1. トップページヘ
  2. 目・二重 / 二重

二重

絞り込み検索

321~340件を表示:全346件

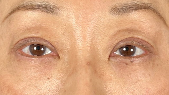
女性 40代

No.00108/ID:177950

患部の状態

  • 奥二重

本人のご要望

  • #くっきり二重
  • #6点自然癒着法
  • Before
    手術前の状態
  • Before
    手術前の状態
  • Before
    手術前の状態
  • After
    手術後の状態
  • After
    手術後の状態
  • After
    手術後の状態

施術内容・リスク

  • 施術内容・
    リスク
    【埋没法▪︎自然癒着法】
    ▪︎通常価格 / ¥14,800〜¥418,000
    ▪︎治療回数 / 1回
    ▪︎治療内容 / まぶたの数か所を専用の糸で固定することで、二重まぶたを形成する施術です。
    ▪︎リスク▪︎副作用について / 腫れ▪︎痛み▪︎内出血:2日〜2週間程度 ※自由診療

女性 20代

No.00107/ID:179972

患部の状態

  • 奥二重
  • 目つきが悪く見える

本人のご要望

  • #左右差を整えたい
  • #6点自然癒着法
  • Before
    手術前の状態
  • Before
    手術前の状態
  • Before
    手術前の状態
  • After
    手術後の状態
  • After
    手術後の状態
  • After
    手術後の状態

施術内容・リスク

  • 施術内容・
    リスク
    【埋没法▪︎自然癒着法】
    ▪︎通常価格 / ¥14,800〜¥418,000
    ▪︎治療回数 / 1回
    ▪︎治療内容 / まぶたの数か所を専用の糸で固定することで、二重まぶたを形成する施術です。
    ▪︎リスク▪︎副作用について / 腫れ▪︎痛み▪︎内出血:2日〜2週間程度 ※自由診療

女性 10代

No.00104/ID:105230

患部の状態

  • 末広型
  • 一重
  • 目つきが悪く見える

本人のご要望

  • #自然なデザイン
  • #末広型
  • #4点自然癒着法(トライアングル)
  • Before
    手術前の状態
  • Before
    手術前の状態
  • Before
    手術前の状態
  • After
    手術後の状態
  • After
    手術後の状態
  • After
    手術後の状態

施術内容・リスク

  • 施術内容・
    リスク
    【埋没法▪︎自然癒着法】
    ▪︎通常価格 / ¥14,800〜¥418,000
    ▪︎治療回数 / 1回
    ▪︎治療内容 / まぶたの数か所を専用の糸で固定することで、二重まぶたを形成する施術です。
    ▪︎リスク▪︎副作用について / 腫れ▪︎痛み▪︎内出血:2日〜2週間程度 ※自由診療

女性 20代

No.00103/ID:158864

患部の状態

  • 蒙古襞の張り
  • 瞼の重み

本人のご要望

  • #末広型
  • #6点自然癒着法
  • #目頭切開
  • Before
    手術前の状態
  • Before
    手術前の状態
  • Before
    手術前の状態
  • After
    手術後の状態
  • After
    手術後の状態
  • After
    手術後の状態

施術内容・リスク

  • 施術内容・
    リスク
    【埋没法▪︎自然癒着法】
    ▪︎通常価格 / ¥14,800〜¥418,000
    ▪︎治療回数 / 1回
    ▪︎治療内容 / まぶたの数か所を専用の糸で固定することで、二重まぶたを形成する施術です。
    ▪︎リスク▪︎副作用について / 腫れ▪︎痛み▪︎内出血:2日〜2週間程度 ※自由診療

    【上脱脂】
    ▪︎通常価格 / ¥150,000
    ▪︎治療回数 / 1回
    ▪︎治療内容 / 上まぶたの眼窩脂肪を減量する施術です。
    ▪︎リスク・副作用について / 痛みや熱感:1週間程度、内出血:1~2週間程度、傷口の赤味:3ヵ月程度 ※自由診療

    【目頭切開】
    ▪︎通常価格 / ¥275,000
    ▪︎治療回数 / 1回
    ▪︎治療内容 / 目頭を数ミリ切開して、蒙古襞をとることによって目の横幅を広げたり、左右の目のバランスを整えたりする施術です。
    ▪︎リスク▪︎副作用について / 腫れ▪︎痛み▪︎内出血▪︎傷跡▪︎赤み:3日〜3ヶ月程度 ※自由診療

