1. 首页
  2. 眼部・双眼皮 / 双眼皮

双眼皮

筛选搜索

显示 161~180 项:全部 336 项

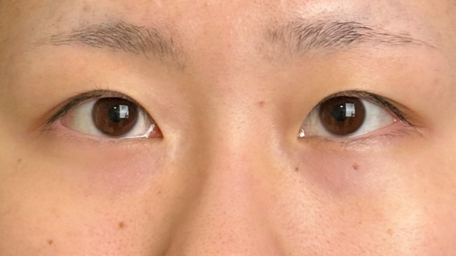
女士 20多岁

No.00398/ID:164583

患部状态

  • 厚重的眼皮
  • 眼睛看起来又小又薄

本人要求

  • #切开法双眼皮
  • Before
    手术前的状态 其一
  • Before
    手术前的状态 其一
  • Before
    手术前的状态 其一
  • After
    手术后的状态 其一
  • After
    手术后的状态 其一
  • After
    手术后的状态 其一

治疗内容・风险

  • 治疗内容・
    风险
    【双眼皮切开法】
    ▪︎通常价格 / ¥217,800〜¥327,800
    ▪︎治疗次数 / 1
    ▪︎治疗内容 / 这是一种通过沿着所需的双线在皮肤上切开切口并缝合提肌腱膜和皮下组织来创建半永久性双宽度的手术。
    ▪︎风险和副作用 / 肿胀、并发症、皮下出血、血肿、眼睛不适、感染、疼痛、增生性疤痕、疤痕疙瘩等。 ※自费医疗

女士 30多岁

No.00396/ID:185514

患部状态

  • 内双眼
  • 眼神看起来很凶

本人要求

  • #希望调整左右不对称
  • #四点无痕双眼皮埋线法(方形法)
  • Before
    手术前的状态 其一
  • Before
    手术前的状态 其一
  • Before
    手术前的状态 其一
  • After
    手术后的状态 其一
  • After
    手术后的状态 其一
  • After
    手术后的状态 其一

治疗内容・风险

  • 治疗内容・
    风险
    【掩埋法/自然粘附法】
    ▪︎通常价格 / ¥14,800〜¥418,000
    ▪︎治疗次数 / 1
    ▪︎治疗内容 / 这是通过特殊线固定眼睑的多个部分来形成双眼皮的手术。
    ▪︎风险和副作用 / 肿胀、疼痛、内出血:约 2 天至 2 周 *免费治疗 ※自费医疗

女士 20多岁

No.00395/ID:164050

患部状态

  • 厚重的眼皮
  • 眼睛看起来又小又薄

本人要求

  • #希望调整左右不对称
  • #四点无痕双眼皮埋线法(方形法)
  • Before
    手术前的状态 其一
  • Before
    手术前的状态 其一
  • Before
    手术前的状态 其一
  • After
    手术后的状态 其一
  • After
    手术后的状态 其一
  • After
    手术后的状态 其一

治疗内容・风险

  • 治疗内容・
    风险
    【掩埋法/自然粘附法】
    ▪︎通常价格 / ¥14,800〜¥418,000
    ▪︎治疗次数 / 1
    ▪︎治疗内容 / 这是通过特殊线固定眼睑的多个部分来形成双眼皮的手术。
    ▪︎风险和副作用 / 肿胀、疼痛、内出血:约 2 天至 2 周 *免费治疗 ※自费医疗

女士 20多岁

No.00391/ID:185262

患部状态

  • 内双眼
  • 眼神看起来很凶

本人要求

  • #希望调整双眼皮的宽度
  • #六点无痕双眼皮埋线法
  • Before
    手术前的状态 其一
  • Before
    手术前的状态 其一
  • Before
    手术前的状态 其一
  • After
    手术后的状态 其一
  • After
    手术后的状态 其一
  • After
    手术后的状态 其一

治疗内容・风险

  • 治疗内容・
    风险
    【掩埋法/自然粘附法】
    ▪︎通常价格 / ¥14,800〜¥418,000
    ▪︎治疗次数 / 1
    ▪︎治疗内容 / 这是通过特殊线固定眼睑的多个部分来形成双眼皮的手术。
    ▪︎风险和副作用 / 肿胀、疼痛、内出血:约 2 天至 2 周 *免费治疗 ※自费医疗

男人 30多岁

No.00389/ID:176057

患部状态

  • 厚重的眼皮
  • 眼睛看起来又小又薄

本人要求

  • #切开法双眼皮
  • Before
    手术前的状态 其一
  • Before
    手术前的状态 其一
  • Before
    手术前的状态 其一
  • After
    手术后的状态 其一
  • After
    手术后的状态 其一
  • After
    手术后的状态 其一

