1. Home
  2. Eye bags / Eye bags removal
  3. Hamra Method

Hamra Method

Check the details

▪︎Treatment details / This treatment not only removes excess orbital fat, but also moves fat to areas that have become sunken due to aging, etc., thereby eliminating the puffiness under the eyes and at the same time, creating a natural, smooth texture. ▪︎Risks and side effects / Pain and heat sensation: about 1 week / Redness of the incision sites: about 3 months ※Private Medical Care

Filter

Displaying 1 - 10 results: 10 in total

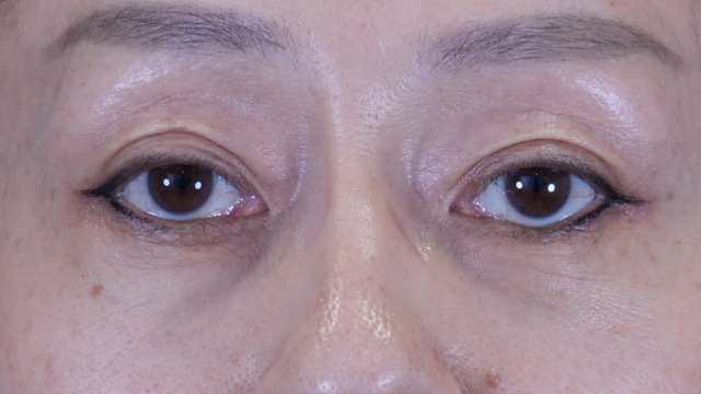
Woman 50's

No.00818/ID:307141

Condition of the Area

  • Prominent sagging, Bulging under the eyes
  • dark circles

Patient’s Request

  • #Anterior Hamra Method
  • Before
    Preoperative Condition Part 1
  • Before
    Preoperative Condition Part 1
  • Before
    Preoperative Condition Part 1
  • After
    Postoperative Condition Part 1
  • After
    Postoperative Condition Part 1
  • After
    Postoperative Condition Part 1

Procedure / Risks

  • Procedure / Risks
    【Hamra Method】
    ▪︎Regular price/ ¥500,000
    ▪︎Number of procedures / 1
    ▪︎Treatment details / This treatment not only removes excess orbital fat, but also moves fat to areas that have become sunken due to aging, etc., thereby eliminating the puffiness under the eyes and at the same time, creating a natural, smooth texture.
    ▪︎Risks and side effects / Pain and heat sensation: about 1 week / Redness of the incision sites: about 3 months ※Private Medical Care

Woman 50's

No.00738/ID:301268

Condition of the Area

  • Prominent sagging, Bulging under the eyes
  • dark circles

Patient’s Request

  • #Posterior Hamra Method
  • Before
    Preoperative Condition Part 1
  • Before
    Preoperative Condition Part 1
  • Before
    Preoperative Condition Part 1
  • After
    Postoperative Condition Part 1
  • After
    Postoperative Condition Part 1
  • After
    Postoperative Condition Part 1

Procedure / Risks

  • Procedure / Risks
    【Hamra Method】
    ▪︎Regular price/ ¥500,000
    ▪︎Number of procedures / 1
    ▪︎Treatment details / This treatment not only removes excess orbital fat, but also moves fat to areas that have become sunken due to aging, etc., thereby eliminating the puffiness under the eyes and at the same time, creating a natural, smooth texture.
    ▪︎Risks and side effects / Pain and heat sensation: about 1 week / Redness of the incision sites: about 3 months ※Private Medical Care

Woman 50's

No.00160/ID:148034

Condition of the Area

  • Prominent sagging, Bulging under the eyes

Patient’s Request

  • #Anterior Hamra Method
  • Before
    Preoperative Condition Part 1
  • Before
    Preoperative Condition Part 1
  • Before
    Preoperative Condition Part 1
  • After
    Postoperative Condition Part 1
  • After
    Postoperative Condition Part 1
  • After
    Postoperative Condition Part 1

