1. トップページヘ
  2. 目・二重 / 二重
  3. 二重切開法(全切開・部分切開)
  4. 症例詳細No.00030

症例詳細

No.00030/ID:74937

二重(切開)

患部の状態

  • 左右差あり

本人のご要望

  • #二重幅を広げたい
  • #平行型
  • #目頭切開
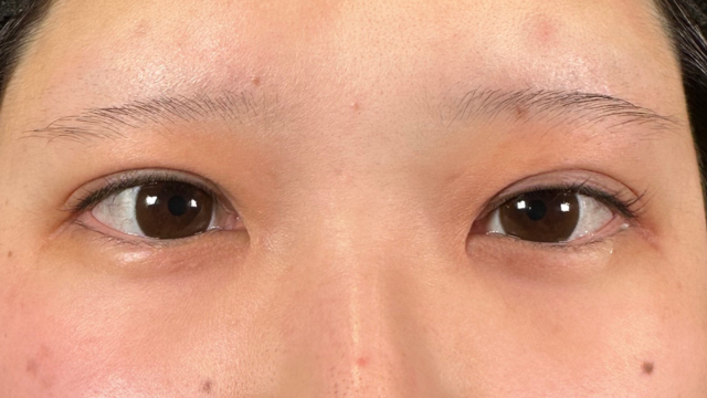
  • Before
    手術前の状態
  • Before
    手術前の状態
  • Before
    手術前の状態
  • After
    手術後の状態
  • After
    手術後の状態
  • After
    手術後の状態
  • 施術名
    目頭切開+4点自然癒着法
  • 施術内容・
    リスク
    【目頭切開】➡︎腫れ・痛み・内出血・傷跡・赤み:3日〜3ヶ月程度 【自然癒着法】➡︎腫れ・痛み・内出血:2日〜2週間程度
  • ドクター
    小林

術後経過

施術前

  • 手術前の状態 その1
  • 手術前の状態 その1
  • 手術前の状態 その1

施術直後

  • 手術前の状態 その1
  • 手術前の状態 その1
  • 手術前の状態 その1

施術1週間後

  • 手術前の状態 その1
  • 手術前の状態 その1
  • 手術前の状態 その1

施術1ヶ月後・メイクなし

  • 手術前の状態 その1
  • 手術前の状態 その1
  • 手術前の状態 その1

施術1ヶ月後・メイクあり

  • 手術前の状態 その1
  • 手術前の状態 その1
  • 手術前の状態 その1