1. Home
  2. Sagging above the eyes / Lower Brow Incision

Lower Brow Incision

Filtered Search

Displaying 1 - 20 results: 26 in total

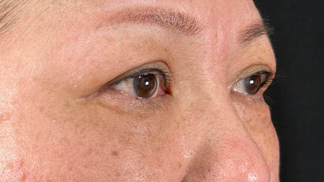
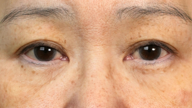
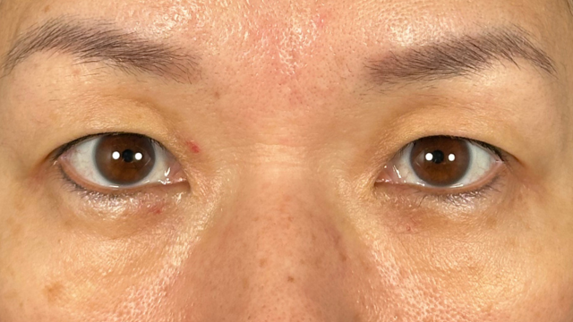
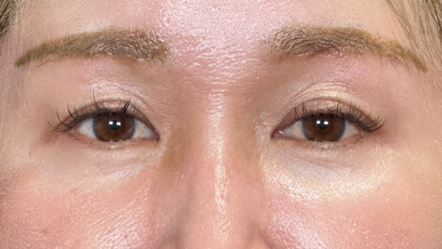
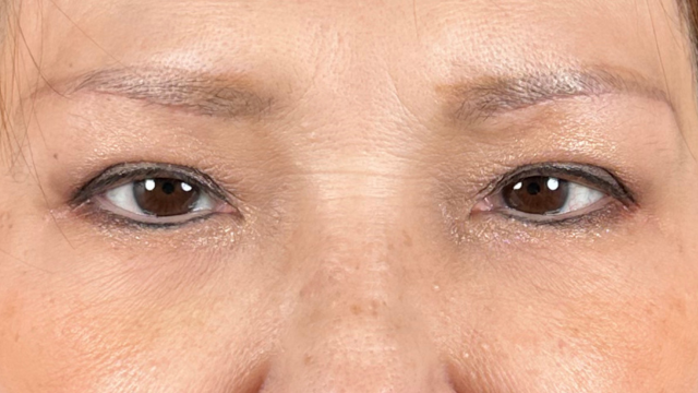
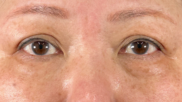
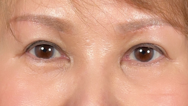
Woman 50's

No.00803/ID:283636

Condition of the Area

  • eyelid heaviness
  • Droopy eyelids

Patient’s Request

  • #Lower Brow Incision
  • Before
    Preoperative Condition Part 1
  • Before
    Preoperative Condition Part 1
  • Before
    Preoperative Condition Part 1
  • After
    Postoperative Condition Part 1
  • After
    Postoperative Condition Part 1
  • After
    Postoperative Condition Part 1

Procedure / Risks

  • Procedure / Risks
    【Sub-Brow Lift】
    ▪︎Regular price / ¥346,500
    ▪︎Number of procedures / 1
    ▪︎Treatment details / This is a procedure to improve sagging eyelids by incising the excess skin just below the eyebrows.
    ▪︎Risks and side effects / Swelling, bruising, infection, asymmetry, scars, redness, and unintended wrinkles ※Private Medical Care

    【Thread Lift】
    ・Regular Price: ¥236,000〜¥597,600
    ・Number of procedures / 1
    ・Treatment Details: A procedure aimed at improving sagging in the cheeks and jawline.
    ・Risks & Side Effects: Swelling and pain lasting 2 days to 1 week, bruising lasting 1 to 2 weeks. ※private medical care

    【Hyaluronic Acid Injection】
    ・Regular Price: Allergan product / ¥77,000 per 1cc | Korean product / ¥38,500 per 1cc
    ・Number of treatments / 1 session
    ・Treatment Details: A procedure designed to reduce wrinkles, correct hollows, and improve facial contours.
    ・Risks & Side Effects: Pain, swelling, bruising, vascular obstruction, allergic reactions, infection, hardening, etc. ※private medical care

