1. トップページヘ
  2. 目の上のたるみ / 眼瞼下垂
  3. 眼瞼下垂術
  4. 症例詳細No.00043

症例詳細

No.00043/ID:179057

眼瞼下垂

患部の状態

  • 眼瞼下垂
  • 瞼のたるみ

本人のご要望

  • #左右差を整えたい
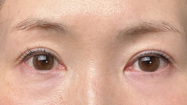
  • Before
    手術前の状態
  • Before
    手術前の状態
  • Before
    手術前の状態
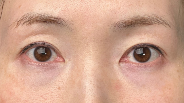
  • After
    手術後の状態
  • After
    手術後の状態
  • After
    手術後の状態
  • 施術名
    切らない眼瞼下垂
  • 施術内容・
    リスク
    【切らない眼瞼下垂術】
    ▪︎通常価格 / ¥300,000
    ▪︎治療回数 / 1回
    ▪︎治療内容 / 皮膚を切らずに糸の操作だけで挙筋腱膜を瞼板に引き寄せ固定させ目の開きを改善させる施術です。
    ▪︎リスク▪︎副作用について / 左右差、後戻り、内出血、腫れなど ※自由診療
  • ドクター
    脇山

術後経過

施術前

  • 手術前の状態 その1
  • 手術前の状態 その1
  • 手術前の状態 その1

施術直後

  • 手術前の状態 その1
  • 手術前の状態 その1
  • 手術前の状態 その1

施術1週間後・メイクなし

  • 手術前の状態 その1
  • 手術前の状態 その1
  • 手術前の状態 その1

施術1週間後・メイクあり

  • 手術前の状態 その1
  • 手術前の状態 その1
  • 手術前の状態 その1

施術1ヶ月後・メイクなし

  • 手術前の状態 その1
  • 手術前の状態 その1
  • 手術前の状態 その1

施術1ヶ月後・メイクあり

  • 手術前の状態 その1
  • 手術前の状態 その1
  • 手術前の状態 その1