1. Home
  2. Sagging above the eyes / Lower Brow Incision
  3. Sub-Brow Lift
  4. Case Details No.00390

Case Details

No.00390/ID:159649

Sub-Brow Lift

Condition of the Area

  • Hidden double eyelids
  • Menacing look in the eyes

Patient’s Request

  • #Lower Brow Incision
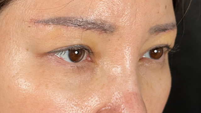
  • Before
    Preoperative Condition Part 1
  • Before
    Preoperative Condition Part 1
  • Before
    Preoperative Condition Part 1
  • After
    Postoperative Condition Part 1
  • After
    Postoperative Condition Part 1
  • After
    Postoperative Condition Part 1
  • Procedure Name
    6-Point Natural Adhesion Method
  • Procedure / Risks
    【Sub-Brow Lift】
    ▪︎Regular price / ¥346,500
    ▪︎Number of procedures / 1
    ▪︎Treatment details / This is a procedure to improve sagging eyelids by incising the excess skin just below the eyebrows.
    ▪︎Risks and side effects / Swelling, bruising, infection, asymmetry, scars, redness, and unintended wrinkles ※Private Medical Care
  • Doctor
    Koushoku Sai

Post OP Progress

Before

  • Postoperative Condition Part 1
  • Postoperative Condition Part 1
  • Postoperative Condition Part 1

Right After surgery

  • Postoperative Condition Part 1
  • Postoperative Condition Part 1
  • Postoperative Condition Part 1

After 1 week (with NO makeup)

  • Postoperative Condition Part 1
  • Postoperative Condition Part 1
  • Postoperative Condition Part 1