1. 首页
  2. 眼部・双眼皮 / 双眼皮

双眼皮

筛选搜索

显示 241~260 项:全部 336 项

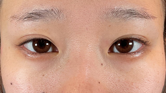
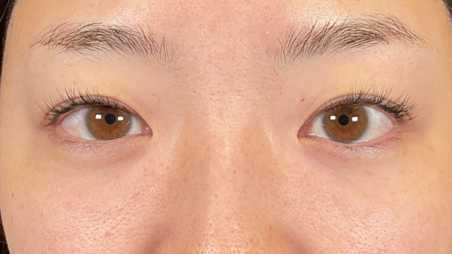
女士 20多岁

No.00218/ID:72527

患部状态

  • 厚重的眼皮
  • 眼睛看起来又小又薄

本人要求

  • #自然设计
  • #四点无痕双眼皮埋线法(方形法)
  • Before
    手术前的状态 其一
  • Before
    手术前的状态 其一
  • Before
    手术前的状态 其一
  • After
    手术后的状态 其一
  • After
    手术后的状态 其一
  • After
    手术后的状态 其一

治疗内容・风险

  • 治疗内容・
    风险
    【掩埋法/自然粘附法】
    ▪︎通常价格 / ¥14,800〜¥418,000
    ▪︎治疗次数 / 1
    ▪︎治疗内容 / 这是通过特殊线固定眼睑的多个部分来形成双眼皮的手术。
    ▪︎风险和副作用 / 肿胀、疼痛、内出血:约 2 天至 2 周 *免费治疗 ※自费医疗

女士 20多岁

No.00217/ID:73281

患部状态

  • 内双眼
  • 眼神看起来很凶

本人要求

  • #自然设计
  • #四点无痕双眼皮埋线法(方形法)
  • Before
    手术前的状态 其一
  • Before
    手术前的状态 其一
  • Before
    手术前的状态 其一
  • After
    手术后的状态 其一
  • After
    手术后的状态 其一
  • After
    手术后的状态 其一

治疗内容・风险

  • 治疗内容・
    风险
    【掩埋法/自然粘附法】
    ▪︎通常价格 / ¥14,800〜¥418,000
    ▪︎治疗次数 / 1
    ▪︎治疗内容 / 这是通过特殊线固定眼睑的多个部分来形成双眼皮的手术。
    ▪︎风险和副作用 / 肿胀、疼痛、内出血:约 2 天至 2 周 *免费治疗 ※自费医疗

女士 20多岁

No.00216/ID:63102

患部状态

  • 厚重的眼皮
  • 眼睛看起来又小又薄

本人要求

  • #希望调整双眼皮的宽度
  • #六点无痕双眼皮埋线法
  • Before
    手术前的状态 其一
  • Before
    手术前的状态 其一
  • Before
    手术前的状态 其一
  • After
    手术后的状态 其一
  • After
    手术后的状态 其一
  • After
    手术后的状态 其一

治疗内容・风险

  • 治疗内容・
    风险
    【掩埋法/自然粘附法】
    ▪︎通常价格 / ¥14,800〜¥418,000
    ▪︎治疗次数 / 1
    ▪︎治疗内容 / 这是通过特殊线固定眼睑的多个部分来形成双眼皮的手术。
    ▪︎风险和副作用 / 肿胀、疼痛、内出血:约 2 天至 2 周 *免费治疗 ※自费医疗

女士 20多岁

No.00215/ID:61439

患部状态

  • 厚重的眼皮
  • 眼睛看起来又小又薄

本人要求

  • #想展示睫毛根部
  • #六点无痕双眼皮埋线法
  • Before
    手术前的状态 其一
  • Before
    手术前的状态 其一
  • Before
    手术前的状态 其一
  • After
    手术后的状态 其一
  • After
    手术后的状态 其一
  • After
    手术后的状态 其一

治疗内容・风险

  • 治疗内容・
    风险
    【掩埋法/自然粘附法】
    ▪︎通常价格 / ¥14,800〜¥418,000
    ▪︎治疗次数 / 1
    ▪︎治疗内容 / 这是通过特殊线固定眼睑的多个部分来形成双眼皮的手术。
    ▪︎风险和副作用 / 肿胀、疼痛、内出血:约 2 天至 2 周 *免费治疗 ※自费医疗

女士 20多岁

No.00214/ID:63997

患部状态

  • 厚重的眼皮
  • 眼睛看起来又小又薄

本人要求

  • #自然设计
  • #四点无痕双眼皮埋线法(方形法)
  • Before
    手术前的状态 其一
  • Before
    手术前的状态 其一
  • Before
    手术前的状态 其一
  • After
    手术后的状态 其一
  • After
    手术后的状态 其一
  • After
    手术后的状态 其一