治疗内容・风险

  • 治疗内容・
    风险
    【双眼皮切开法】
    ▪︎通常价格 / ¥217,800〜¥327,800
    ▪︎治疗次数 / 1
    ▪︎治疗内容 / 这是一种通过沿着所需的双线在皮肤上切开切口并缝合提肌腱膜和皮下组织来创建半永久性双宽度的手术。
    ▪︎风险和副作用 / 肿胀、并发症、皮下出血、血肿、眼睛不适、感染、疼痛、增生性疤痕、疤痕疙瘩等。 ※自费医疗

女士 20多岁

No.00388/ID:184315

患部状态

  • 内双眼
  • 眼神看起来很凶

本人要求

  • #希望调整左右不对称
  • #四点无痕双眼皮埋线法(方形法)
  • Before
    手术前的状态 其一
  • Before
    手术前的状态 其一
  • Before
    手术前的状态 其一
  • After
    手术后的状态 其一
  • After
    手术后的状态 其一
  • After
    手术后的状态 其一

治疗内容・风险

  • 治疗内容・
    风险
    【掩埋法/自然粘附法】
    ▪︎通常价格 / ¥14,800〜¥418,000
    ▪︎治疗次数 / 1
    ▪︎治疗内容 / 这是通过特殊线固定眼睑的多个部分来形成双眼皮的手术。
    ▪︎风险和副作用 / 肿胀、疼痛、内出血:约 2 天至 2 周 *免费治疗 ※自费医疗

女士 20多岁

No.00387/ID:182318

患部状态

  • 厚重的眼皮
  • 眼睛看起来又小又薄

本人要求

  • #希望调整左右不对称
  • #四点无痕双眼皮埋线法(方形法)
  • Before
    手术前的状态 其一
  • Before
    手术前的状态 其一
  • Before
    手术前的状态 其一
  • After
    手术后的状态 其一
  • After
    手术后的状态 其一
  • After
    手术后的状态 其一

治疗内容・风险

  • 治疗内容・
    风险
    【掩埋法/自然粘附法】
    ▪︎通常价格 / ¥14,800〜¥418,000
    ▪︎治疗次数 / 1
    ▪︎治疗内容 / 这是通过特殊线固定眼睑的多个部分来形成双眼皮的手术。
    ▪︎风险和副作用 / 肿胀、疼痛、内出血:约 2 天至 2 周 *免费治疗 ※自费医疗

女士 10 的

No.00386/ID:175721

患部状态

  • 眼睑沉重
  • 眼睑松弛

本人要求

  • #希望调整双眼皮的宽度
  • #六点无痕双眼皮埋线法
  • Before
    手术前的状态 其一
  • Before
    手术前的状态 其一
  • Before
    手术前的状态 其一
  • After
    手术后的状态 其一
  • After
    手术后的状态 其一
  • After
    手术后的状态 其一

治疗内容・风险

  • 治疗内容・
    风险
    【掩埋法/自然粘附法】
    ▪︎通常价格 / ¥14,800〜¥418,000
    ▪︎治疗次数 / 1
    ▪︎治疗内容 / 这是通过特殊线固定眼睑的多个部分来形成双眼皮的手术。
    ▪︎风险和副作用 / 肿胀、疼痛、内出血:约 2 天至 2 周 *免费治疗 ※自费医疗

女士 30多岁

No.00385/ID:177684

患部状态

  • 厚重的眼皮
  • 眼睛看起来又小又薄

本人要求

  • #希望调整双眼皮的宽度
  • #六点无痕双眼皮埋线法
  • Before
    手术前的状态 其一
  • Before
    手术前的状态 其一
  • Before
    手术前的状态 其一
  • After
    手术后的状态 其一
  • After
    手术后的状态 其一
  • After
    手术后的状态 其一

治疗内容・风险

  • 治疗内容・
    风险
    【掩埋法/自然粘附法】
    ▪︎通常价格 / ¥14,800〜¥418,000
    ▪︎治疗次数 / 1
    ▪︎治疗内容 / 这是通过特殊线固定眼睑的多个部分来形成双眼皮的手术。
    ▪︎风险和副作用 / 肿胀、疼痛、内出血:约 2 天至 2 周 *免费治疗 ※自费医疗

男人 30多岁

No.00383/ID:184859

患部状态

  • 眼睑沉重
  • 眼睑松弛

本人要求

  • #希望调整左右不对称
  • #四点无痕双眼皮埋线法(方形法)
  • Before
    手术前的状态 其一
  • Before
    手术前的状态 其一
  • Before
    手术前的状态 其一
  • After
    手术后的状态 其一
  • After
    手术后的状态 其一
  • After
    手术后的状态 其一