女性 20代

No.00102/ID:160681

患部の状態

  • 一重
  • 目つきが悪く見える

本人のご要望

  • #自然なデザイン
  • #末広型
  • #4点自然癒着法(スクエア)
  • Before
    手術前の状態
  • Before
    手術前の状態
  • Before
    手術前の状態
  • After
    手術後の状態
  • After
    手術後の状態
  • After
    手術後の状態

施術内容・リスク

  • 施術内容・
    リスク
    【埋没法▪︎自然癒着法】
    ▪︎通常価格 / ¥14,800〜¥418,000
    ▪︎治療回数 / 1回
    ▪︎治療内容 / まぶたの数か所を専用の糸で固定することで、二重まぶたを形成する施術です。
    ▪︎リスク▪︎副作用について / 腫れ▪︎痛み▪︎内出血:2日〜2週間程度 ※自由診療

女性 20代

No.00101/ID:104987

患部の状態

  • 奥二重

本人のご要望

  • #左右差を整えたい
  • #末広型
  • #4点自然癒着法(スクエア)
  • Before
    手術前の状態
  • Before
    手術前の状態
  • Before
    手術前の状態
  • After
    手術後の状態
  • After
    手術後の状態
  • After
    手術後の状態

施術内容・リスク

  • 施術内容・
    リスク
    【埋没法▪︎自然癒着法】
    ▪︎通常価格 / ¥14,800〜¥418,000
    ▪︎治療回数 / 1回
    ▪︎治療内容 / まぶたの数か所を専用の糸で固定することで、二重まぶたを形成する施術です。
    ▪︎リスク▪︎副作用について / 腫れ▪︎痛み▪︎内出血:2日〜2週間程度 ※自由診療

女性 40代

No.00100/ID:169405

患部の状態

  • 瞼のたるみ
  • 奥二重

本人のご要望

  • #二重幅を広げたい
  • #6点自然癒着法
  • Before
    手術前の状態
  • Before
    手術前の状態
  • Before
    手術前の状態
  • After
    手術後の状態
  • After
    手術後の状態
  • After
    手術後の状態

施術内容・リスク

  • 施術内容・
    リスク
    【埋没法▪︎自然癒着法】
    ▪︎通常価格 / ¥14,800〜¥418,000
    ▪︎治療回数 / 1回
    ▪︎治療内容 / まぶたの数か所を専用の糸で固定することで、二重まぶたを形成する施術です。
    ▪︎リスク▪︎副作用について / 腫れ▪︎痛み▪︎内出血:2日〜2週間程度 ※自由診療

男性 10代

No.00096/ID:103930

患部の状態

  • 一重
  • 目つきが悪く見える

本人のご要望

  • #自然なデザイン
  • #末広型
  • #4点自然癒着法(トライアングル)
  • Before
    手術前の状態
  • Before
    手術前の状態
  • Before
    手術前の状態
  • After
    手術後の状態
  • After
    手術後の状態
  • After
    手術後の状態

施術内容・リスク

  • 施術内容・
    リスク
    【埋没法▪︎自然癒着法】
    ▪︎通常価格 / ¥14,800〜¥418,000
    ▪︎治療回数 / 1回
    ▪︎治療内容 / まぶたの数か所を専用の糸で固定することで、二重まぶたを形成する施術です。
    ▪︎リスク▪︎副作用について / 腫れ▪︎痛み▪︎内出血:2日〜2週間程度 ※自由診療

男性 40代

No.00095/ID:77909

患部の状態

  • 一重
  • 目つきが悪く見える

本人のご要望

  • #自然なデザイン
  • #奥二重
  • #4点自然癒着法(トライアングル)
  • Before
    手術前の状態
  • Before
    手術前の状態
  • Before
    手術前の状態
  • After
    手術後の状態
  • After
    手術後の状態
  • After
    手術後の状態

施術内容・リスク

  • 施術内容・
    リスク
    【埋没法▪︎自然癒着法】
    ▪︎通常価格 / ¥14,800〜¥418,000
    ▪︎治療回数 / 1回
    ▪︎治療内容 / まぶたの数か所を専用の糸で固定することで、二重まぶたを形成する施術です。
    ▪︎リスク▪︎副作用について / 腫れ▪︎痛み▪︎内出血:2日〜2週間程度 ※自由診療

女性 20代

No.00094/ID:94722

患部の状態

  • 左右差あり
  • 三重

本人のご要望

  • #左右差を整えたい
  • #平行型
  • #4点自然癒着法(トライアングル)
  • Before
    手術前の状態
  • Before
    手術前の状態
  • Before
    手術前の状態
  • After
    手術後の状態
  • After
    手術後の状態
  • After
    手術後の状態

