- Doublelid
- Medial Canthoplasty
- Lateral Canthoplasty・Glamorous Line
- Eyelid fat removal (Upper Blepharoplasty)
- Eye trough hyaluronic Acid
- Eye bags removal
- hyaluronic Acid
- Lower Brow Incision
- Ptosis Procedure
- Thread Lift
- Shopping Thread Lift
- Liposuction injection
- Facial Liposuction (cheeks / under chin)
- Fat-Dissolving Injection
- Botox
- Hyaluronic Acid
- HIFU
- Liposuction
- Fat-Dissolving Injection
- Fat freezing
- Coming Soon
- Coming Soon
- Coming Soon
- Breast augmentation
- Nipple reduction
- Labia minora reduction
- Labia majora reduction
- Accessary labial fold Removal
- Clitoral hood reduction
- Hair loss treatment・AGA
- Hair implant
- Septal Extension
- Small nose・Nostril reduction
- Rinoplasty
Doublelid
Filtered Search
Displaying 1 - 20 results: 337 in total
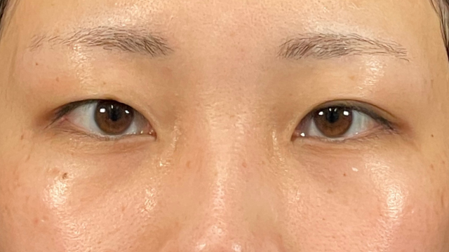
Woman 10's
No.00798/ID:108115
Condition of the Area
Patient’s Request
-
Before
-
Before
-
Before
-
After
-
After
-
After
Procedure / Risks
-
Procedure / Risks【Burial method/natural adhesion method】
▪︎Regular price / ¥14,800〜¥418,000
▪︎Number of procedures / 1
▪︎Treatment details / This is a procedure that creates double eyelids by fixing several parts of the eyelids with special threads.
▪︎Risks and side effects / Swelling, pain, internal bleeding: About 2 days to 2 weeks ※Private Medical Care
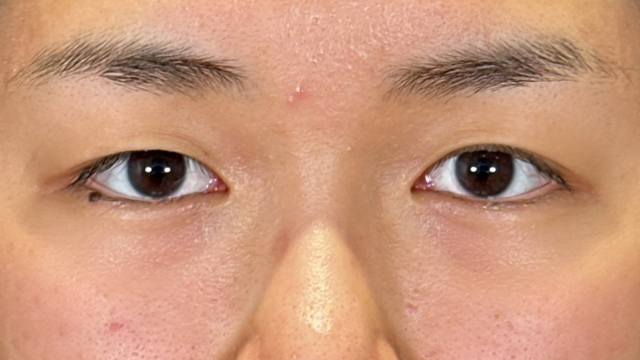
Woman 40's
No.00797/ID:108110
Condition of the Area
Patient’s Request
-
Before
-
Before
-
Before
-
After
-
After
-
After
Procedure / Risks
-
Procedure / Risks【Burial method/natural adhesion method】
▪︎Regular price / ¥14,800〜¥418,000
▪︎Number of procedures / 1
▪︎Treatment details / This is a procedure that creates double eyelids by fixing several parts of the eyelids with special threads.
▪︎Risks and side effects / Swelling, pain, internal bleeding: About 2 days to 2 weeks ※Private Medical Care
Woman 20's
No.00795/ID:66169
Condition of the Area
Patient’s Request
-
Before
-
Before
-
Before
-
After
-
After
-
After
Procedure / Risks
-
Procedure / Risks【Burial method/natural adhesion method】
▪︎Regular price / ¥14,800〜¥418,000
▪︎Number of procedures / 1
▪︎Treatment details / This is a procedure that creates double eyelids by fixing several parts of the eyelids with special threads.
