1. トップページヘ
  2. クマ / クマ取り
  3. ハムラ法
  4. 症例詳細No.00073

症例詳細

No.00073/ID:131985

ハムラ法

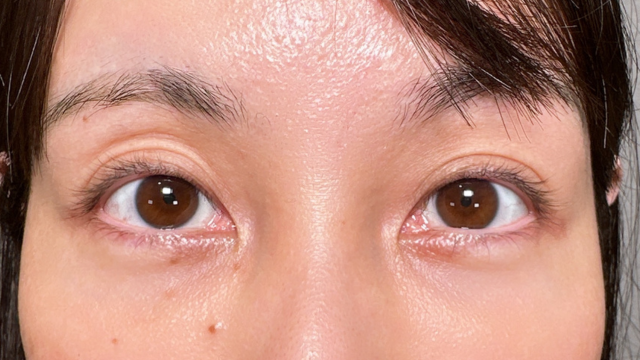
患部の状態

  • 目の下のたるみ、ふくらみが目立つ

本人のご要望

  • #裏ハムラ法
  • #脂肪注入
  • Before
    手術前の状態
  • Before
    手術前の状態
  • Before
    手術前の状態
  • After
    手術後の状態
  • After
    手術後の状態
  • After
    手術後の状態
  • 施術名
    裏ハムラ / 脂肪注入コンデンスリッチ
  • 施術内容・
    リスク
    【裏ハムラ】痛み・熱感:1週間程度 、 傷口の赤味:3か月程度
    【脂肪注入コンデンスリッチ】腫れ、痛み、内出血、感染、血腫、変形、硬化、麻痺、感覚低下、定着不良、シコリ、嚢胞、アレルギー反応、結膜浮腫など
  • ドクター
    脇山

術後経過

施術前

  • 手術前の状態 その1
  • 手術前の状態 その1
  • 手術前の状態 その1

施術直後

  • 手術前の状態 その1
  • 手術前の状態 その1
  • 手術前の状態 その1

施術1週間後・メイクなし

  • 手術前の状態 その1
  • 手術前の状態 その1
  • 手術前の状態 その1

施術1週間後・メイクあり

  • 手術前の状態 その1
  • 手術前の状態 その1
  • 手術前の状態 その1

施術1ヶ月後・メイクなし

  • 手術前の状態 その1
  • 手術前の状態 その1
  • 手術前の状態 その1

施術1ヶ月後・メイクあり

  • 手術前の状態 その1
  • 手術前の状態 その1
  • 手術前の状態 その1