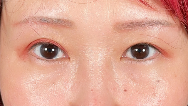
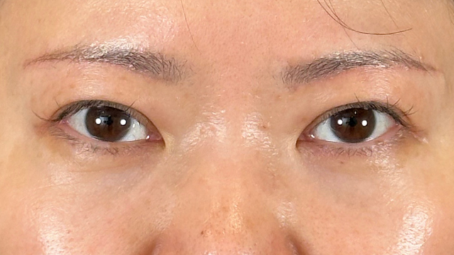
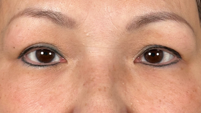
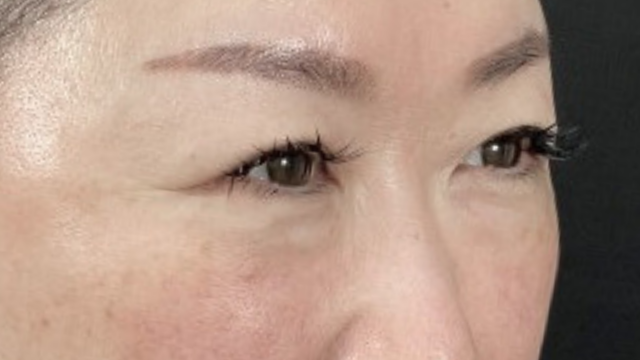
Woman 50's

No.00573/ID:171537

Condition of the Area

  • Heavy Eyelids
  • Hidden double eyelids
  • Menacing look in the eyes

Patient’s Request

  • #Lower Brow Incision
  • Before
    Preoperative Condition Part 1
  • Before
    Preoperative Condition Part 1
  • Before
    Preoperative Condition Part 1
  • After
    Postoperative Condition Part 1
  • After
    Postoperative Condition Part 1
  • After
    Postoperative Condition Part 1

Procedure / Risks

  • Procedure / Risks
    【Sub-Brow Lift】
    ▪︎Regular price / ¥346,500
    ▪︎Number of procedures / 1
    ▪︎Treatment details / This is a procedure to improve sagging eyelids by incising the excess skin just below the eyebrows.
    ▪︎Risks and side effects / Swelling, bruising, infection, asymmetry, scars, redness, and unintended wrinkles ※Private Medical Care

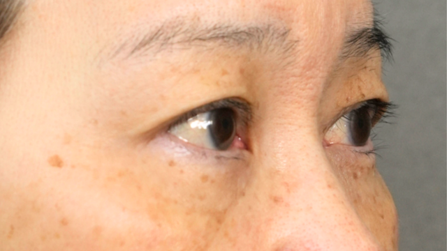
Woman 60's

No.00538/ID:179886

Condition of the Area

  • Hidden double eyelids
  • Menacing look in the eyes

Patient’s Request

  • #Lower Brow Incision
  • Before
    Preoperative Condition Part 1
  • Before
    Preoperative Condition Part 1
  • Before
    Preoperative Condition Part 1
  • After
    Postoperative Condition Part 1
  • After
    Postoperative Condition Part 1
  • After
    Postoperative Condition Part 1

Procedure / Risks

  • Procedure / Risks
    【Sub-Brow Lift】
    ▪︎Regular price / ¥346,500
    ▪︎Number of procedures / 1
    ▪︎Treatment details / This is a procedure to improve sagging eyelids by incising the excess skin just below the eyebrows.
    ▪︎Risks and side effects / Swelling, bruising, infection, asymmetry, scars, redness, and unintended wrinkles ※Private Medical Care

Woman 50's

No.00531/ID:194798

Condition of the Area

  • Hidden double eyelids
  • Menacing look in the eyes

Patient’s Request

  • #Lower Brow Incision
  • Before
    Preoperative Condition Part 1
  • Before
    Preoperative Condition Part 1
  • Before
    Preoperative Condition Part 1
  • After
    Postoperative Condition Part 1
  • After
    Postoperative Condition Part 1
  • After
    Postoperative Condition Part 1

Procedure / Risks

  • Procedure / Risks
    【Sub-Brow Lift】
    ▪︎Regular price / ¥346,500
    ▪︎Number of procedures / 1
    ▪︎Treatment details / This is a procedure to improve sagging eyelids by incising the excess skin just below the eyebrows.
    ▪︎Risks and side effects / Swelling, bruising, infection, asymmetry, scars, redness, and unintended wrinkles ※Private Medical Care

Woman 40's

No.00508/ID:197098

Condition of the Area

  • Hidden double eyelids
  • Menacing look in the eyes

Patient’s Request

  • #Lower Brow Incision
  • Before
    Preoperative Condition Part 1
  • Before
    Preoperative Condition Part 1
  • Before
    Preoperative Condition Part 1
  • After
    Postoperative Condition Part 1
  • After
    Postoperative Condition Part 1
  • After
    Postoperative Condition Part 1

