1. トップページヘ
  2. クマ / クマ取り
  3. ハムラ法
  4. 症例詳細No.00066

症例詳細

No.00066/ID:87446

ハムラ法

患部の状態

  • 疲れ顔の印象
  • 目の下のたるみ、ふくらみが目立つ
  • クマ

本人のご要望

  • #たるみ・ふくらみの改善
  • #裏ハムラ法
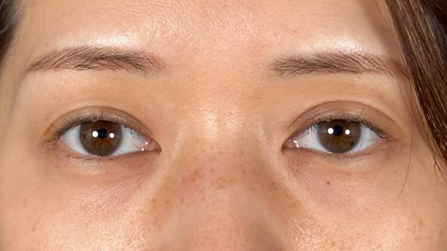
  • Before
    手術前の状態
  • Before
    手術前の状態
  • Before
    手術前の状態
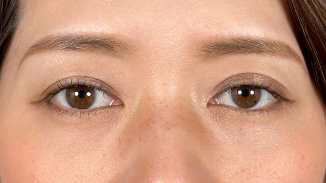
  • After
    手術後の状態
  • After
    手術後の状態
  • After
    手術後の状態
  • 施術名
    裏ハムラ
  • 施術内容・
    リスク
    【ハムラ法】
    ▪︎通常価格 / ¥500,000
    ▪︎治療回数 / 1回
    ▪︎治療内容 / 余分な眼窩脂肪を除去するだけではなく、加齢などでくぼんでしまった部分に脂肪を移動させることにより、目の下の膨らみを解消すると同時にくぼみも解消し、自然でなめらかな質感にする施術です。
    ▪︎リスク・副作用について / 痛み・熱感:1週間程度 、 傷口の赤味:3か月程度 ※自由診療
  • ドクター

術後経過

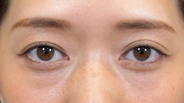
施術前

  • 手術前の状態 その1
  • 手術前の状態 その1
  • 手術前の状態 その1

施術1週間後・メイクなし

  • 手術前の状態 その1
  • 手術前の状態 その1
  • 手術前の状態 その1

施術1週間後・メイクあり

  • 手術前の状態 その1
  • 手術前の状態 その1
  • 手術前の状態 その1

施術1ヶ月後・メイクなし

  • 手術前の状態 その1
  • 手術前の状態 その1
  • 手術前の状態 その1

施術1ヶ月後・メイクあり

  • 手術前の状態 その1
  • 手術前の状態 その1
  • 手術前の状態 その1

施術3ヶ月後・メイクなし

  • 手術前の状態 その1
  • 手術前の状態 その1
  • 手術前の状態 その1

施術3ヶ月後・メイクあり

  • 手術前の状態 その1
  • 手術前の状態 その1
  • 手術前の状態 その1