▪︎Risks and side effects / Swelling, pain, internal bleeding: About 2 days to 2 weeks ※Private Medical Care
Woman 20's
No.00794/ID:107710
Condition of the Area
Patient’s Request
-
Before
-
Before
-
Before
-
After
-
After
-
After
Procedure / Risks
-
Procedure / Risks【Burial method/natural adhesion method】
▪︎Regular price / ¥14,800〜¥418,000
▪︎Number of procedures / 1
▪︎Treatment details / This is a procedure that creates double eyelids by fixing several parts of the eyelids with special threads.
▪︎Risks and side effects / Swelling, pain, internal bleeding: About 2 days to 2 weeks ※Private Medical Care
Woman 20's
No.00788/ID:106622
Condition of the Area
Patient’s Request
-
Before
-
Before
-
Before
-
After
-
After
-
After
Procedure / Risks
-
Procedure / Risks【Burial method/natural adhesion method】
▪︎Regular price / ¥14,800〜¥418,000
▪︎Number of procedures / 1
▪︎Treatment details / This is a procedure that creates double eyelids by fixing several parts of the eyelids with special threads.
▪︎Risks and side effects / Swelling, pain, internal bleeding: About 2 days to 2 weeks ※Private Medical Care
Woman 10's
No.00783/ID:104379
Condition of the Area
Patient’s Request
-
Before
-
Before
-
Before
-
After
-
After
-
After
Procedure / Risks
-
Procedure / Risks【Burial method/natural adhesion method】
▪︎Regular price / ¥14,800〜¥418,000
▪︎Number of procedures / 1
▪︎Treatment details / This is a procedure that creates double eyelids by fixing several parts of the eyelids with special threads.
▪︎Risks and side effects / Swelling, pain, internal bleeding: About 2 days to 2 weeks ※Private Medical Care
【Upper Blepharoplasty】
▪︎Regular price / ¥150,000
▪︎Number of procedures / 1
▪︎Treatment details / This is a procedure to reduce orbital fat in the upper eyelid.
▪︎Risks and side effects / Pain and heat sensation: about 1 week / Bruising: about 1-2 weeks / Redness of the incision: about 3 months ※Private Medical Care
Woman 30's
No.00771/ID:96300
Condition of the Area
Patient’s Request
-
Before
-
Before
-
Before
-
After
-
After
-
After
Procedure / Risks
-
Procedure / Risks【Incision Double Eyelid Method】
▪︎Regular price / ¥217,800〜¥327,800
▪︎Number of procedures / 1
▪︎Treatment details / This is a procedure that creates a semi-permanent double width by making an incision in the skin along the desired double line and suturing the levator aponeurosis and subcutaneous tissue.
▪︎Risks and side effects / Swelling, complications, subcutaneous bleeding, hematoma, eye discomfort, infection, pain, hypertrophic scars, keloids, etc. ※Private Medical Care
【Lower eyelid Blepharoplasty】
▪︎Regular price / ¥19,800〜¥250,500
▪︎Number of procedures / 1
▪︎Treatment details / This is a treatment that removes only the excess fat that causes dark circles from the inner, central, and outer areas while adjusting the balance.
▪︎Risks and side effects / Bruising, swelling, redness, conjunctival edema ※Private Medical Care
Woman 20's
No.00697/ID:205103
Condition of the Area
Patient’s Request
-
Before
-
Before
-
Before
-
After
-
After
-
After
Procedure / Risks
-
Procedure / Risks【Burial method/natural adhesion method】
▪︎Regular price / ¥14,800〜¥418,000
▪︎Number of procedures / 1
▪︎Treatment details / This is a procedure that creates double eyelids by fixing several parts of the eyelids with special threads.
▪︎Risks and side effects / Swelling, pain, internal bleeding: About 2 days to 2 weeks ※Private Medical Care
【Lower eyelid Blepharoplasty】
▪︎Regular price / ¥19,800〜¥250,500
▪︎Number of procedures / 1
▪︎Treatment details / This is a treatment that removes only the excess fat that causes dark circles from the inner, central, and outer areas while adjusting the balance.
