1. トップページヘ
  2. クマ / クマ取り

クマ取り

絞り込み検索

41~49件を表示:全49件

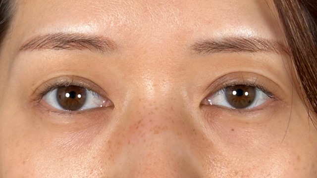
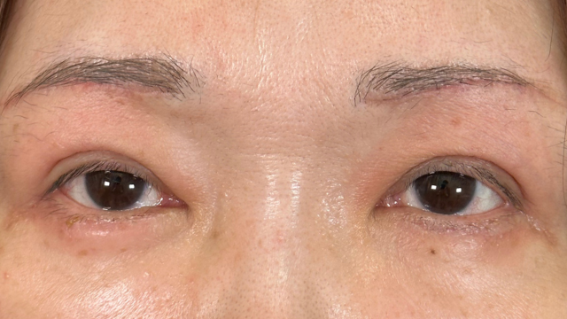
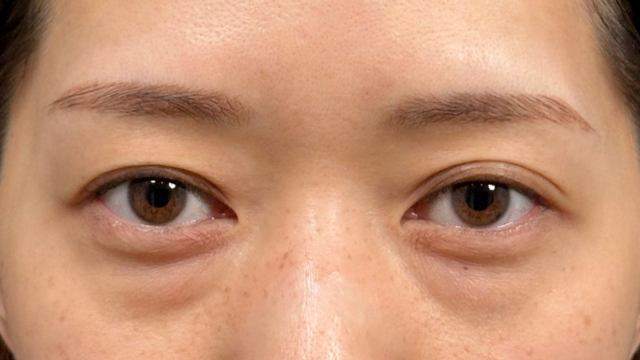
女性 30代

No.00066/ID:87446

患部の状態

  • 疲れ顔の印象
  • 目の下のたるみ、ふくらみが目立つ
  • クマ

本人のご要望

  • #たるみ・ふくらみの改善
  • #裏ハムラ法
  • Before
    手術前の状態
  • Before
    手術前の状態
  • Before
    手術前の状態
  • After
    手術後の状態
  • After
    手術後の状態
  • After
    手術後の状態

施術内容・リスク

  • 施術内容・
    リスク
    【ハムラ法】
    ▪︎通常価格 / ¥500,000
    ▪︎治療回数 / 1回
    ▪︎治療内容 / 余分な眼窩脂肪を除去するだけではなく、加齢などでくぼんでしまった部分に脂肪を移動させることにより、目の下の膨らみを解消すると同時にくぼみも解消し、自然でなめらかな質感にする施術です。
    ▪︎リスク・副作用について / 痛み・熱感:1週間程度 、 傷口の赤味:3か月程度 ※自由診療

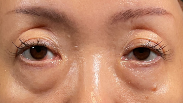
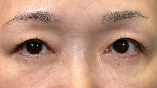
女性 50代

No.00061/ID:73969

患部の状態

  • 目の下のたるみ、ふくらみが目立つ

本人のご要望

  • #表ハムラ法
  • Before
    手術前の状態
  • Before
    手術前の状態
  • Before
    手術前の状態
  • After
    手術後の状態
  • After
    手術後の状態
  • After
    手術後の状態

施術内容・リスク

  • 施術内容・
    リスク
    【表ハムラ】痛み・熱感:1週間程度 、 傷口の赤味:3か月程度
    【眉下切開】腫れ、内出血、感染、左右差、きずあと、赤み、予定外の皺など
    【自然癒着法】腫れ・痛み・内出血:2日〜2週間程度

男性 50代

No.00054/ID:103255

患部の状態

  • 目の下のたるみ、ふくらみが目立つ

本人のご要望

  • #表ハムラ法
  • Before
    手術前の状態
  • Before
    手術前の状態
  • Before
    手術前の状態
  • After
    手術後の状態
  • After
    手術後の状態
  • After
    手術後の状態

