1. トップページヘ
  2. クマ / クマ取り
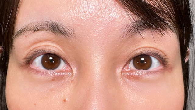
  3. ハムラ法

ハムラ法

詳細をみる

▪︎治療内容 / 余分な眼窩脂肪を除去するだけではなく、加齢などでくぼんでしまった部分に脂肪を移動させることにより、目の下の膨らみを解消すると同時にくぼみも解消し、自然でなめらかな質感にする施術です。 ▪︎リスク・副作用について / 痛み・熱感:1週間程度 、 傷口の赤味:3か月程度 ※自由診療

検索条件

1~17件を表示:全17件

女性 50代

No.00818/ID:307141

患部の状態

  • 目の下のたるみ、ふくらみが目立つ
  • クマ

本人のご要望

  • #表ハムラ法
  • Before
    手術前の状態
  • Before
    手術前の状態
  • Before
    手術前の状態
  • After
    手術後の状態
  • After
    手術後の状態
  • After
    手術後の状態

施術内容・リスク

  • 施術内容・
    リスク
    【ハムラ法】
    ▪︎通常価格 / ¥500,000
    ▪︎治療回数 / 1回
    ▪︎治療内容 / 余分な眼窩脂肪を除去するだけではなく、加齢などでくぼんでしまった部分に脂肪を移動させることにより、目の下の膨らみを解消すると同時にくぼみも解消し、自然でなめらかな質感にする施術です。
    ▪︎リスク・副作用について / 痛み・熱感:1週間程度 、 傷口の赤味:3か月程度 ※自由診療

女性 50代

No.00738/ID:301268

患部の状態

  • 目の下のたるみ、ふくらみが目立つ
  • クマ

本人のご要望

  • #裏ハムラ法
  • Before
    手術前の状態
  • Before
    手術前の状態
  • Before
    手術前の状態
  • After
    手術後の状態
  • After
    手術後の状態
  • After
    手術後の状態

施術内容・リスク

  • 施術内容・
    リスク
    【ハムラ法】
    ▪︎通常価格 / ¥500,000
    ▪︎治療回数 / 1回
    ▪︎治療内容 / 余分な眼窩脂肪を除去するだけではなく、加齢などでくぼんでしまった部分に脂肪を移動させることにより、目の下の膨らみを解消すると同時にくぼみも解消し、自然でなめらかな質感にする施術です。
    ▪︎リスク・副作用について / 痛み・熱感:1週間程度 、 傷口の赤味:3か月程度 ※自由診療

女性 50代

No.00325/ID:227089

患部の状態

  • 目の下のたるみ、ふくらみが目立つ

本人のご要望

  • #裏ハムラ法
  • Before
    手術前の状態
  • Before
    手術前の状態
  • Before
    手術前の状態
  • After
    手術後の状態
  • After
    手術後の状態
  • After
    手術後の状態

施術内容・リスク

  • 施術内容・
    リスク
    【ハムラ法】
    ▪︎通常価格 / ¥500,000
    ▪︎治療回数 / 1回
    ▪︎治療内容 / 余分な眼窩脂肪を除去するだけではなく、加齢などでくぼんでしまった部分に脂肪を移動させることにより、目の下の膨らみを解消すると同時にくぼみも解消し、自然でなめらかな質感にする施術です。
    ▪︎リスク・副作用について / 痛み・熱感:1週間程度 、 傷口の赤味:3か月程度 ※自由診療

女性 50代

No.00160/ID:148034

患部の状態

  • 目の下のたるみ、ふくらみが目立つ

本人のご要望

  • #表ハムラ法
  • Before
    手術前の状態
  • Before
    手術前の状態
  • Before
    手術前の状態
  • After
    手術後の状態
  • After
    手術後の状態
  • After
    手術後の状態