施術内容・リスク

  • 施術内容・
    リスク
    【埋没法▪︎自然癒着法】
    ▪︎通常価格 / ¥14,800〜¥418,000
    ▪︎治療回数 / 1回
    ▪︎治療内容 / まぶたの数か所を専用の糸で固定することで、二重まぶたを形成する施術です。
    ▪︎リスク▪︎副作用について / 腫れ▪︎痛み▪︎内出血:2日〜2週間程度 ※自由診療

女性 10代

No.00093/ID:160620

患部の状態

  • 一重

本人のご要望

  • #末広型
  • Before
    手術前の状態
  • Before
    手術前の状態
  • Before
    手術前の状態
  • After
    手術後の状態
  • After
    手術後の状態
  • After
    手術後の状態

施術内容・リスク

  • 施術内容・
    リスク
    腫れ・痛み・内出血:2日〜2週間程度

女性 20代

No.00091/ID:160055

患部の状態

  • 瞼の重み
  • 奥二重

本人のご要望

  • #二重幅を広げたい
  • #平行型
  • #4点自然癒着法(スクエア)
  • Before
    手術前の状態
  • Before
    手術前の状態
  • Before
    手術前の状態
  • After
    手術後の状態
  • After
    手術後の状態
  • After
    手術後の状態

施術内容・リスク

  • 施術内容・
    リスク
    【埋没法▪︎自然癒着法】
    ▪︎通常価格 / ¥14,800〜¥418,000
    ▪︎治療回数 / 1回
    ▪︎治療内容 / まぶたの数か所を専用の糸で固定することで、二重まぶたを形成する施術です。
    ▪︎リスク▪︎副作用について / 腫れ▪︎痛み▪︎内出血:2日〜2週間程度 ※自由診療

女性 30代

No.00032/ID:68787

患部の状態

  • 左右差あり
  • 不安定二重

本人のご要望

  • #まつ毛の生え際を見せたい
  • #目頭切開
  • Before
    手術前の状態
  • Before
    手術前の状態
  • Before
    手術前の状態
  • After
    手術後の状態
  • After
    手術後の状態
  • After
    手術後の状態

施術内容・リスク

  • 施術内容・
    リスク
    【グラマラスライン】痛み・違和感・腫れ・傷跡・後戻りなどが生じることがある。【目頭切開】腫れ・痛み・内出血・傷跡・赤み:3日〜3ヶ月程度 

女性 20代

No.00021/ID:150886

患部の状態

  • 一重

本人のご要望

  • #平行型
  • #全切開
  • Before
    手術前の状態
  • Before
    手術前の状態
  • Before
    手術前の状態
  • After
    手術後の状態
  • After
    手術後の状態
  • After
    手術後の状態

施術内容・リスク

  • 施術内容・
    リスク
    【二重切開法】
    ▪︎通常価格 / ¥217,800〜¥327,800
    ▪︎治療回数 / 1回
    ▪︎治療内容 / 希望の二重ラインに合わせて皮膚を切開して挙筋腱膜と皮下組織を縫合し、半永久的な二重幅を形成する施術です。
    ▪︎リスク▪︎副作用について / 腫れ▪︎合併症▪︎皮下出血▪︎血腫▪︎目の違和感▪︎感染▪︎疼痛▪︎肥厚性瘢痕▪︎ケロイドなど ※自由診療

女性 30代

No.00020/ID:108325

患部の状態

  • 埋没経験あり
  • 一重

本人のご要望

  • #まつ毛の生え際を見せたい
  • #末広型
  • Before
    手術前の状態
  • Before
    手術前の状態
  • Before
    手術前の状態
  • After
    手術後の状態
  • After
    手術後の状態
  • After
    手術後の状態

施術内容・リスク

  • 施術内容・
    リスク
    【二重切開法】
    ▪︎通常価格 / ¥217,800〜¥327,800
    ▪︎治療回数 / 1回
    ▪︎治療内容 / 希望の二重ラインに合わせて皮膚を切開して挙筋腱膜と皮下組織を縫合し、半永久的な二重幅を形成する施術です。
    ▪︎リスク▪︎副作用について / 腫れ▪︎合併症▪︎皮下出血▪︎血腫▪︎目の違和感▪︎感染▪︎疼痛▪︎肥厚性瘢痕▪︎ケロイドなど ※自由診療