施術内容・リスク

  • 施術内容・
    リスク
    痛み・熱感…1週間程度 / 傷口の赤味…3か月程度

女性 20代

No.00053/ID:74664

患部の状態

  • クマ

本人のご要望

  • #たるみ・ふくらみの改善
  • #下脱脂
  • Before
    手術前の状態
  • Before
    手術前の状態
  • Before
    手術前の状態
  • After
    手術後の状態
  • After
    手術後の状態
  • After
    手術後の状態

施術内容・リスク

  • 施術内容・
    リスク
    【下脱脂】内出血、腫れ、充血、結膜浮腫など
    【自然癒着法】腫れ・痛み・内出血:2日〜2週間程度

女性 50代

No.00052/ID:181842

患部の状態

  • クマ

本人のご要望

  • #たるみ・ふくらみの改善
  • #表ハムラ法
  • Before
    手術前の状態
  • Before
    手術前の状態
  • Before
    手術前の状態
  • After
    手術後の状態
  • After
    手術後の状態
  • After
    手術後の状態

施術内容・リスク

  • 施術内容・
    リスク
    痛み・熱感…1週間程度 / 傷口の赤味…3か月程度

女性 20代

No.00051/ID:137699

患部の状態

  • クマ

本人のご要望

  • #たるみ・ふくらみの改善
  • Before
    手術前の状態
  • Before
    手術前の状態
  • Before
    手術前の状態
  • After
    手術後の状態
  • After
    手術後の状態
  • After
    手術後の状態

施術内容・リスク

  • 施術内容・
    リスク
    【下脱脂】
    ▪︎通常価格 / ¥19,800〜¥250,500
    ▪︎治療回数 / 1回
    ▪︎治療内容 / クマの原因となっている脂肪を、内側▪︎中央▪︎外側の部位から余分な脂肪のみをバランスを整えながら取り除く施術です。
    ▪︎リスク▪︎副作用について / 内出血、腫れ、充血、結膜浮腫など ※自由診療

女性 40代

No.00050/ID:147518

患部の状態

  • 目の下のたるみ、ふくらみが目立つ
  • クマ

本人のご要望

  • #たるみ・ふくらみの改善
  • #下脱脂
  • Before
    手術前の状態
  • Before
    手術前の状態
  • Before
    手術前の状態
  • After
    手術後の状態
  • After
    手術後の状態
  • After
    手術後の状態

施術内容・リスク

  • 施術内容・
    リスク
    【下脱脂】
    ▪︎通常価格 / ¥19,800〜¥250,500
    ▪︎治療回数 / 1回
    ▪︎治療内容 / クマの原因となっている脂肪を、内側▪︎中央▪︎外側の部位から余分な脂肪のみをバランスを整えながら取り除く施術です。
    ▪︎リスク▪︎副作用について / 内出血、腫れ、充血、結膜浮腫など ※自由診療

男性 50代

No.00009/ID:159632

患部の状態

  • 疲れ顔の印象
  • 目の下のたるみ、ふくらみが目立つ
  • クマ

本人のご要望

  • #たるみ・ふくらみの改善
  • #裏ハムラ法
  • Before
    手術前の状態
  • Before
    手術前の状態
  • Before
    手術前の状態
  • After
    手術後の状態
  • After
    手術後の状態
  • After
    手術後の状態

施術内容・リスク

  • 施術内容・
    リスク
    痛み・熱感…1週間程度 / 傷口の赤味…3か月程度

女性 50代

No.00008/ID:60055

患部の状態

  • 目の下のたるみ、ふくらみが目立つ
  • クマ

本人のご要望

  • #たるみ・ふくらみの改善
  • #下脱脂
  • Before
    手術前の状態
  • Before
    手術前の状態
  • Before
    手術前の状態
  • After
    手術後の状態
  • After
    手術後の状態
  • After
    手術後の状態

施術内容・リスク

  • 施術内容・
    リスク
    内出血、腫れ、充血、結膜浮腫など