施術内容・リスク

  • 施術内容・
    リスク
    【ハムラ法】
    ▪︎通常価格 / ¥500,000
    ▪︎治療回数 / 1回
    ▪︎治療内容 / 余分な眼窩脂肪を除去するだけではなく、加齢などでくぼんでしまった部分に脂肪を移動させることにより、目の下の膨らみを解消すると同時にくぼみも解消し、自然でなめらかな質感にする施術です。
    ▪︎リスク・副作用について / 痛み・熱感:1週間程度 、 傷口の赤味:3か月程度 ※自由診療

女性 40代

No.00157/ID:172862

患部の状態

  • 目の下のたるみ、ふくらみが目立つ
  • クマ

本人のご要望

  • #たるみ・ふくらみの改善
  • #表ハムラ法
  • Before
    手術前の状態
  • Before
    手術前の状態
  • Before
    手術前の状態
  • After
    手術後の状態
  • After
    手術後の状態
  • After
    手術後の状態

施術内容・リスク

  • 施術内容・
    リスク
    【眉下切開】
    ▪︎通常価格 / ¥346,500
    ▪︎治療回数 / 1回
    ▪︎治療内容 / 眉毛のすぐ下にある余分な皮膚を切開し、たるんだまぶたを改善する施術です。
    ▪︎リスク▪︎副作用について / 腫れ、内出血、感染、左右差、傷跡、赤み、予定外の皺など ※自由診療

    【ハムラ法】
    ▪︎通常価格 / ¥500,000
    ▪︎治療回数 / 1回
    ▪︎治療内容 / 余分な眼窩脂肪を除去するだけではなく、加齢などでくぼんでしまった部分に脂肪を移動させることにより、目の下の膨らみを解消すると同時にくぼみも解消し、自然でなめらかな質感にする施術です。
    ▪︎リスク・副作用について / 痛み・熱感:1週間程度 、 傷口の赤味:3か月程度 ※自由診療

    【二重切開法】
    ▪︎通常価格 / ¥217,800〜¥327,800
    ▪︎治療回数 / 1回
    ▪︎治療内容 / 希望の二重ラインに合わせて皮膚を切開して挙筋腱膜と皮下組織を縫合し、半永久的な二重幅を形成する施術です。
    ▪︎リスク▪︎副作用について / 腫れ▪︎合併症▪︎皮下出血▪︎血腫▪︎目の違和感▪︎感染▪︎疼痛▪︎肥厚性瘢痕▪︎ケロイドなど ※自由診療

男性 50代

No.00145/ID:137488

患部の状態

  • クマ

本人のご要望

  • #たるみ・ふくらみの改善
  • #表ハムラ法
  • Before
    手術前の状態
  • Before
    手術前の状態
  • Before
    手術前の状態
  • After
    手術後の状態
  • After
    手術後の状態
  • After
    手術後の状態

施術内容・リスク

  • 施術内容・
    リスク
    【眉下切開】
    ▪︎通常価格 / ¥346,500
    ▪︎治療回数 / 1回
    ▪︎治療内容 / 眉毛のすぐ下にある余分な皮膚を切開し、たるんだまぶたを改善する施術です。
    ▪︎リスク▪︎副作用について / 腫れ、内出血、感染、左右差、傷跡、赤み、予定外の皺など ※自由診療

    【ハムラ法】
    ▪︎通常価格 / ¥500,000
    ▪︎治療回数 / 1回
    ▪︎治療内容 / 余分な眼窩脂肪を除去するだけではなく、加齢などでくぼんでしまった部分に脂肪を移動させることにより、目の下の膨らみを解消すると同時にくぼみも解消し、自然でなめらかな質感にする施術です。
    ▪︎リスク・副作用について / 痛み・熱感:1週間程度 、 傷口の赤味:3か月程度 ※自由診療

女性 50代

No.00131/ID:213839

患部の状態

  • 目の下のたるみ、ふくらみが目立つ

本人のご要望

  • #表ハムラ法
  • Before
    手術前の状態
  • Before
    手術前の状態
  • Before
    手術前の状態
  • After
    手術後の状態
  • After
    手術後の状態
  • After
    手術後の状態

