目の違和感▪︎感染▪︎疼痛▪︎肥厚性瘢痕▪︎ケロイドなど ※自由診療

女性 40代

No.00293/ID:170398

患部の状態

  • 左右差あり
  • 三重

本人のご要望

  • #全切開
  • Before
    手術前の状態
  • Before
    手術前の状態
  • Before
    手術前の状態
  • After
    手術後の状態
  • After
    手術後の状態
  • After
    手術後の状態

施術内容・リスク

  • 施術内容・
    リスク
    【二重切開法】
    ▪︎通常価格 / ¥217,800〜¥327,800
    ▪︎治療回数 / 1回
    ▪︎治療内容 / 希望の二重ラインに合わせて皮膚を切開して挙筋腱膜と皮下組織を縫合し、半永久的な二重幅を形成する施術です。
    ▪︎リスク▪︎副作用について / 腫れ▪︎合併症▪︎皮下出血▪︎血腫▪︎目の違和感▪︎感染▪︎疼痛▪︎肥厚性瘢痕▪︎ケロイドなど ※自由診療

女性 60代

No.00165/ID:213777

患部の状態

  • 瞼のたるみ
  • 目つきが悪く見える

本人のご要望

  • #全切開
  • Before
    手術前の状態
  • Before
    手術前の状態
  • Before
    手術前の状態
  • After
    手術後の状態
  • After
    手術後の状態
  • After
    手術後の状態

施術内容・リスク

  • 施術内容・
    リスク
    【二重切開法】
    ▪︎通常価格 / ¥217,800〜¥327,800
    ▪︎治療回数 / 1回
    ▪︎治療内容 / 希望の二重ラインに合わせて皮膚を切開して挙筋腱膜と皮下組織を縫合し、半永久的な二重幅を形成する施術です。
    ▪︎リスク▪︎副作用について / 腫れ▪︎合併症▪︎皮下出血▪︎血腫▪︎目の違和感▪︎感染▪︎疼痛▪︎肥厚性瘢痕▪︎ケロイドなど ※自由診療

    【下脱脂】
    ▪︎通常価格 / ¥19,800〜¥250,500
    ▪︎治療回数 / 1回
    ▪︎治療内容 / クマの原因となっている脂肪を、内側▪︎中央▪︎外側の部位から余分な脂肪のみをバランスを整えながら取り除く施術です。
    ▪︎リスク▪︎副作用について / 内出血、腫れ、充血、結膜浮腫など ※自由診療

女性 30代

No.00032/ID:68787

患部の状態

  • 左右差あり
  • 不安定二重

本人のご要望

  • #まつ毛の生え際を見せたい
  • #目頭切開
  • Before
    手術前の状態
  • Before
    手術前の状態
  • Before
    手術前の状態
  • After
    手術後の状態
  • After
    手術後の状態
  • After
    手術後の状態

施術内容・リスク

  • 施術内容・
    リスク
    【グラマラスライン】痛み・違和感・腫れ・傷跡・後戻りなどが生じることがある。【目頭切開】腫れ・痛み・内出血・傷跡・赤み:3日〜3ヶ月程度 

女性 20代

No.00030/ID:74937

患部の状態

  • 左右差あり

本人のご要望

  • #二重幅を広げたい
  • #平行型
  • #目頭切開
  • Before
    手術前の状態
  • Before
    手術前の状態
  • Before
    手術前の状態
  • After
    手術後の状態
  • After
    手術後の状態
  • After
    手術後の状態

施術内容・リスク

  • 施術内容・
    リスク
    【目頭切開】➡︎腫れ・痛み・内出血・傷跡・赤み:3日〜3ヶ月程度 【自然癒着法】➡︎腫れ・痛み・内出血:2日〜2週間程度

女性 30代

No.00029/ID:74921

患部の状態

  • 蒙古襞の張り
  • 左右差あり

本人のご要望

  • #自然なデザイン
  • #くっきり二重
  • #末広型
  • #目頭切開
  • Before
    手術前の状態
  • Before
    手術前の状態
  • Before
    手術前の状態
  • After
    手術後の状態
  • After
    手術後の状態
  • After
    手術後の状態