Procedure / Risks

  • Procedure / Risks
    【Sub-Brow Lift】
    ▪︎Regular price / ¥346,500
    ▪︎Number of procedures / 1
    ▪︎Treatment details / This is a procedure to improve sagging eyelids by incising the excess skin just below the eyebrows.
    ▪︎Risks and side effects / Swelling, bruising, infection, asymmetry, scars, redness, and unintended wrinkles ※Private Medical Care

Woman 40's

No.00481/ID:154895

Condition of the Area

  • Heavy Eyelids
  • smaller and thinner eyes

Patient’s Request

  • #Lower Brow Incision
  • Before
    Preoperative Condition Part 1
  • Before
    Preoperative Condition Part 1
  • Before
    Preoperative Condition Part 1
  • After
    Postoperative Condition Part 1
  • After
    Postoperative Condition Part 1
  • After
    Postoperative Condition Part 1

Procedure / Risks

  • Procedure / Risks
    【Sub-Brow Lift】
    ▪︎Regular price / ¥346,500
    ▪︎Number of procedures / 1
    ▪︎Treatment details / This is a procedure to improve sagging eyelids by incising the excess skin just below the eyebrows.
    ▪︎Risks and side effects / Swelling, bruising, infection, asymmetry, scars, redness, and unintended wrinkles ※Private Medical Care

Woman 50's

No.00447/ID:171445

Condition of the Area

  • eyelid heaviness
  • Droopy eyelids

Patient’s Request

  • #Lower Brow Incision
  • Before
    Preoperative Condition Part 1
  • Before
    Preoperative Condition Part 1
  • Before
    Preoperative Condition Part 1
  • After
    Postoperative Condition Part 1
  • After
    Postoperative Condition Part 1
  • After
    Postoperative Condition Part 1

Procedure / Risks

  • Procedure / Risks
    【Sub-Brow Lift】
    ▪︎Regular price / ¥346,500
    ▪︎Number of procedures / 1
    ▪︎Treatment details / This is a procedure to improve sagging eyelids by incising the excess skin just below the eyebrows.
    ▪︎Risks and side effects / Swelling, bruising, infection, asymmetry, scars, redness, and unintended wrinkles ※Private Medical Care

Woman 50's

No.00432/ID:188909

Condition of the Area

  • eyelid heaviness
  • Droopy eyelids

Patient’s Request

  • #Lower Brow Incision
  • Before
    Preoperative Condition Part 1
  • Before
    Preoperative Condition Part 1
  • Before
    Preoperative Condition Part 1
  • After
    Postoperative Condition Part 1
  • After
    Postoperative Condition Part 1
  • After
    Postoperative Condition Part 1

Procedure / Risks

  • Procedure / Risks
    【Sub-Brow Lift】
    ▪︎Regular price / ¥346,500
    ▪︎Number of procedures / 1
    ▪︎Treatment details / This is a procedure to improve sagging eyelids by incising the excess skin just below the eyebrows.
    ▪︎Risks and side effects / Swelling, bruising, infection, asymmetry, scars, redness, and unintended wrinkles ※Private Medical Care

Woman 50's

No.00393/ID:158986

Condition of the Area

  • Hidden double eyelids
  • Menacing look in the eyes

Patient’s Request

  • #Lower Brow Incision
  • Before
    Preoperative Condition Part 1
  • Before
    Preoperative Condition Part 1
  • Before
    Preoperative Condition Part 1
  • After
    Postoperative Condition Part 1
  • After
    Postoperative Condition Part 1
  • After
    Postoperative Condition Part 1

Procedure / Risks

  • Procedure / Risks
    【Sub-Brow Lift】
    ▪︎Regular price / ¥346,500
    ▪︎Number of procedures / 1
    ▪︎Treatment details / This is a procedure to improve sagging eyelids by incising the excess skin just below the eyebrows.
    ▪︎Risks and side effects / Swelling, bruising, infection, asymmetry, scars, redness, and unintended wrinkles ※Private Medical Care

Woman 50's

No.00392/ID:179227

Condition of the Area

  • Heavy Eyelids
  • smaller and thinner eyes

Patient’s Request

  • #Lower Brow Incision
  • Before
    Preoperative Condition Part 1
  • Before
    Preoperative Condition Part 1
  • Before
    Preoperative Condition Part 1
  • After
    Postoperative Condition Part 1
  • After
    Postoperative Condition Part 1
  • After
    Postoperative Condition Part 1

