1. トップページヘ
  2. クマ / クマ取り
  3. ハムラ法
  4. 症例詳細No.00061

症例詳細

No.00061/ID:73969

ハムラ法

患部の状態

  • 目の下のたるみ、ふくらみが目立つ

本人のご要望

  • #表ハムラ法
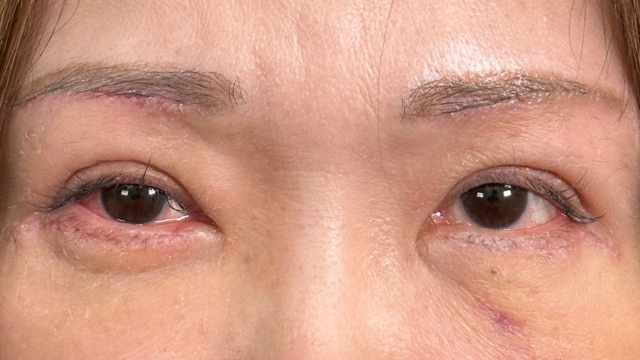
  • Before
    手術前の状態
  • Before
    手術前の状態
  • Before
    手術前の状態
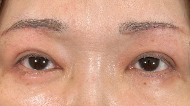
  • After
    手術後の状態
  • After
    手術後の状態
  • After
    手術後の状態
  • 施術名
    表ハムラ / 眉下切開 / 二重自然癒着法4点
  • 施術内容・
    リスク
    【表ハムラ】痛み・熱感:1週間程度 、 傷口の赤味:3か月程度
    【眉下切開】腫れ、内出血、感染、左右差、きずあと、赤み、予定外の皺など
    【自然癒着法】腫れ・痛み・内出血:2日〜2週間程度
  • ドクター
    梅田

術後経過

施術前

  • 手術前の状態 その1
  • 手術前の状態 その1
  • 手術前の状態 その1

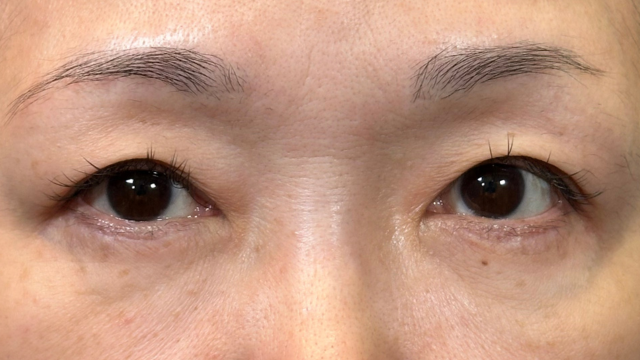
施術1週間後・メイクなし

  • 手術前の状態 その1
  • 手術前の状態 その1
  • 手術前の状態 その1

施術1週間後・メイクあり

  • 手術前の状態 その1
  • 手術前の状態 その1
  • 手術前の状態 その1

施術1ヶ月後・メイクなし

  • 手術前の状態 その1
  • 手術前の状態 その1
  • 手術前の状態 その1