1. Home
  2. Sagging above the eyes / Lower Brow Incision
  3. Sub-Brow Lift
  4. Case Details No.00803

Case Details

No.00803/ID:283636

Sub-Brow Lift

Condition of the Area

  • eyelid heaviness
  • Droopy eyelids

Patient’s Request

  • #Lower Brow Incision
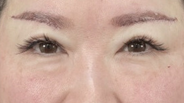
  • Before
    Preoperative Condition Part 1
  • Before
    Preoperative Condition Part 1
  • Before
    Preoperative Condition Part 1
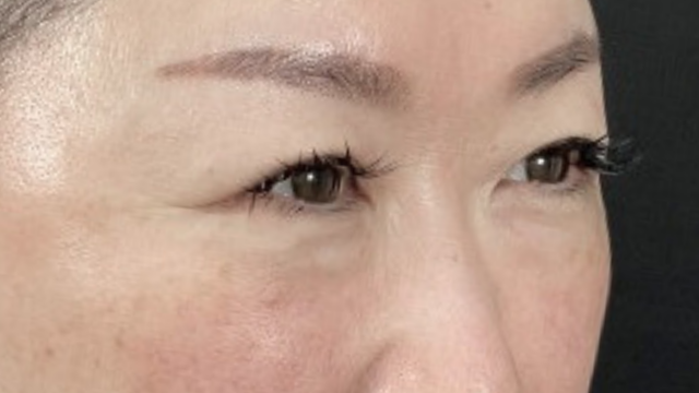
  • After
    Postoperative Condition Part 1
  • After
    Postoperative Condition Part 1
  • After
    Postoperative Condition Part 1
  • Procedure Name
    Lower Brow Incision + AND-Style Thread Lift Unlimited Plan (Executive) + Hyaluronic Acid
  • Procedure / Risks
    【Sub-Brow Lift】
    ▪︎Regular price / ¥346,500
    ▪︎Number of procedures / 1
    ▪︎Treatment details / This is a procedure to improve sagging eyelids by incising the excess skin just below the eyebrows.
    ▪︎Risks and side effects / Swelling, bruising, infection, asymmetry, scars, redness, and unintended wrinkles ※Private Medical Care

    【Thread Lift】
    ・Regular Price: ¥236,000〜¥597,600
    ・Number of procedures / 1
    ・Treatment Details: A procedure aimed at improving sagging in the cheeks and jawline.
    ・Risks & Side Effects: Swelling and pain lasting 2 days to 1 week, bruising lasting 1 to 2 weeks. ※private medical care

    【Hyaluronic Acid Injection】
    ・Regular Price: Allergan product / ¥77,000 per 1cc | Korean product / ¥38,500 per 1cc
    ・Number of treatments / 1 session
    ・Treatment Details: A procedure designed to reduce wrinkles, correct hollows, and improve facial contours.
    ・Risks & Side Effects: Pain, swelling, bruising, vascular obstruction, allergic reactions, infection, hardening, etc. ※private medical care
  • Doctor
    Hyun Lee

Post OP Progress

Before

  • Postoperative Condition Part 1
  • Postoperative Condition Part 1
  • Postoperative Condition Part 1

Right After surgery

  • Postoperative Condition Part 1
  • Postoperative Condition Part 1
  • Postoperative Condition Part 1

After 1 week (with NO makeup)

  • Postoperative Condition Part 1
  • Postoperative Condition Part 1
  • Postoperative Condition Part 1

After 1 month (with NO makeup)

  • Postoperative Condition Part 1
  • Postoperative Condition Part 1
  • Postoperative Condition Part 1

After 1 month (with makeup)

  • Postoperative Condition Part 1
  • Postoperative Condition Part 1
  • Postoperative Condition Part 1