▪︎Risks and side effects / Bruising, swelling, redness, conjunctival edema ※Private Medical Care
【Thread Lift】
・Regular Price: ¥236,000〜¥597,600
・Number of procedures / 1
・Treatment Details: A procedure aimed at improving sagging in the cheeks and jawline.
・Risks & Side Effects: Swelling and pain lasting 2 days to 1 week, bruising lasting 1 to 2 weeks. ※private medical care
【Hyaluronic Acid Injection】
・Regular Price: Allergan product / ¥77,000 per 1cc | Korean product / ¥38,500 per 1cc
・Number of treatments / 1 session
・Treatment Details: A procedure designed to reduce wrinkles, correct hollows, and improve facial contours.
・Risks & Side Effects: Pain, swelling, bruising, vascular obstruction, allergic reactions, infection, hardening, etc. ※private medical care
Woman 10's
No.00693/ID:197906
Condition of the Area
Patient’s Request
-
Before
-
Before
-
Before
-
After
-
After
-
After
Procedure / Risks
-
Procedure / Risks【Burial method/natural adhesion method】
▪︎Regular price / ¥14,800〜¥418,000
▪︎Number of procedures / 1
▪︎Treatment details / This is a procedure that creates double eyelids by fixing several parts of the eyelids with special threads.
▪︎Risks and side effects / Swelling, pain, internal bleeding: About 2 days to 2 weeks ※Private Medical Care
Woman 30's
No.00691/ID:204786
Condition of the Area
Patient’s Request
-
Before
-
Before
-
Before
-
After
-
After
-
After
Procedure / Risks
-
Procedure / Risks【Burial method/natural adhesion method】
▪︎Regular price / ¥14,800〜¥418,000
▪︎Number of procedures / 1
▪︎Treatment details / This is a procedure that creates double eyelids by fixing several parts of the eyelids with special threads.
▪︎Risks and side effects / Swelling, pain, internal bleeding: About 2 days to 2 weeks ※Private Medical Care
Woman 10's
No.00686/ID:186181
Condition of the Area
Patient’s Request
-
Before
-
Before
-
Before
-
After
-
After
-
After
Procedure / Risks
-
Procedure / Risks【Burial method/natural adhesion method】
▪︎Regular price / ¥14,800〜¥418,000
▪︎Number of procedures / 1
▪︎Treatment details / This is a procedure that creates double eyelids by fixing several parts of the eyelids with special threads.
▪︎Risks and side effects / Swelling, pain, internal bleeding: About 2 days to 2 weeks ※Private Medical Care
Woman 10's
No.00682/ID:189765
Condition of the Area
Patient’s Request
-
Before
-
Before
-
Before
-
After
-
After
-
After
Procedure / Risks
-
Procedure / Risks【Burial method/natural adhesion method】
▪︎Regular price / ¥14,800〜¥418,000
▪︎Number of procedures / 1
▪︎Treatment details / This is a procedure that creates double eyelids by fixing several parts of the eyelids with special threads.
▪︎Risks and side effects / Swelling, pain, internal bleeding: About 2 days to 2 weeks ※Private Medical Care
Woman 10's
No.00678/ID:202403
Condition of the Area
Patient’s Request
-
Before
-
Before
-
Before
-
After
-
After
-
After
Procedure / Risks
-
Procedure / Risks【Burial method/natural adhesion method】
▪︎Regular price / ¥14,800〜¥418,000
▪︎Number of procedures / 1
▪︎Treatment details / This is a procedure that creates double eyelids by fixing several parts of the eyelids with special threads.
▪︎Risks and side effects / Swelling, pain, internal bleeding: About 2 days to 2 weeks ※Private Medical Care
Woman 20's
No.00674/ID:194231
Condition of the Area
Patient’s Request
-
Before
-
Before
-
Before
-
After
-
After
-
After
Procedure / Risks
-
Procedure / Risks【Burial method/natural adhesion method】
▪︎Regular price / ¥14,800〜¥418,000
▪︎Number of procedures / 1
▪︎Treatment details / This is a procedure that creates double eyelids by fixing several parts of the eyelids with special threads.