治疗内容・风险

  • 治疗内容・
    风险
    【掩埋法/自然粘附法】
    ▪︎通常价格 / ¥14,800〜¥418,000
    ▪︎治疗次数 / 1
    ▪︎治疗内容 / 这是通过特殊线固定眼睑的多个部分来形成双眼皮的手术。
    ▪︎风险和副作用 / 肿胀、疼痛、内出血:约 2 天至 2 周 *免费治疗 ※自费医疗

女士 20多岁

No.00213/ID:67173

患部状态

  • 内双眼
  • 眼神看起来很凶

本人要求

  • #希望调整双眼皮的宽度
  • #六点无痕双眼皮埋线法
  • Before
    手术前的状态 其一
  • Before
    手术前的状态 其一
  • Before
    手术前的状态 其一
  • After
    手术后的状态 其一
  • After
    手术后的状态 其一
  • After
    手术后的状态 其一

治疗内容・风险

  • 治疗内容・
    风险
    【掩埋法/自然粘附法】
    ▪︎通常价格 / ¥14,800〜¥418,000
    ▪︎治疗次数 / 1
    ▪︎治疗内容 / 这是通过特殊线固定眼睑的多个部分来形成双眼皮的手术。
    ▪︎风险和副作用 / 肿胀、疼痛、内出血:约 2 天至 2 周 *免费治疗 ※自费医疗

女士 10 的

No.00212/ID:72870

患部状态

  • 内双眼
  • 眼神看起来很凶

本人要求

  • #自然设计
  • #四点无痕双眼皮埋线法(方形法)
  • Before
    手术前的状态 其一
  • Before
    手术前的状态 其一
  • Before
    手术前的状态 其一
  • After
    手术后的状态 其一
  • After
    手术后的状态 其一
  • After
    手术后的状态 其一

治疗内容・风险

  • 治疗内容・
    风险
    【掩埋法/自然粘附法】
    ▪︎通常价格 / ¥14,800〜¥418,000
    ▪︎治疗次数 / 1
    ▪︎治疗内容 / 这是通过特殊线固定眼睑的多个部分来形成双眼皮的手术。
    ▪︎风险和副作用 / 肿胀、疼痛、内出血:约 2 天至 2 周 *免费治疗 ※自费医疗

女士 20多岁

No.00211/ID:65390

患部状态

  • 眼睑沉重
  • 眼睑松弛

本人要求

  • #外开型
  • #六点无痕双眼皮埋线法
  • Before
    手术前的状态 其一
  • Before
    手术前的状态 其一
  • Before
    手术前的状态 其一
  • After
    手术后的状态 其一
  • After
    手术后的状态 其一
  • After
    手术后的状态 其一

治疗内容・风险

  • 治疗内容・
    风险
    【掩埋法/自然粘附法】
    ▪︎通常价格 / ¥14,800〜¥418,000
    ▪︎治疗次数 / 1
    ▪︎治疗内容 / 这是通过特殊线固定眼睑的多个部分来形成双眼皮的手术。
    ▪︎风险和副作用 / 肿胀、疼痛、内出血:约 2 天至 2 周 *免费治疗 ※自费医疗

女士 20多岁

No.00210/ID:63998

患部状态

  • 厚重的眼皮
  • 眼睛看起来又小又薄

本人要求

  • #希望调整双眼皮的宽度
  • #六点无痕双眼皮埋线法
  • Before
    手术前的状态 其一
  • Before
    手术前的状态 其一
  • Before
    手术前的状态 其一
  • After
    手术后的状态 其一
  • After
    手术后的状态 其一
  • After
    手术后的状态 其一

治疗内容・风险

  • 治疗内容・
    风险
    【掩埋法/自然粘附法】
    ▪︎通常价格 / ¥14,800〜¥418,000
    ▪︎治疗次数 / 1
    ▪︎治疗内容 / 这是通过特殊线固定眼睑的多个部分来形成双眼皮的手术。
    ▪︎风险和副作用 / 肿胀、疼痛、内出血:约 2 天至 2 周 *免费治疗 ※自费医疗

女士 20多岁

No.00209/ID:70755

患部状态

  • 内双眼
  • 眼神看起来很凶

本人要求

  • #外开型
  • #六点无痕双眼皮埋线法
  • Before
    手术前的状态 其一
  • Before
    手术前的状态 其一
  • Before
    手术前的状态 其一
  • After
    手术后的状态 其一
  • After
    手术后的状态 其一
  • After
    手术后的状态 其一