施術内容・リスク

  • 施術内容・
    リスク
    【目頭切開】➡︎腫れ・痛み・内出血・傷跡・赤み:3日〜3ヶ月程度 【自然癒着法】➡︎腫れ・痛み・内出血:2日〜2週間程度

女性 20代

No.00021/ID:150886

患部の状態

  • 一重

本人のご要望

  • #平行型
  • #全切開
  • Before
    手術前の状態
  • Before
    手術前の状態
  • Before
    手術前の状態
  • After
    手術後の状態
  • After
    手術後の状態
  • After
    手術後の状態

施術内容・リスク

  • 施術内容・
    リスク
    【二重切開法】
    ▪︎通常価格 / ¥217,800〜¥327,800
    ▪︎治療回数 / 1回
    ▪︎治療内容 / 希望の二重ラインに合わせて皮膚を切開して挙筋腱膜と皮下組織を縫合し、半永久的な二重幅を形成する施術です。
    ▪︎リスク▪︎副作用について / 腫れ▪︎合併症▪︎皮下出血▪︎血腫▪︎目の違和感▪︎感染▪︎疼痛▪︎肥厚性瘢痕▪︎ケロイドなど ※自由診療

女性 30代

No.00020/ID:108325

患部の状態

  • 埋没経験あり
  • 一重

本人のご要望

  • #まつ毛の生え際を見せたい
  • #末広型
  • Before
    手術前の状態
  • Before
    手術前の状態
  • Before
    手術前の状態
  • After
    手術後の状態
  • After
    手術後の状態
  • After
    手術後の状態

施術内容・リスク

  • 施術内容・
    リスク
    【二重切開法】
    ▪︎通常価格 / ¥217,800〜¥327,800
    ▪︎治療回数 / 1回
    ▪︎治療内容 / 希望の二重ラインに合わせて皮膚を切開して挙筋腱膜と皮下組織を縫合し、半永久的な二重幅を形成する施術です。
    ▪︎リスク▪︎副作用について / 腫れ▪︎合併症▪︎皮下出血▪︎血腫▪︎目の違和感▪︎感染▪︎疼痛▪︎肥厚性瘢痕▪︎ケロイドなど ※自由診療

    【ハムラ法】
    ▪︎通常価格 / ¥500,000
    ▪︎治療回数 / 1回
    ▪︎治療内容 / 余分な眼窩脂肪を除去するだけではなく、加齢などでくぼんでしまった部分に脂肪を移動させることにより、目の下の膨らみを解消すると同時にくぼみも解消し、自然でなめらかな質感にする施術です。
    ▪︎リスク・副作用について / 痛み・熱感:1週間程度 、 傷口の赤味:3か月程度 ※自由診療

女性 20代

No.00017/ID:76448

患部の状態

  • 埋没経験あり
  • 一重

本人のご要望

  • #まつ毛の生え際を見せたい
  • #末広型
  • Before
    手術前の状態
  • Before
    手術前の状態
  • Before
    手術前の状態
  • After
    手術後の状態
  • After
    手術後の状態
  • After
    手術後の状態

施術内容・リスク

  • 施術内容・
    リスク
    【二重切開法】
    ▪︎通常価格 / ¥217,800〜¥327,800
    ▪︎治療回数 / 1回
    ▪︎治療内容 / 希望の二重ラインに合わせて皮膚を切開して挙筋腱膜と皮下組織を縫合し、半永久的な二重幅を形成する施術です。
    ▪︎リスク▪︎副作用について / 腫れ▪︎合併症▪︎皮下出血▪︎血腫▪︎目の違和感▪︎感染▪︎疼痛▪︎肥厚性瘢痕▪︎ケロイドなど ※自由診療