▪︎Risks and side effects / Swelling, pain, internal bleeding: About 2 days to 2 weeks ※Private Medical Care
Woman 20's
No.00664/ID:206719
Condition of the Area
Patient’s Request
-
Before
-
Before
-
Before
-
After
-
After
-
After
Procedure / Risks
-
Procedure / Risks【Burial method/natural adhesion method】
▪︎Regular price / ¥14,800〜¥418,000
▪︎Number of procedures / 1
▪︎Treatment details / This is a procedure that creates double eyelids by fixing several parts of the eyelids with special threads.
▪︎Risks and side effects / Swelling, pain, internal bleeding: About 2 days to 2 weeks ※Private Medical Care
Woman 20's
No.00661/ID:204760
Condition of the Area
Patient’s Request
-
Before
-
Before
-
Before
-
After
-
After
-
After
Procedure / Risks
-
Procedure / Risks【Burial method/natural adhesion method】
▪︎Regular price / ¥14,800〜¥418,000
▪︎Number of procedures / 1
▪︎Treatment details / This is a procedure that creates double eyelids by fixing several parts of the eyelids with special threads.
▪︎Risks and side effects / Swelling, pain, internal bleeding: About 2 days to 2 weeks ※Private Medical Care
Woman 10's
No.00658/ID:205472
Condition of the Area
Patient’s Request
-
Before
-
Before
-
Before
-
After
-
After
-
After
Procedure / Risks
-
Procedure / Risks【Burial method/natural adhesion method】
▪︎Regular price / ¥14,800〜¥418,000
▪︎Number of procedures / 1
▪︎Treatment details / This is a procedure that creates double eyelids by fixing several parts of the eyelids with special threads.
▪︎Risks and side effects / Swelling, pain, internal bleeding: About 2 days to 2 weeks ※Private Medical Care
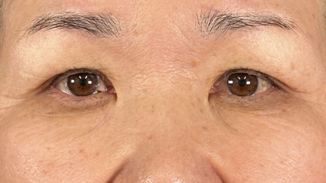
Woman 60's
No.00657/ID:205480
Condition of the Area
Patient’s Request
-
Before
-
Before
-
Before
-
After
-
After
-
After
Procedure / Risks
-
Procedure / Risks【Burial method/natural adhesion method】
▪︎Regular price / ¥14,800〜¥418,000
▪︎Number of procedures / 1
▪︎Treatment details / This is a procedure that creates double eyelids by fixing several parts of the eyelids with special threads.
▪︎Risks and side effects / Swelling, pain, internal bleeding: About 2 days to 2 weeks ※Private Medical Care
Woman 20's
No.00648/ID:203310
Condition of the Area
Patient’s Request
-
Before
-
Before
-
Before
-
After
-
After
-
After
Procedure / Risks
-
Procedure / Risks【Burial method/natural adhesion method】
▪︎Regular price / ¥14,800〜¥418,000
▪︎Number of procedures / 1
▪︎Treatment details / This is a procedure that creates double eyelids by fixing several parts of the eyelids with special threads.
▪︎Risks and side effects / Swelling, pain, internal bleeding: About 2 days to 2 weeks ※Private Medical Care
Woman 10's
No.00647/ID:207718
Condition of the Area
Patient’s Request
-
Before
-
Before
-
Before
-
After
-
After
-
After
Procedure / Risks
-
Procedure / Risks【Burial method/natural adhesion method】
▪︎Regular price / ¥14,800〜¥418,000
▪︎Number of procedures / 1
▪︎Treatment details / This is a procedure that creates double eyelids by fixing several parts of the eyelids with special threads.
▪︎Risks and side effects / Swelling, pain, internal bleeding: About 2 days to 2 weeks ※Private Medical Care