Procedure / Risks

  • Procedure / Risks
    【Hamra Method】
    ▪︎Regular price/ ¥500,000
    ▪︎Number of procedures / 1
    ▪︎Treatment details / This treatment not only removes excess orbital fat, but also moves fat to areas that have become sunken due to aging, etc., thereby eliminating the puffiness under the eyes and at the same time, creating a natural, smooth texture.
    ▪︎Risks and side effects / Pain and heat sensation: about 1 week / Redness of the incision sites: about 3 months ※Private Medical Care

Woman 40's

No.00157/ID:172862

Condition of the Area

  • Prominent sagging, Bulging under the eyes
  • dark circles

Patient’s Request

  • #Lessen sagging and bulging
  • #Anterior Hamra Method
  • Before
    Preoperative Condition Part 1
  • Before
    Preoperative Condition Part 1
  • Before
    Preoperative Condition Part 1
  • After
    Postoperative Condition Part 1
  • After
    Postoperative Condition Part 1
  • After
    Postoperative Condition Part 1

Procedure / Risks

  • Procedure / Risks
    【Sub-Brow Lift】
    ▪︎Regular price / ¥346,500
    ▪︎Number of procedures / 1
    ▪︎Treatment details / This is a procedure to improve sagging eyelids by incising the excess skin just below the eyebrows.
    ▪︎Risks and side effects / Swelling, bruising, infection, asymmetry, scars, redness, and unintended wrinkles ※Private Medical Care

    【Hamra Method】
    ▪︎Regular price/ ¥500,000
    ▪︎Number of procedures / 1
    ▪︎Treatment details / This treatment not only removes excess orbital fat, but also moves fat to areas that have become sunken due to aging, etc., thereby eliminating the puffiness under the eyes and at the same time, creating a natural, smooth texture.
    ▪︎Risks and side effects / Pain and heat sensation: about 1 week / Redness of the incision sites: about 3 months ※Private Medical Care

    【Incision Double Eyelid Method】
    ▪︎Regular price / ¥217,800〜¥327,800
    ▪︎Number of procedures / 1
    ▪︎Treatment details / This is a procedure that creates a semi-permanent double width by making an incision in the skin along the desired double line and suturing the levator aponeurosis and subcutaneous tissue.
    ▪︎Risks and side effects / Swelling, complications, subcutaneous bleeding, hematoma, eye discomfort, infection, pain, hypertrophic scars, keloids, etc. ※Private Medical Care

Man 50's

No.00145/ID:137488

Condition of the Area

  • dark circles

Patient’s Request

  • #Lessen sagging and bulging
  • #Anterior Hamra Method
  • Before
    Preoperative Condition Part 1
  • Before
    Preoperative Condition Part 1
  • Before
    Preoperative Condition Part 1
  • After
    Postoperative Condition Part 1
  • After
    Postoperative Condition Part 1
  • After
    Postoperative Condition Part 1

Procedure / Risks

  • Procedure / Risks
    【Sub-Brow Lift】
    ▪︎Regular price / ¥346,500
    ▪︎Number of procedures / 1
    ▪︎Treatment details / This is a procedure to improve sagging eyelids by incising the excess skin just below the eyebrows.
    ▪︎Risks and side effects / Swelling, bruising, infection, asymmetry, scars, redness, and unintended wrinkles ※Private Medical Care

    【Hamra Method】
    ▪︎Regular price/ ¥500,000
    ▪︎Number of procedures / 1
    ▪︎Treatment details / This treatment not only removes excess orbital fat, but also moves fat to areas that have become sunken due to aging, etc., thereby eliminating the puffiness under the eyes and at the same time, creating a natural, smooth texture.
    ▪︎Risks and side effects / Pain and heat sensation: about 1 week / Redness of the incision sites: about 3 months ※Private Medical Care

Woman 50's

No.00131/ID:213839

Condition of the Area

  • Prominent sagging, Bulging under the eyes

Patient’s Request

  • #Anterior Hamra Method
  • Before
    Preoperative Condition Part 1
  • Before
    Preoperative Condition Part 1
  • Before
    Preoperative Condition Part 1
  • After
    Postoperative Condition Part 1
  • After
    Postoperative Condition Part 1
  • After
    Postoperative Condition Part 1