施術内容・リスク

  • 施術内容・
    リスク
    【ハムラ法】
    ▪︎通常価格 / ¥500,000
    ▪︎治療回数 / 1回
    ▪︎治療内容 / 余分な眼窩脂肪を除去するだけではなく、加齢などでくぼんでしまった部分に脂肪を移動させることにより、目の下の膨らみを解消すると同時にくぼみも解消し、自然でなめらかな質感にする施術です。
    ▪︎リスク・副作用について / 痛み・熱感:1週間程度 、 傷口の赤味:3か月程度 ※自由診療

女性 50代

No.00106/ID:200063

患部の状態

  • 目の下のたるみ、ふくらみが目立つ

本人のご要望

  • #たるみ・ふくらみの改善
  • #表ハムラ法
  • Before
    手術前の状態
  • Before
    手術前の状態
  • Before
    手術前の状態
  • After
    手術後の状態
  • After
    手術後の状態
  • After
    手術後の状態

施術内容・リスク

  • 施術内容・
    リスク
    【ハムラ法】
    ▪︎通常価格 / ¥500,000
    ▪︎治療回数 / 1回
    ▪︎治療内容 / 余分な眼窩脂肪を除去するだけではなく、加齢などでくぼんでしまった部分に脂肪を移動させることにより、目の下の膨らみを解消すると同時にくぼみも解消し、自然でなめらかな質感にする施術です。
    ▪︎リスク・副作用について / 痛み・熱感:1週間程度 、 傷口の赤味:3か月程度 ※自由診療

女性 50代

No.00085/ID:125889

患部の状態

  • 目の下のたるみ、ふくらみが目立つ
  • クマ

本人のご要望

  • #たるみ・ふくらみの改善
  • #表ハムラ法
  • Before
    手術前の状態
  • Before
    手術前の状態
  • Before
    手術前の状態
  • After
    手術後の状態
  • After
    手術後の状態
  • After
    手術後の状態

施術内容・リスク

  • 施術内容・
    リスク
    痛み・熱感…1週間程度 / 傷口の赤味…3か月程度

女性 40代

No.00073/ID:131985

患部の状態

  • 目の下のたるみ、ふくらみが目立つ

本人のご要望

  • #裏ハムラ法
  • #脂肪注入
  • Before
    手術前の状態
  • Before
    手術前の状態
  • Before
    手術前の状態
  • After
    手術後の状態
  • After
    手術後の状態
  • After
    手術後の状態

施術内容・リスク

  • 施術内容・
    リスク
    【裏ハムラ】痛み・熱感:1週間程度 、 傷口の赤味:3か月程度
    【脂肪注入コンデンスリッチ】腫れ、痛み、内出血、感染、血腫、変形、硬化、麻痺、感覚低下、定着不良、シコリ、嚢胞、アレルギー反応、結膜浮腫など

女性 80代

No.00071/ID:137438

患部の状態

  • 目の下のたるみ、ふくらみが目立つ

本人のご要望

  • #表ハムラ法
  • Before
    手術前の状態
  • Before
    手術前の状態
  • Before
    手術前の状態
  • After
    手術後の状態
  • After
    手術後の状態
  • After
    手術後の状態

施術内容・リスク

  • 施術内容・
    リスク
    【ハムラ法】
    ▪︎通常価格 / ¥500,000
    ▪︎治療回数 / 1回
    ▪︎治療内容 / 余分な眼窩脂肪を除去するだけではなく、加齢などでくぼんでしまった部分に脂肪を移動させることにより、目の下の膨らみを解消すると同時にくぼみも解消し、自然でなめらかな質感にする施術です。
    ▪︎リスク・副作用について / 痛み・熱感:1週間程度 、 傷口の赤味:3か月程度 ※自由診療

男性 40代

No.00069/ID:97696

患部の状態

  • 目の下のたるみ、ふくらみが目立つ
  • クマ

本人のご要望

  • #たるみ・ふくらみの改善
  • #表ハムラ法
  • Before
    手術前の状態
  • Before
    手術前の状態
  • Before
    手術前の状態
  • After
    手術後の状態
  • After
    手術後の状態
  • After
    手術後の状態