治疗内容・风险

  • 治疗内容・
    风险
    【掩埋法/自然粘附法】
    ▪︎通常价格 / ¥14,800〜¥418,000
    ▪︎治疗次数 / 1
    ▪︎治疗内容 / 这是通过特殊线固定眼睑的多个部分来形成双眼皮的手术。
    ▪︎风险和副作用 / 肿胀、疼痛、内出血:约 2 天至 2 周 *免费治疗 ※自费医疗

女士 20多岁

No.00382/ID:181110

患部状态

  • 眼睑沉重
  • 眼睑松弛

本人要求

  • #外开型
  • #四点无痕双眼皮埋线法(三角法)
  • Before
    手术前的状态 其一
  • Before
    手术前的状态 其一
  • Before
    手术前的状态 其一
  • After
    手术后的状态 其一
  • After
    手术后的状态 其一
  • After
    手术后的状态 其一

治疗内容・风险

  • 治疗内容・
    风险
    【眉下切开手术】
    ▪︎通常价格 / ¥346,500
    ▪︎治疗次数 / 1
    ▪︎治疗内容 / 这是一种通过切开眉毛下方多余皮肤来改善眼睑下垂的手术。
    ▪︎风险和副作用 / 术后可能出现肿胀、淤血、感染、左右不对称、疤痕、发红、意外皱纹等情况。 ※自费医疗

女士 10 的

No.00381/ID:177151

患部状态

  • 内双眼
  • 眼神看起来很凶

本人要求

  • #外开型
  • #六点无痕双眼皮埋线法
  • Before
    手术前的状态 其一
  • Before
    手术前的状态 其一
  • Before
    手术前的状态 其一
  • After
    手术后的状态 其一
  • After
    手术后的状态 其一
  • After
    手术后的状态 其一

治疗内容・风险

  • 治疗内容・
    风险
    【掩埋法/自然粘附法】
    ▪︎通常价格 / ¥14,800〜¥418,000
    ▪︎治疗次数 / 1
    ▪︎治疗内容 / 这是通过特殊线固定眼睑的多个部分来形成双眼皮的手术。
    ▪︎风险和副作用 / 肿胀、疼痛、内出血:约 2 天至 2 周 *免费治疗 ※自费医疗

女士 20多岁

No.00379/ID:161295

患部状态

  • 眼睑沉重
  • 眼睑松弛

本人要求

  • #希望调整双眼皮的宽度
  • #六点无痕双眼皮埋线法
  • Before
    手术前的状态 其一
  • Before
    手术前的状态 其一
  • Before
    手术前的状态 其一
  • After
    手术后的状态 其一
  • After
    手术后的状态 其一
  • After
    手术后的状态 其一

治疗内容・风险

  • 治疗内容・
    风险
    【掩埋法/自然粘附法】
    ▪︎通常价格 / ¥14,800〜¥418,000
    ▪︎治疗次数 / 1
    ▪︎治疗内容 / 这是通过特殊线固定眼睑的多个部分来形成双眼皮的手术。
    ▪︎风险和副作用 / 肿胀、疼痛、内出血:约 2 天至 2 周 *免费治疗 ※自费医疗

女士 20多岁

No.00377/ID:180022

患部状态

  • 眼睑沉重
  • 眼睑松弛

本人要求

  • #外开型
  • #四点无痕双眼皮埋线法(方形法)
  • Before
    手术前的状态 其一
  • Before
    手术前的状态 其一
  • Before
    手术前的状态 其一
  • After
    手术后的状态 其一
  • After
    手术后的状态 其一
  • After
    手术后的状态 其一

治疗内容・风险

  • 治疗内容・
    风险
    【掩埋法/自然粘附法】
    ▪︎通常价格 / ¥14,800〜¥418,000
    ▪︎治疗次数 / 1
    ▪︎治疗内容 / 这是通过特殊线固定眼睑的多个部分来形成双眼皮的手术。
    ▪︎风险和副作用 / 肿胀、疼痛、内出血:约 2 天至 2 周 *免费治疗 ※自费医疗

女士 20多岁

No.00376/ID:160538

患部状态

  • 厚重的眼皮
  • 眼睛看起来又小又薄

本人要求

  • #希望调整左右不对称
  • #四点无痕双眼皮埋线法(方形法)
  • Before
    手术前的状态 其一
  • Before
    手术前的状态 其一
  • Before
    手术前的状态 其一
  • After
    手术后的状态 其一
  • After
    手术后的状态 其一
  • After
    手术后的状态 其一