治疗内容・风险

  • 治疗内容・
    风险
    【掩埋法/自然粘附法】
    ▪︎通常价格 / ¥14,800〜¥418,000
    ▪︎治疗次数 / 1
    ▪︎治疗内容 / 这是通过特殊线固定眼睑的多个部分来形成双眼皮的手术。
    ▪︎风险和副作用 / 肿胀、疼痛、内出血:约 2 天至 2 周 *免费治疗 ※自费医疗

女士 20多岁

No.00208/ID:69378

患部状态

  • 厚重的眼皮
  • 眼睛看起来又小又薄

本人要求

  • #希望调整左右不对称
  • #四点无痕双眼皮埋线法(方形法)
  • Before
    手术前的状态 其一
  • Before
    手术前的状态 其一
  • Before
    手术前的状态 其一
  • After
    手术后的状态 其一
  • After
    手术后的状态 其一
  • After
    手术后的状态 其一

治疗内容・风险

  • 治疗内容・
    风险
    【掩埋法/自然粘附法】
    ▪︎通常价格 / ¥14,800〜¥418,000
    ▪︎治疗次数 / 1
    ▪︎治疗内容 / 这是通过特殊线固定眼睑的多个部分来形成双眼皮的手术。
    ▪︎风险和副作用 / 肿胀、疼痛、内出血:约 2 天至 2 周 *免费治疗 ※自费医疗

女士 20多岁

No.00207/ID:66952

患部状态

  • 内双眼
  • 眼神看起来很凶

本人要求

  • #外开型
  • #六点无痕双眼皮埋线法
  • Before
    手术前的状态 其一
  • Before
    手术前的状态 其一
  • Before
    手术前的状态 其一
  • After
    手术后的状态 其一
  • After
    手术后的状态 其一
  • After
    手术后的状态 其一

治疗内容・风险

  • 治疗内容・
    风险
    【掩埋法/自然粘附法】
    ▪︎通常价格 / ¥14,800〜¥418,000
    ▪︎治疗次数 / 1
    ▪︎治疗内容 / 这是通过特殊线固定眼睑的多个部分来形成双眼皮的手术。
    ▪︎风险和副作用 / 肿胀、疼痛、内出血:约 2 天至 2 周 *免费治疗 ※自费医疗

女士 20多岁

No.00206/ID:68641

患部状态

  • 厚重的眼皮
  • 眼睛看起来又小又薄

本人要求

  • #希望调整双眼皮的宽度
  • #六点无痕双眼皮埋线法
  • Before
    手术前的状态 其一
  • Before
    手术前的状态 其一
  • Before
    手术前的状态 其一
  • After
    手术后的状态 其一
  • After
    手术后的状态 其一
  • After
    手术后的状态 其一

治疗内容・风险

  • 治疗内容・
    风险
    【掩埋法/自然粘附法】
    ▪︎通常价格 / ¥14,800〜¥418,000
    ▪︎治疗次数 / 1
    ▪︎治疗内容 / 这是通过特殊线固定眼睑的多个部分来形成双眼皮的手术。
    ▪︎风险和副作用 / 肿胀、疼痛、内出血:约 2 天至 2 周 *免费治疗 ※自费医疗

女士 20多岁

No.00205/ID:72561

患部状态

  • 内双眼
  • 眼神看起来很凶

本人要求

  • #自然设计
  • #四点无痕双眼皮埋线法(方形法)
  • Before
    手术前的状态 其一
  • Before
    手术前的状态 其一
  • Before
    手术前的状态 其一
  • After
    手术后的状态 其一
  • After
    手术后的状态 其一
  • After
    手术后的状态 其一

治疗内容・风险

  • 治疗内容・
    风险
    【掩埋法/自然粘附法】
    ▪︎通常价格 / ¥14,800〜¥418,000
    ▪︎治疗次数 / 1
    ▪︎治疗内容 / 这是通过特殊线固定眼睑的多个部分来形成双眼皮的手术。
    ▪︎风险和副作用 / 肿胀、疼痛、内出血:约 2 天至 2 周 *免费治疗 ※自费医疗

女士 30多岁

No.00204/ID:61748

患部状态

  • 眼睑沉重
  • 眼睑松弛

本人要求

  • #外开型
  • #六点无痕双眼皮埋线法
  • Before
    手术前的状态 其一
  • Before
    手术前的状态 其一
  • Before
    手术前的状态 其一
  • After
    手术后的状态 其一
  • After
    手术后的状态 其一
  • After
    手术后的状态 其一

治疗内容・风险

  • 治疗内容・
    风险
    【掩埋法/自然粘附法】
    ▪︎通常价格 / ¥14,800〜¥418,000
    ▪︎治疗次数 / 1
    ▪︎治疗内容 / 这是通过特殊线固定眼睑的多个部分来形成双眼皮的手术。
    ▪︎风险和副作用 / 肿胀、疼痛、内出血:约 2 天至 2 周 *免费治疗 ※自费医疗

