1. トップページヘ
  2. クマ / クマ取り
  3. 目の下の脂肪取り
  4. 症例詳細No.00050

症例詳細

No.00050/ID:147518

目の下の脂肪取り

患部の状態

  • 目の下のたるみ、ふくらみが目立つ
  • クマ

本人のご要望

  • #たるみ・ふくらみの改善
  • #下脱脂
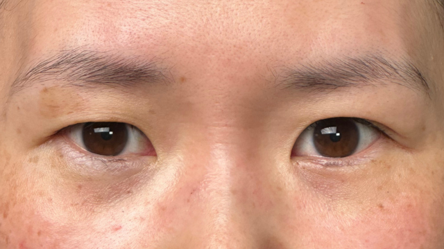
  • Before
    手術前の状態
  • Before
    手術前の状態
  • Before
    手術前の状態
  • After
    手術後の状態
  • After
    手術後の状態
  • After
    手術後の状態
  • 施術名
    下脱脂
  • 施術内容・
    リスク
    【下脱脂】
    ▪︎通常価格 / ¥19,800〜¥250,500
    ▪︎治療回数 / 1回
    ▪︎治療内容 / クマの原因となっている脂肪を、内側▪︎中央▪︎外側の部位から余分な脂肪のみをバランスを整えながら取り除く施術です。
    ▪︎リスク▪︎副作用について / 内出血、腫れ、充血、結膜浮腫など ※自由診療
  • ドクター
    安田

術後経過

施術前

  • 手術前の状態 その1
  • 手術前の状態 その1
  • 手術前の状態 その1

施術直後

  • 手術前の状態 その1
  • 手術前の状態 その1
  • 手術前の状態 その1

施術1週間後・メイクなし

  • 手術前の状態 その1
  • 手術前の状態 その1
  • 手術前の状態 その1

施術1週間後・メイクあり

  • 手術前の状態 その1
  • 手術前の状態 その1
  • 手術前の状態 その1

施術1ヶ月後・メイクなし

  • 手術前の状態 その1
  • 手術前の状態 その1
  • 手術前の状態 その1

施術1ヶ月後・メイクあり

  • 手術前の状態 その1
  • 手術前の状態 その1
  • 手術前の状態 その1