Procedure / Risks

  • Procedure / Risks
    【Hamra Method】
    ▪︎Regular price/ ¥500,000
    ▪︎Number of procedures / 1
    ▪︎Treatment details / This treatment not only removes excess orbital fat, but also moves fat to areas that have become sunken due to aging, etc., thereby eliminating the puffiness under the eyes and at the same time, creating a natural, smooth texture.
    ▪︎Risks and side effects / Pain and heat sensation: about 1 week / Redness of the incision sites: about 3 months ※Private Medical Care

Woman 50's

No.00106/ID:200063

Condition of the Area

  • Prominent sagging, Bulging under the eyes

Patient’s Request

  • #Lessen sagging and bulging
  • Before
    Preoperative Condition Part 1
  • Before
    Preoperative Condition Part 1
  • Before
    Preoperative Condition Part 1
  • After
    Postoperative Condition Part 1
  • After
    Postoperative Condition Part 1
  • After
    Postoperative Condition Part 1

Procedure / Risks

  • Procedure / Risks
    【Hamra Method】
    ▪︎Regular price/ ¥500,000
    ▪︎Number of procedures / 1
    ▪︎Treatment details / This treatment not only removes excess orbital fat, but also moves fat to areas that have become sunken due to aging, etc., thereby eliminating the puffiness under the eyes and at the same time, creating a natural, smooth texture.
    ▪︎Risks and side effects / Pain and heat sensation: about 1 week / Redness of the incision sites: about 3 months ※Private Medical Care

Woman 50's

No.00086/ID:14803

Condition of the Area

  • Prominent sagging, Bulging under the eyes
  • dark circles

Patient’s Request

  • #Anterior Hamra Method
  • Before
    Preoperative Condition Part 1
  • Before
    Preoperative Condition Part 1
  • Before
    Preoperative Condition Part 1
  • After
    Postoperative Condition Part 1
  • After
    Postoperative Condition Part 1
  • After
    Postoperative Condition Part 1

Procedure / Risks

  • Procedure / Risks
    Pain and heat sensation: Approx. 1 week / Wound redness: Approx. 3 months

Woman 80's

No.00071/ID:137438

Condition of the Area

  • Prominent sagging, Bulging under the eyes

Patient’s Request

  • #Anterior Hamra Method
  • Before
    Preoperative Condition Part 1
  • Before
    Preoperative Condition Part 1
  • Before
    Preoperative Condition Part 1
  • After
    Postoperative Condition Part 1
  • After
    Postoperative Condition Part 1
  • After
    Postoperative Condition Part 1

Procedure / Risks

  • Procedure / Risks
    【Hamra Method】
    ▪︎Regular price/ ¥500,000
    ▪︎Number of procedures / 1
    ▪︎Treatment details / This treatment not only removes excess orbital fat, but also moves fat to areas that have become sunken due to aging, etc., thereby eliminating the puffiness under the eyes and at the same time, creating a natural, smooth texture.
    ▪︎Risks and side effects / Pain and heat sensation: about 1 week / Redness of the incision sites: about 3 months ※Private Medical Care

Woman 20's

No.00068/ID:197404

Condition of the Area

  • Prominent sagging, Bulging under the eyes

Patient’s Request

  • #Posterior Hamra Method
  • Before
    Preoperative Condition Part 1
  • Before
    Preoperative Condition Part 1
  • Before
    Preoperative Condition Part 1
  • After
    Postoperative Condition Part 1
  • After
    Postoperative Condition Part 1
  • After
    Postoperative Condition Part 1

Procedure / Risks

  • Procedure / Risks
    【Hamra Method】
    ▪︎Regular price/ ¥500,000
    ▪︎Number of procedures / 1
    ▪︎Treatment details / This treatment not only removes excess orbital fat, but also moves fat to areas that have become sunken due to aging, etc., thereby eliminating the puffiness under the eyes and at the same time, creating a natural, smooth texture.
    ▪︎Risks and side effects / Pain and heat sensation: about 1 week / Redness of the incision sites: about 3 months ※Private Medical Care