1. Home
  2. Eye bags / Eye bags removal
  3. Hamra Method
  4. Case Details No.00106

Case Details

No.00106/ID:200063

Hamra Method

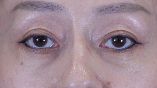
Condition of the Area

  • Prominent sagging, Bulging under the eyes

Patient’s Request

  • #Lessen sagging and bulging
  • Before
    Preoperative Condition Part 1
  • Before
    Preoperative Condition Part 1
  • Before
    Preoperative Condition Part 1
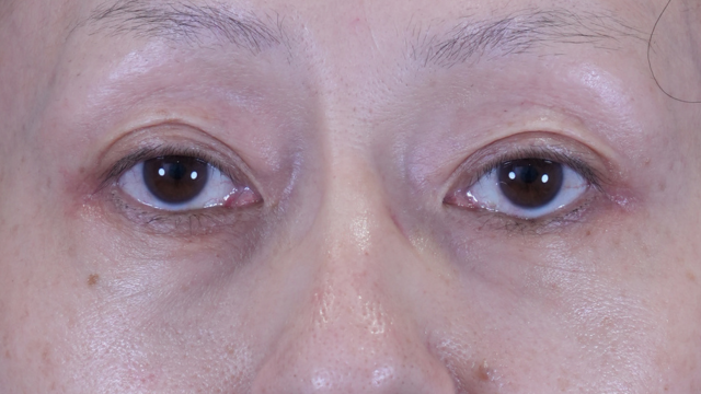
  • After
    Postoperative Condition Part 1
  • After
    Postoperative Condition Part 1
  • After
    Postoperative Condition Part 1
  • Procedure Name
    Anterior Hamra Method
  • Procedure / Risks
    【Hamra Method】
    ▪︎Regular price/ ¥500,000
    ▪︎Number of procedures / 1
    ▪︎Treatment details / This treatment not only removes excess orbital fat, but also moves fat to areas that have become sunken due to aging, etc., thereby eliminating the puffiness under the eyes and at the same time, creating a natural, smooth texture.
    ▪︎Risks and side effects / Pain and heat sensation: about 1 week / Redness of the incision sites: about 3 months ※Private Medical Care
  • Doctor
    Tetsu Yanai

Post OP Progress

Before

  • Postoperative Condition Part 1
  • Postoperative Condition Part 1
  • Postoperative Condition Part 1

Right After surgery

  • Postoperative Condition Part 1
  • Postoperative Condition Part 1
  • Postoperative Condition Part 1

After 1 week (With makeup)

  • Postoperative Condition Part 1
  • Postoperative Condition Part 1
  • Postoperative Condition Part 1

After 1 month (With makeup)

  • Postoperative Condition Part 1
  • Postoperative Condition Part 1
  • Postoperative Condition Part 1

시술 1개월 후 (메이크업 없음)

  • Postoperative Condition Part 1
  • Postoperative Condition Part 1
  • Postoperative Condition Part 1

시술 1개월 후 (메이크업 있음)

  • Postoperative Condition Part 1
  • Postoperative Condition Part 1
  • Postoperative Condition Part 1