    【ハムラ法】
    ▪︎通常価格 / ¥500,000
    ▪︎治療回数 / 1回
    ▪︎治療内容 / 余分な眼窩脂肪を除去するだけではなく、加齢などでくぼんでしまった部分に脂肪を移動させることにより、目の下の膨らみを解消すると同時にくぼみも解消し、自然でなめらかな質感にする施術です。
    ▪︎リスク・副作用について / 痛み・熱感:1週間程度 、 傷口の赤味:3か月程度 ※自由診療

女性 20代

No.00017/ID:76448

患部の状態

  • 埋没経験あり
  • 一重

本人のご要望

  • #まつ毛の生え際を見せたい
  • #末広型
  • Before
    手術前の状態
  • Before
    手術前の状態
  • Before
    手術前の状態
  • After
    手術後の状態
  • After
    手術後の状態
  • After
    手術後の状態

施術内容・リスク

  • 施術内容・
    リスク
    【二重切開法】
    ▪︎通常価格 / ¥217,800〜¥327,800
    ▪︎治療回数 / 1回
    ▪︎治療内容 / 希望の二重ラインに合わせて皮膚を切開して挙筋腱膜と皮下組織を縫合し、半永久的な二重幅を形成する施術です。
    ▪︎リスク▪︎副作用について / 腫れ▪︎合併症▪︎皮下出血▪︎血腫▪︎目の違和感▪︎感染▪︎疼痛▪︎肥厚性瘢痕▪︎ケロイドなど ※自由診療

女性 50代

No.00015/ID:76793

患部の状態

  • 重め瞼
  • 奥二重

本人のご要望

  • #6点自然癒着法
  • Before
    手術前の状態
  • Before
    手術前の状態
  • Before
    手術前の状態
  • After
    手術後の状態
  • After
    手術後の状態
  • After
    手術後の状態

施術内容・リスク

  • 施術内容・
    リスク
    【埋没法▪︎自然癒着法】
    ▪︎通常価格 / ¥14,800〜¥418,000
    ▪︎治療回数 / 1回
    ▪︎治療内容 / まぶたの数か所を専用の糸で固定することで、二重まぶたを形成する施術です。
    ▪︎リスク▪︎副作用について / 腫れ▪︎痛み▪︎内出血:2日〜2週間程度 ※自由診療

女性 20代

No.00014/ID:79691

患部の状態

  • アイテープ歴~10年
  • 末広型
  • 三重

本人のご要望

  • #末広型
  • #6点自然癒着法
  • Before
    手術前の状態
  • Before
    手術前の状態
  • Before
    手術前の状態
  • After
    手術後の状態
  • After
    手術後の状態
  • After
    手術後の状態

施術内容・リスク

  • 施術内容・
    リスク
    【埋没法▪︎自然癒着法】
    ▪︎通常価格 / ¥14,800〜¥418,000
    ▪︎治療回数 / 1回
    ▪︎治療内容 / まぶたの数か所を専用の糸で固定することで、二重まぶたを形成する施術です。
    ▪︎リスク▪︎副作用について / 腫れ▪︎痛み▪︎内出血:2日〜2週間程度 ※自由診療

女性 20代

No.00012/ID:118212

患部の状態

  • 左右差あり

本人のご要望

  • #MIX型
  • #平行型
  • #6点自然癒着法
  • #上脱脂
  • Before
    手術前の状態
  • Before
    手術前の状態
  • Before
    手術前の状態
  • After
    手術後の状態
  • After
    手術後の状態
  • After
    手術後の状態

施術内容・リスク

  • 施術内容・
    リスク
    腫れ・痛み・内出血:2日〜2週間程度

女性 20代

No.00011/ID:123846

患部の状態

  • 一重

本人のご要望

  • #平行型
  • #6点自然癒着法
  • Before
    手術前の状態
  • Before
    手術前の状態
  • Before
    手術前の状態
  • After
    手術後の状態
  • After
    手術後の状態
  • After
    手術後の状態

施術内容・リスク

  • 施術内容・
    リスク
    【埋没法▪︎自然癒着法】
    ▪︎通常価格 / ¥14,800〜¥418,000
    ▪︎治療回数 / 1回
    ▪︎治療内容 / まぶたの数か所を専用の糸で固定することで、二重まぶたを形成する施術です。
    ▪︎リスク▪︎副作用について / 腫れ▪︎痛み▪︎内出血:2日〜2週間程度 ※自由診療