1. トップページヘ
  2. 目・二重 / 二重
  3. 自然癒着法・埋没法
  4. 症例詳細No.00012

症例詳細

No.00012/ID:118212

二重(埋没・自然癒着法・切開法)

患部の状態

  • 左右差あり

本人のご要望

  • #MIX型
  • #平行型
  • #6点自然癒着法
  • #上脱脂
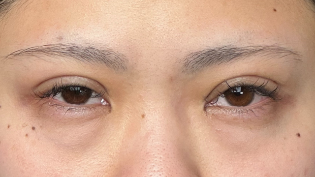
  • Before
    手術前の状態
  • Before
    手術前の状態
  • Before
    手術前の状態
  • After
    手術後の状態
  • After
    手術後の状態
  • After
    手術後の状態
  • 施術名
    自然癒着法6点留め+上脱脂
  • 施術内容・
    リスク
    腫れ・痛み・内出血:2日〜2週間程度
  • ドクター
    青柳

術後経過

施術前

  • 手術前の状態 その1
  • 手術前の状態 その1
  • 手術前の状態 その1

施術直後

  • 手術前の状態 その1
  • 手術前の状態 その1
  • 手術前の状態 その1

施術1週間後・メイクなし

  • 手術前の状態 その1
  • 手術前の状態 その1
  • 手術前の状態 その1

施術1週間後・メイクあり

  • 手術前の状態 その1
  • 手術前の状態 その1
  • 手術前の状態 その1

施術1ヶ月後・メイクなし

  • 手術前の状態 その1
  • 手術前の状態 その1
  • 手術前の状態 その1

施術1ヶ月後・メイクあり

  • 手術前の状態 その1
  • 手術前の状態 その1
  • 手術前の状態 その1