1. トップページヘ
  2. 目・二重 / 二重
  3. 二重切開法(全切開・部分切開)
  4. 症例詳細No.00293

症例詳細

No.00293/ID:170398

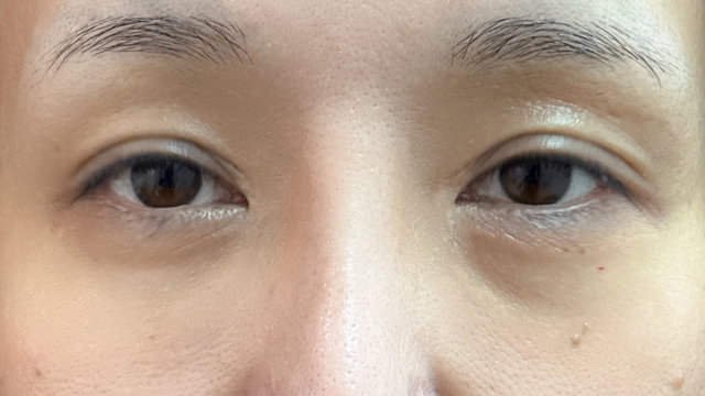
二重(切開)

患部の状態

  • 左右差あり
  • 三重

本人のご要望

  • #全切開
  • Before
    手術前の状態
  • Before
    手術前の状態
  • Before
    手術前の状態
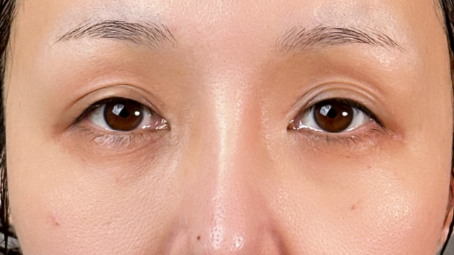
  • After
    手術後の状態
  • After
    手術後の状態
  • After
    手術後の状態
  • 施術名
    全切開
  • 施術内容・
    リスク
    【二重切開法】
    ▪︎通常価格 / ¥217,800〜¥327,800
    ▪︎治療回数 / 1回
    ▪︎治療内容 / 希望の二重ラインに合わせて皮膚を切開して挙筋腱膜と皮下組織を縫合し、半永久的な二重幅を形成する施術です。
    ▪︎リスク▪︎副作用について / 腫れ▪︎合併症▪︎皮下出血▪︎血腫▪︎目の違和感▪︎感染▪︎疼痛▪︎肥厚性瘢痕▪︎ケロイドなど ※自由診療
  • ドクター
    青柳 慶憲

術後経過

施術前

  • 手術前の状態 その1
  • 手術前の状態 その1
  • 手術前の状態 その1

施術直後

  • 手術前の状態 その1
  • 手術前の状態 その1
  • 手術前の状態 その1

施術1週間後(メイクなし)

  • 手術前の状態 その1
  • 手術前の状態 その1
  • 手術前の状態 その1

施術1ヶ月後(メイクなし)

  • 手術前の状態 その1
  • 手術前の状態 その1
  • 手術前の状態 その1

施術1ヶ月後(メイクあり)

  • 手術前の状態 その1
  • 手術前の状態 その1
  • 手術前の状態 その1