施術内容・リスク

  • 施術内容・
    リスク
    痛み・熱感…1週間程度 / 傷口の赤味…3か月程度

女性 20代

No.00068/ID:197404

患部の状態

  • 目の下のたるみ、ふくらみが目立つ

本人のご要望

  • #裏ハムラ法
  • Before
    手術前の状態
  • Before
    手術前の状態
  • Before
    手術前の状態
  • After
    手術後の状態
  • After
    手術後の状態
  • After
    手術後の状態

施術内容・リスク

  • 施術内容・
    リスク
    【ハムラ法】
    ▪︎通常価格 / ¥500,000
    ▪︎治療回数 / 1回
    ▪︎治療内容 / 余分な眼窩脂肪を除去するだけではなく、加齢などでくぼんでしまった部分に脂肪を移動させることにより、目の下の膨らみを解消すると同時にくぼみも解消し、自然でなめらかな質感にする施術です。
    ▪︎リスク・副作用について / 痛み・熱感:1週間程度 、 傷口の赤味:3か月程度 ※自由診療

女性 30代

No.00066/ID:87446

患部の状態

  • 疲れ顔の印象
  • 目の下のたるみ、ふくらみが目立つ
  • クマ

本人のご要望

  • #たるみ・ふくらみの改善
  • #裏ハムラ法
  • Before
    手術前の状態
  • Before
    手術前の状態
  • Before
    手術前の状態
  • After
    手術後の状態
  • After
    手術後の状態
  • After
    手術後の状態

施術内容・リスク

  • 施術内容・
    リスク
    【ハムラ法】
    ▪︎通常価格 / ¥500,000
    ▪︎治療回数 / 1回
    ▪︎治療内容 / 余分な眼窩脂肪を除去するだけではなく、加齢などでくぼんでしまった部分に脂肪を移動させることにより、目の下の膨らみを解消すると同時にくぼみも解消し、自然でなめらかな質感にする施術です。
    ▪︎リスク・副作用について / 痛み・熱感:1週間程度 、 傷口の赤味:3か月程度 ※自由診療

女性 50代

No.00061/ID:73969

患部の状態

  • 目の下のたるみ、ふくらみが目立つ

本人のご要望

  • #表ハムラ法
  • Before
    手術前の状態
  • Before
    手術前の状態
  • Before
    手術前の状態
  • After
    手術後の状態
  • After
    手術後の状態
  • After
    手術後の状態

施術内容・リスク

  • 施術内容・
    リスク
    【表ハムラ】痛み・熱感:1週間程度 、 傷口の赤味:3か月程度
    【眉下切開】腫れ、内出血、感染、左右差、きずあと、赤み、予定外の皺など
    【自然癒着法】腫れ・痛み・内出血:2日〜2週間程度

男性 50代

No.00054/ID:103255

患部の状態

  • 目の下のたるみ、ふくらみが目立つ

本人のご要望

  • #表ハムラ法
  • Before
    手術前の状態
  • Before
    手術前の状態
  • Before
    手術前の状態
  • After
    手術後の状態
  • After
    手術後の状態
  • After
    手術後の状態

施術内容・リスク

  • 施術内容・
    リスク
    痛み・熱感…1週間程度 / 傷口の赤味…3か月程度

男性 50代

No.00009/ID:159632

患部の状態

  • 疲れ顔の印象
  • 目の下のたるみ、ふくらみが目立つ
  • クマ

本人のご要望

  • #たるみ・ふくらみの改善
  • #裏ハムラ法
  • Before
    手術前の状態
  • Before
    手術前の状態
  • Before
    手術前の状態
  • After
    手術後の状態
  • After
    手術後の状態
  • After
    手術後の状態

施術内容・リスク

  • 施術内容・
    リスク
    痛み・熱感…1週間程度 / 傷口の赤味…3か月程度