1. トップページヘ
  2. クマ / クマ取り
  3. 目の下の脂肪取り
  4. 症例詳細No.00008

症例詳細

No.00008/ID:60055

目の下の脂肪取り

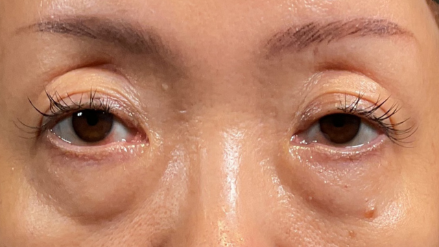
患部の状態

  • 目の下のたるみ、ふくらみが目立つ
  • クマ

本人のご要望

  • #たるみ・ふくらみの改善
  • #下脱脂
  • Before
    手術前の状態
  • Before
    手術前の状態
  • Before
    手術前の状態
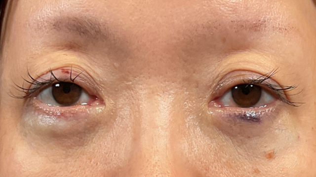
  • After
    手術後の状態
  • After
    手術後の状態
  • After
    手術後の状態
  • 施術名
    下脱脂
  • 施術内容・
    リスク
    内出血、腫れ、充血、結膜浮腫など
  • ドクター
    安田

術後経過

施術前

  • 手術前の状態 その1
  • 手術前の状態 その1
  • 手術前の状態 その1

施術直後

  • 手術前の状態 その1
  • 手術前の状態 その1
  • 手術前の状態 その1

施術1週間後・メイクなし

  • 手術前の状態 その1
  • 手術前の状態 その1
  • 手術前の状態 その1

施術1週間後・メイクなし

  • 手術前の状態 その1
  • 手術前の状態 その1
  • 手術前の状態 その1