Procedure / Risks

  • Procedure / Risks
    【Sub-Brow Lift】
    ▪︎Regular price / ¥346,500
    ▪︎Number of procedures / 1
    ▪︎Treatment details / This is a procedure to improve sagging eyelids by incising the excess skin just below the eyebrows.
    ▪︎Risks and side effects / Swelling, bruising, infection, asymmetry, scars, redness, and unintended wrinkles ※Private Medical Care

Woman 50's

No.00390/ID:159649

Condition of the Area

  • Hidden double eyelids
  • Menacing look in the eyes

Patient’s Request

  • #Lower Brow Incision
  • Before
    Preoperative Condition Part 1
  • Before
    Preoperative Condition Part 1
  • Before
    Preoperative Condition Part 1
  • After
    Postoperative Condition Part 1
  • After
    Postoperative Condition Part 1
  • After
    Postoperative Condition Part 1

Procedure / Risks

  • Procedure / Risks
    【Sub-Brow Lift】
    ▪︎Regular price / ¥346,500
    ▪︎Number of procedures / 1
    ▪︎Treatment details / This is a procedure to improve sagging eyelids by incising the excess skin just below the eyebrows.
    ▪︎Risks and side effects / Swelling, bruising, infection, asymmetry, scars, redness, and unintended wrinkles ※Private Medical Care

Woman 50's

No.00380/ID:180053

Condition of the Area

  • Heavy Eyelids
  • smaller and thinner eyes

Patient’s Request

  • #Lower Brow Incision
  • Before
    Preoperative Condition Part 1
  • Before
    Preoperative Condition Part 1
  • Before
    Preoperative Condition Part 1
  • After
    Postoperative Condition Part 1
  • After
    Postoperative Condition Part 1
  • After
    Postoperative Condition Part 1

Procedure / Risks

  • Procedure / Risks
    【Sub-Brow Lift】
    ▪︎Regular price / ¥346,500
    ▪︎Number of procedures / 1
    ▪︎Treatment details / This is a procedure to improve sagging eyelids by incising the excess skin just below the eyebrows.
    ▪︎Risks and side effects / Swelling, bruising, infection, asymmetry, scars, redness, and unintended wrinkles ※Private Medical Care

Woman 50's

No.00372/ID:183717

Condition of the Area

  • Hidden double eyelids
  • Menacing look in the eyes

Patient’s Request

  • #Lower Brow Incision
  • Before
    Preoperative Condition Part 1
  • Before
    Preoperative Condition Part 1
  • Before
    Preoperative Condition Part 1
  • After
    Postoperative Condition Part 1
  • After
    Postoperative Condition Part 1
  • After
    Postoperative Condition Part 1

Procedure / Risks

  • Procedure / Risks
    【Sub-Brow Lift】
    ▪︎Regular price / ¥346,500
    ▪︎Number of procedures / 1
    ▪︎Treatment details / This is a procedure to improve sagging eyelids by incising the excess skin just below the eyebrows.
    ▪︎Risks and side effects / Swelling, bruising, infection, asymmetry, scars, redness, and unintended wrinkles ※Private Medical Care

Woman 60's

No.00370/ID:177378

Condition of the Area

  • Hidden double eyelids
  • Menacing look in the eyes

Patient’s Request

  • #Lower Brow Incision
  • Before
    Preoperative Condition Part 1
  • Before
    Preoperative Condition Part 1
  • Before
    Preoperative Condition Part 1
  • After
    Postoperative Condition Part 1
  • After
    Postoperative Condition Part 1
  • After
    Postoperative Condition Part 1

Procedure / Risks

  • Procedure / Risks
    【Sub-Brow Lift】
    ▪︎Regular price / ¥346,500
    ▪︎Number of procedures / 1
    ▪︎Treatment details / This is a procedure to improve sagging eyelids by incising the excess skin just below the eyebrows.
    ▪︎Risks and side effects / Swelling, bruising, infection, asymmetry, scars, redness, and unintended wrinkles ※Private Medical Care

Woman 40's

No.00291/ID:157077

Condition of the Area

  • Heavy Eyelids
  • smaller and thinner eyes

Patient’s Request

  • #Lower Brow Incision
  • Before
    Preoperative Condition Part 1
  • Before
    Preoperative Condition Part 1
  • Before
    Preoperative Condition Part 1
  • After
    Postoperative Condition Part 1
  • After
    Postoperative Condition Part 1
  • After
    Postoperative Condition Part 1

Procedure / Risks

  • Procedure / Risks
    【Sub-Brow Lift】
    ▪︎Regular price / ¥346,500
    ▪︎Number of procedures / 1
    ▪︎Treatment details / This is a procedure to improve sagging eyelids by incising the excess skin just below the eyebrows.
    ▪︎Risks and side effects / Swelling, bruising, infection, asymmetry, scars, redness, and unintended wrinkles ※Private Medical Care