治疗内容・风险

  • 治疗内容・
    风险
    【掩埋法/自然粘附法】
    ▪︎通常价格 / ¥14,800〜¥418,000
    ▪︎治疗次数 / 1
    ▪︎治疗内容 / 这是通过特殊线固定眼睑的多个部分来形成双眼皮的手术。
    ▪︎风险和副作用 / 肿胀、疼痛、内出血:约 2 天至 2 周 *免费治疗 ※自费医疗

女士 20多岁

No.00375/ID:175386

患部状态

  • 内双眼
  • 眼神看起来很凶

本人要求

  • #外开型
  • #六点无痕双眼皮埋线法
  • Before
    手术前的状态 其一
  • Before
    手术前的状态 其一
  • Before
    手术前的状态 其一
  • After
    手术后的状态 其一
  • After
    手术后的状态 其一
  • After
    手术后的状态 其一

治疗内容・风险

  • 治疗内容・
    风险
    【掩埋法/自然粘附法】
    ▪︎通常价格 / ¥14,800〜¥418,000
    ▪︎治疗次数 / 1
    ▪︎治疗内容 / 这是通过特殊线固定眼睑的多个部分来形成双眼皮的手术。
    ▪︎风险和副作用 / 肿胀、疼痛、内出血:约 2 天至 2 周 *免费治疗 ※自费医疗

女士 20多岁

No.00374/ID:168901

患部状态

  • 厚重的眼皮
  • 眼睛看起来又小又薄

本人要求

  • #外开型
  • #六点无痕双眼皮埋线法
  • Before
    手术前的状态 其一
  • Before
    手术前的状态 其一
  • Before
    手术前的状态 其一
  • After
    手术后的状态 其一
  • After
    手术后的状态 其一
  • After
    手术后的状态 其一

治疗内容・风险

  • 治疗内容・
    风险
    【掩埋法/自然粘附法】
    ▪︎通常价格 / ¥14,800〜¥418,000
    ▪︎治疗次数 / 1
    ▪︎治疗内容 / 这是通过特殊线固定眼睑的多个部分来形成双眼皮的手术。
    ▪︎风险和副作用 / 肿胀、疼痛、内出血:约 2 天至 2 周 *免费治疗 ※自费医疗

女士 30多岁

No.00373/ID:183084

患部状态

  • 眼睑沉重
  • 眼睑松弛

本人要求

  • #外开型
  • #六点无痕双眼皮埋线法
  • Before
    手术前的状态 其一
  • Before
    手术前的状态 其一
  • Before
    手术前的状态 其一
  • After
    手术后的状态 其一
  • After
    手术后的状态 其一
  • After
    手术后的状态 其一

治疗内容・风险

  • 治疗内容・
    风险
    【掩埋法/自然粘附法】
    ▪︎通常价格 / ¥14,800〜¥418,000
    ▪︎治疗次数 / 1
    ▪︎治疗内容 / 这是通过特殊线固定眼睑的多个部分来形成双眼皮的手术。
    ▪︎风险和副作用 / 肿胀、疼痛、内出血:约 2 天至 2 周 *免费治疗 ※自费医疗

女士 20多岁

No.00371/ID:182462

患部状态

  • 眼睑沉重
  • 眼睑松弛

本人要求

  • #外开型
  • #六点无痕双眼皮埋线法
  • Before
    手术前的状态 其一
  • Before
    手术前的状态 其一
  • Before
    手术前的状态 其一
  • After
    手术后的状态 其一
  • After
    手术后的状态 其一
  • After
    手术后的状态 其一

治疗内容・风险

  • 治疗内容・
    风险
    【掩埋法/自然粘附法】
    ▪︎通常价格 / ¥14,800〜¥418,000
    ▪︎治疗次数 / 1
    ▪︎治疗内容 / 这是通过特殊线固定眼睑的多个部分来形成双眼皮的手术。
    ▪︎风险和副作用 / 肿胀、疼痛、内出血:约 2 天至 2 周 *免费治疗 ※自费医疗

女士 10 的

No.00369/ID:161357

患部状态

  • 眼睑沉重
  • 眼睑松弛

本人要求

  • #希望调整左右不对称
  • #四点无痕双眼皮埋线法(方形法)
  • Before
    手术前的状态 其一
  • Before
    手术前的状态 其一
  • Before
    手术前的状态 其一
  • After
    手术后的状态 其一
  • After
    手术后的状态 其一
  • After
    手术后的状态 其一

治疗内容・风险

  • 治疗内容・
    风险
    【掩埋法/自然粘附法】
    ▪︎通常价格 / ¥14,800〜¥418,000
    ▪︎治疗次数 / 1
    ▪︎治疗内容 / 这是通过特殊线固定眼睑的多个部分来形成双眼皮的手术。
    ▪︎风险和副作用 / 肿胀、疼痛、内出血:约 2 天至 2 周 *免费治疗 ※自费医疗