1. トップページヘ
  2. 目・二重 / 二重
  3. 二重切開法(全切開・部分切開)
  4. 症例詳細No.00029

症例詳細

No.00029/ID:74921

二重(切開)

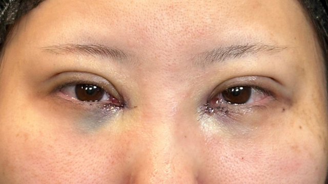
患部の状態

  • 蒙古襞の張り
  • 左右差あり

本人のご要望

  • #自然なデザイン
  • #くっきり二重
  • #末広型
  • #目頭切開
  • Before
    手術前の状態
  • Before
    手術前の状態
  • Before
    手術前の状態
  • After
    手術後の状態
  • After
    手術後の状態
  • After
    手術後の状態
  • 施術名
    目頭切開+6点自然癒着法
  • 施術内容・
    リスク
    【目頭切開】➡︎腫れ・痛み・内出血・傷跡・赤み:3日〜3ヶ月程度 【自然癒着法】➡︎腫れ・痛み・内出血:2日〜2週間程度
  • ドクター
    安田、林

術後経過

施術前

  • 手術前の状態 その1
  • 手術前の状態 その1
  • 手術前の状態 その1

施術直後

  • 手術前の状態 その1
  • 手術前の状態 その1
  • 手術前の状態 その1

施術1週間後

  • 手術前の状態 その1
  • 手術前の状態 その1
  • 手術前の状態 その1

施術1ヶ月後・メイクなし

  • 手術前の状態 その1
  • 手術前の状態 その1
  • 手術前の状態 その1

施術1ヶ月後・メイクあり

  • 手術前の状態 その1
  • 手術前の状態 その1
  • 手術前の状態 その1