Woman 40's

No.00285/ID:148096

Condition of the Area

  • Hidden double eyelids
  • Menacing look in the eyes

Patient’s Request

  • #Lower Brow Incision
  • Before
    Preoperative Condition Part 1
  • Before
    Preoperative Condition Part 1
  • Before
    Preoperative Condition Part 1
  • After
    Postoperative Condition Part 1
  • After
    Postoperative Condition Part 1
  • After
    Postoperative Condition Part 1

Procedure / Risks

  • Procedure / Risks
    【Sub-Brow Lift】
    ▪︎Regular price / ¥346,500
    ▪︎Number of procedures / 1
    ▪︎Treatment details / This is a procedure to improve sagging eyelids by incising the excess skin just below the eyebrows.
    ▪︎Risks and side effects / Swelling, bruising, infection, asymmetry, scars, redness, and unintended wrinkles ※Private Medical Care

Woman 50's

No.00282/ID:137431

Condition of the Area

  • Sunken Eyes
  • Droopy eyelids

Patient’s Request

  • #Lower Brow Incision
  • Before
    Preoperative Condition Part 1
  • Before
    Preoperative Condition Part 1
  • Before
    Preoperative Condition Part 1
  • After
    Postoperative Condition Part 1
  • After
    Postoperative Condition Part 1
  • After
    Postoperative Condition Part 1

Procedure / Risks

  • Procedure / Risks
    【Sub-Brow Lift】
    ▪︎Regular price / ¥346,500
    ▪︎Number of procedures / 1
    ▪︎Treatment details / This is a procedure to improve sagging eyelids by incising the excess skin just below the eyebrows.
    ▪︎Risks and side effects / Swelling, bruising, infection, asymmetry, scars, redness, and unintended wrinkles ※Private Medical Care

Woman 40's

No.00276/ID:147536

Condition of the Area

  • Hidden double eyelids
  • Menacing look in the eyes

Patient’s Request

  • #Lower Brow Incision
  • Before
    Preoperative Condition Part 1
  • Before
    Preoperative Condition Part 1
  • Before
    Preoperative Condition Part 1
  • After
    Postoperative Condition Part 1
  • After
    Postoperative Condition Part 1
  • After
    Postoperative Condition Part 1

Procedure / Risks

  • Procedure / Risks
    【Sub-Brow Lift】
    ▪︎Regular price / ¥346,500
    ▪︎Number of procedures / 1
    ▪︎Treatment details / This is a procedure to improve sagging eyelids by incising the excess skin just below the eyebrows.
    ▪︎Risks and side effects / Swelling, bruising, infection, asymmetry, scars, redness, and unintended wrinkles ※Private Medical Care

Woman 60's

No.00273/ID:131194

Condition of the Area

  • Heavy Eyelids
  • smaller and thinner eyes

Patient’s Request

  • #Lower Brow Incision
  • Before
    Preoperative Condition Part 1
  • Before
    Preoperative Condition Part 1
  • Before
    Preoperative Condition Part 1
  • After
    Postoperative Condition Part 1
  • After
    Postoperative Condition Part 1
  • After
    Postoperative Condition Part 1

Procedure / Risks

  • Procedure / Risks
    【Sub-Brow Lift】
    ▪︎Regular price / ¥346,500
    ▪︎Number of procedures / 1
    ▪︎Treatment details / This is a procedure to improve sagging eyelids by incising the excess skin just below the eyebrows.
    ▪︎Risks and side effects / Swelling, bruising, infection, asymmetry, scars, redness, and unintended wrinkles ※Private Medical Care

Woman 40's

No.00262/ID:93372

Condition of the Area

  • eyelid heaviness
  • Droopy eyelids

Patient’s Request

  • #Lower Brow Incision
  • Before
    Preoperative Condition Part 1
  • Before
    Preoperative Condition Part 1
  • Before
    Preoperative Condition Part 1
  • After
    Postoperative Condition Part 1
  • After
    Postoperative Condition Part 1
  • After
    Postoperative Condition Part 1

Procedure / Risks

  • Procedure / Risks
    【Sub-Brow Lift】
    ▪︎Regular price / ¥346,500
    ▪︎Number of procedures / 1
    ▪︎Treatment details / This is a procedure to improve sagging eyelids by incising the excess skin just below the eyebrows.
    ▪︎Risks and side effects / Swelling, bruising, infection, asymmetry, scars, redness, and unintended wrinkles ※Private Medical Care