女士 20多岁

No.00203/ID:66524

患部状态

  • 眼睑沉重
  • 眼睑松弛

本人要求

  • #希望调整双眼皮的宽度
  • #六点无痕双眼皮埋线法
  • Before
    手术前的状态 其一
  • Before
    手术前的状态 其一
  • Before
    手术前的状态 其一
  • After
    手术后的状态 其一
  • After
    手术后的状态 其一
  • After
    手术后的状态 其一

治疗内容・风险

  • 治疗内容・
    风险
    【掩埋法/自然粘附法】
    ▪︎通常价格 / ¥14,800〜¥418,000
    ▪︎治疗次数 / 1
    ▪︎治疗内容 / 这是通过特殊线固定眼睑的多个部分来形成双眼皮的手术。
    ▪︎风险和副作用 / 肿胀、疼痛、内出血:约 2 天至 2 周 *免费治疗 ※自费医疗

女士 20多岁

No.00202/ID:59279

患部状态

  • 厚重的眼皮
  • 眼睛看起来又小又薄

本人要求

  • #希望调整双眼皮的宽度
  • #六点无痕双眼皮埋线法
  • Before
    手术前的状态 其一
  • Before
    手术前的状态 其一
  • Before
    手术前的状态 其一
  • After
    手术后的状态 其一
  • After
    手术后的状态 其一
  • After
    手术后的状态 其一

治疗内容・风险

  • 治疗内容・
    风险
    【掩埋法/自然粘附法】
    ▪︎通常价格 / ¥14,800〜¥418,000
    ▪︎治疗次数 / 1
    ▪︎治疗内容 / 这是通过特殊线固定眼睑的多个部分来形成双眼皮的手术。
    ▪︎风险和副作用 / 肿胀、疼痛、内出血:约 2 天至 2 周 *免费治疗 ※自费医疗

女士 30多岁

No.00201/ID:69117

患部状态

  • 内双眼
  • 眼神看起来很凶

本人要求

  • #想展示睫毛根部
  • #六点无痕双眼皮埋线法
  • Before
    手术前的状态 其一
  • Before
    手术前的状态 其一
  • Before
    手术前的状态 其一
  • After
    手术后的状态 其一
  • After
    手术后的状态 其一
  • After
    手术后的状态 其一

治疗内容・风险

  • 治疗内容・
    风险
    【掩埋法/自然粘附法】
    ▪︎通常价格 / ¥14,800〜¥418,000
    ▪︎治疗次数 / 1
    ▪︎治疗内容 / 这是通过特殊线固定眼睑的多个部分来形成双眼皮的手术。
    ▪︎风险和副作用 / 肿胀、疼痛、内出血:约 2 天至 2 周 *免费治疗 ※自费医疗

女士 10 的

No.00200/ID:72514

患部状态

  • 厚重的眼皮
  • 眼睛看起来又小又薄

本人要求

  • #想展示睫毛根部
  • #四点无痕双眼皮埋线法(三角法)
  • Before
    手术前的状态 其一
  • Before
    手术前的状态 其一
  • Before
    手术前的状态 其一
  • After
    手术后的状态 其一
  • After
    手术后的状态 其一
  • After
    手术后的状态 其一

治疗内容・风险

  • 治疗内容・
    风险
    【掩埋法/自然粘附法】
    ▪︎通常价格 / ¥14,800〜¥418,000
    ▪︎治疗次数 / 1
    ▪︎治疗内容 / 这是通过特殊线固定眼睑的多个部分来形成双眼皮的手术。
    ▪︎风险和副作用 / 肿胀、疼痛、内出血:约 2 天至 2 周 *免费治疗 ※自费医疗

女士 10 的

No.00199/ID:61979

患部状态

  • 内双眼
  • 眼神看起来很凶

本人要求

  • #希望调整左右不对称
  • #四点无痕双眼皮埋线法(方形法)
  • Before
    手术前的状态 其一
  • Before
    手术前的状态 其一
  • Before
    手术前的状态 其一
  • After
    手术后的状态 其一
  • After
    手术后的状态 其一
  • After
    手术后的状态 其一

治疗内容・风险

  • 治疗内容・
    风险
    【掩埋法/自然粘附法】
    ▪︎通常价格 / ¥14,800〜¥418,000
    ▪︎治疗次数 / 1
    ▪︎治疗内容 / 这是通过特殊线固定眼睑的多个部分来形成双眼皮的手术。
    ▪︎风险和副作用 / 肿胀、疼痛、内出血:约 2 天至 2 周 *免费治疗 ※自费医疗