- 二重
- 目頭切開
- 目尻切開・タレ目形成
- まぶたの脂肪取り(上脱脂)
- 涙袋ヒアルロン酸
- クマ取り
- 目の下(くぼみ)のヒアルロン酸
- 眉下切開
- 眼瞼下垂
- 糸リフト
- ショッピングリフト
- 脂肪吸引注射
- 顔の脂肪吸引(顎下・頬)
- 脂肪溶解注射
- ボトックス
- ヒアルロン酸
- ハイフ
- 脂肪吸引
- 脂肪溶解注射
- 脂肪冷却
- Coming Soon
- Coming Soon
- Coming Soon
- 豊胸
- 乳頭縮小術
- 小陰唇縮小
- 大陰唇縮小
- 副皮切除
- クリトリス包茎
- 薄毛治療(AGA)
- 植毛
- 鼻を高く
- 小鼻・鼻の穴を小さく
- 鼻先を高く
眼瞼下垂
絞り込み検索
1~12件を表示:全12件
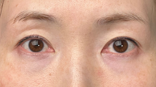
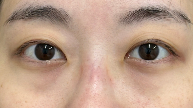
女性 40代
No.00527/ID:69851
患部の状態
本人のご要望
-
Before
-
Before
-
Before
-
After
-
After
-
After
施術内容・リスク
-
施術内容・
リスク【切る眼瞼下垂術】
▪︎通常価格 / ¥437,800
▪︎治療回数 / 1回
▪︎治療内容 / まぶたを切開し、瞼板から挙筋をはずして縫い縮め、目の開きを改善させる施術です。
▪︎リスク▪︎副作用について / 左右差、後戻り、内出血、腫れなど ※自由診療
女性 30代
No.00522/ID:197053
患部の状態
本人のご要望
-
Before
-
Before
-
Before
-
After
-
After
-
After
施術内容・リスク
-
施術内容・
リスク【切らない眼瞼下垂術】
▪︎通常価格 / ¥300,000
▪︎治療回数 / 1回
▪︎治療内容 / 皮膚を切らずに糸の操作だけで挙筋腱膜を瞼板に引き寄せ固定させ目の開きを改善させる施術です。
▪︎リスク▪︎副作用について / 左右差、後戻り、内出血、腫れなど ※自由診療
女性 30代
No.00515/ID:193500
患部の状態
本人のご要望
-
Before
-
Before
-
Before
-
After
-
After
-
After
施術内容・リスク
-
施術内容・
リスク【切らない眼瞼下垂術】
▪︎通常価格 / ¥300,000
▪︎治療回数 / 1回
▪︎治療内容 / 皮膚を切らずに糸の操作だけで挙筋腱膜を瞼板に引き寄せ固定させ目の開きを改善させる施術です。
▪︎リスク▪︎副作用について / 左右差、後戻り、内出血、腫れなど ※自由診療
女性 20代
No.00384/ID:172344
患部の状態
本人のご要望
-
Before
-
Before
-
Before
-
After
-
After
-
After
施術内容・リスク
-
施術内容・
リスク【切る眼瞼下垂術】
▪︎通常価格 / ¥437,800
▪︎治療回数 / 1回
▪︎治療内容 / まぶたを切開し、瞼板から挙筋をはずして縫い縮め、目の開きを改善させる施術です。
▪︎リスク▪︎副作用について / 左右差、後戻り、内出血、腫れなど ※自由診療
女性 50代
No.00045/ID:159619
患部の状態
本人のご要望
-
Before
-
Before
-
Before
-
After
-
After
-
After
施術内容・リスク
-
施術内容・
リスク【切る眼瞼下垂術】
▪︎通常価格 / ¥437,800
▪︎治療回数 / 1回
▪︎治療内容 / まぶたを切開し、瞼板から挙筋をはずして縫い縮め、目の開きを改善させる施術です。
▪︎リスク▪︎副作用について / 左右差、後戻り、内出血、腫れなど ※自由診療
女性 40代
No.00043/ID:179057
患部の状態
本人のご要望
-
Before
-
Before
-
Before
-
After
-
After
-
After
施術内容・リスク
-
施術内容・
リスク【切らない眼瞼下垂術】
▪︎通常価格 / ¥300,000
▪︎治療回数 / 1回
▪︎治療内容 / 皮膚を切らずに糸の操作だけで挙筋腱膜を瞼板に引き寄せ固定させ目の開きを改善させる施術です。
▪︎リスク▪︎副作用について / 左右差、後戻り、内出血、腫れなど ※自由診療
女性 20代
No.00042/ID:185528
患部の状態
本人のご要望
-
Before
-
Before
-
Before
-
After
-
After
-
After
施術内容・リスク
-
施術内容・
リスク【切る眼瞼下垂術】
▪︎通常価格 / ¥437,800
▪︎治療回数 / 1回
▪︎治療内容 / まぶたを切開し、瞼板から挙筋をはずして縫い縮め、目の開きを改善させる施術です。
▪︎リスク▪︎副作用について / 左右差、後戻り、内出血、腫れなど ※自由診療
男性 30代
No.00041/ID:142251
患部の状態
本人のご要望
-
Before
-
Before
-
Before
-
After
-
After
-
After
施術内容・リスク
-
施術内容・
リスク【埋没法▪︎自然癒着法】
▪︎通常価格 / ¥14,800〜¥418,000
▪︎治療回数 / 1回
▪︎治療内容 / まぶたの数か所を専用の糸で固定することで、二重まぶたを形成する施術です。
▪︎リスク▪︎副作用について / 腫れ▪︎痛み▪︎内出血:2日〜2週間程度 ※自由診療
女性 60代
No.00040/ID:142996
患部の状態
本人のご要望
-
Before
-
Before
-
Before
-
After
-
After
-
After
施術内容・リスク
-
施術内容・
リスク【切らない眼瞼下垂術】
▪︎通常価格 / ¥300,000
▪︎治療回数 / 1回
▪︎治療内容 / 皮膚を切らずに糸の操作だけで挙筋腱膜を瞼板に引き寄せ固定させ目の開きを改善させる施術です。
▪︎リスク▪︎副作用について / 左右差、後戻り、内出血、腫れなど ※自由診療
女性 50代
No.00036/ID:59912
患部の状態
本人のご要望
-
Before
-
Before
-
Before
-
After
-
After
-
After
施術内容・リスク
-
施術内容・
リスク【切らない眼瞼下垂術】
▪︎通常価格 / ¥300,000
▪︎治療回数 / 1回
▪︎治療内容 / 皮膚を切らずに糸の操作だけで挙筋腱膜を瞼板に引き寄せ固定させ目の開きを改善させる施術です。
▪︎リスク▪︎副作用について / 左右差、後戻り、内出血、腫れなど ※自由診療
女性 50代
No.00035/ID:73337
患部の状態
本人のご要望
-
Before
-
Before
-
Before
-
After
-
After
-
After
施術内容・リスク
-
施術内容・
リスク【切らない眼瞼下垂】➡︎左右差、後戻り、内出血、腫れなど【自然癒着法】➡︎腫れ・痛み・内出血:2日〜2週間程度
女性 60代
No.00034/ID:68936
患部の状態
本人のご要望
-
Before
-
Before
-
Before
-
After
-
After
-
After
施術内容・リスク
-
施術内容・
リスク左右差、後戻り、内出血、腫れなど