- 二重
- 目頭切開
- 目尻切開・タレ目形成
- まぶたの脂肪取り(上脱脂)
- 涙袋ヒアルロン酸
- クマ取り
- 目の下(くぼみ)のヒアルロン酸
- 眉下切開
- 眼瞼下垂
- 糸リフト
- ショッピングリフト
- 脂肪吸引注射
- 顔の脂肪吸引(顎下・頬)
- 脂肪溶解注射
- ボトックス
- ヒアルロン酸
- ハイフ
- 脂肪吸引
- 脂肪溶解注射
- 脂肪冷却
- Coming Soon
- Coming Soon
- Coming Soon
- 豊胸
- 乳頭縮小術
- 小陰唇縮小
- 大陰唇縮小
- 副皮切除
- クリトリス包茎
- 薄毛治療(AGA)
- 植毛
- 鼻を高く
- 小鼻・鼻の穴を小さく
- 鼻先を高く
二重
絞り込み検索
281~300件を表示:全346件
女性 10代
No.00177/ID:65676
患部の状態
本人のご要望
-
Before
-
Before
-
Before
-
After
-
After
-
After
施術内容・リスク
-
施術内容・
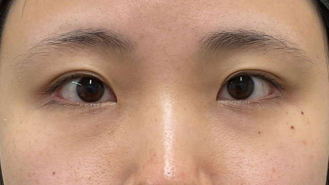
リスク【埋没法▪︎自然癒着法】
▪︎通常価格 / ¥14,800〜¥418,000
▪︎治療回数 / 1回
▪︎治療内容 / まぶたの数か所を専用の糸で固定することで、二重まぶたを形成する施術です。
▪︎リスク▪︎副作用について / 腫れ▪︎痛み▪︎内出血:2日〜2週間程度 ※自由診療
女性 20代
No.00176/ID:64373
患部の状態
本人のご要望
-
Before
-
Before
-
Before
-
After
-
After
-
After
施術内容・リスク
-
施術内容・
リスク【埋没法▪︎自然癒着法】
▪︎通常価格 / ¥14,800〜¥418,000
▪︎治療回数 / 1回
▪︎治療内容 / まぶたの数か所を専用の糸で固定することで、二重まぶたを形成する施術です。
▪︎リスク▪︎副作用について / 腫れ▪︎痛み▪︎内出血:2日〜2週間程度 ※自由診療
女性 20代
No.00175/ID:67828
患部の状態
本人のご要望
-
Before
-
Before
-
Before
-
After
-
After
-
After
施術内容・リスク
-
施術内容・
リスク【埋没法▪︎自然癒着法】
▪︎通常価格 / ¥14,800〜¥418,000
▪︎治療回数 / 1回
▪︎治療内容 / まぶたの数か所を専用の糸で固定することで、二重まぶたを形成する施術です。
▪︎リスク▪︎副作用について / 腫れ▪︎痛み▪︎内出血:2日〜2週間程度 ※自由診療
女性 10代
No.00174/ID:70273
患部の状態
本人のご要望
-
Before
-
Before
-
Before
-
After
-
After
-
After
施術内容・リスク
-
施術内容・
リスク【埋没法▪︎自然癒着法】
▪︎通常価格 / ¥14,800〜¥418,000
▪︎治療回数 / 1回
▪︎治療内容 / まぶたの数か所を専用の糸で固定することで、二重まぶたを形成する施術です。
▪︎リスク▪︎副作用について / 腫れ▪︎痛み▪︎内出血:2日〜2週間程度 ※自由診療
女性 30代
No.00173/ID:67825
患部の状態
本人のご要望
-
Before
-
Before
-
Before
-
After
-
After
-
After
施術内容・リスク
-
施術内容・
リスク【埋没法▪︎自然癒着法】
▪︎通常価格 / ¥14,800〜¥418,000
▪︎治療回数 / 1回
▪︎治療内容 / まぶたの数か所を専用の糸で固定することで、二重まぶたを形成する施術です。
▪︎リスク▪︎副作用について / 腫れ▪︎痛み▪︎内出血:2日〜2週間程度 ※自由診療
女性 20代
No.00172/ID:60070
患部の状態
本人のご要望
-
Before
-
Before
-
Before
-
After
-
After
-
After
施術内容・リスク
-
施術内容・
リスク【埋没法▪︎自然癒着法】
▪︎通常価格 / ¥14,800〜¥418,000
▪︎治療回数 / 1回
▪︎治療内容 / まぶたの数か所を専用の糸で固定することで、二重まぶたを形成する施術です。
▪︎リスク▪︎副作用について / 腫れ▪︎痛み▪︎内出血:2日〜2週間程度 ※自由診療
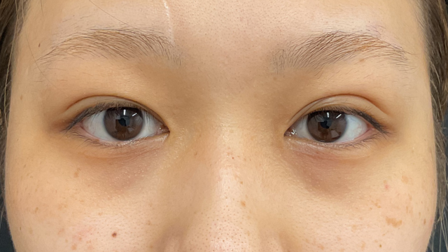
女性 20代
No.00170/ID:64013
患部の状態
本人のご要望
-
Before
-
Before
-
Before
-
After
-
After
-
After
施術内容・リスク
-
施術内容・
リスク【埋没法▪︎自然癒着法】
▪︎通常価格 / ¥14,800〜¥418,000
▪︎治療回数 / 1回
▪︎治療内容 / まぶたの数か所を専用の糸で固定することで、二重まぶたを形成する施術です。
▪︎リスク▪︎副作用について / 腫れ▪︎痛み▪︎内出血:2日〜2週間程度 ※自由診療
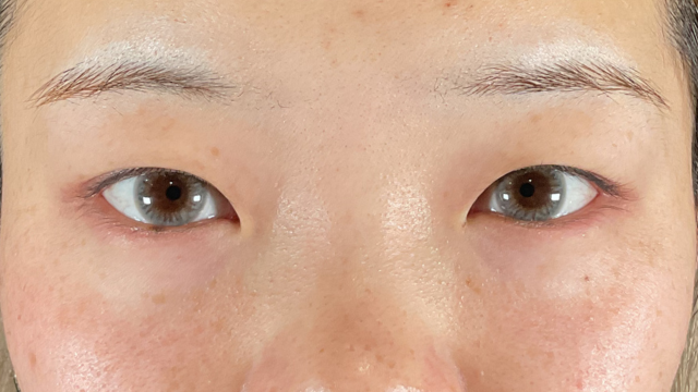
女性 50代
No.00169/ID:71795
患部の状態
本人のご要望
-
Before
-
Before
-
Before
-
After
-
After
-
After
施術内容・リスク
-
施術内容・
リスク【埋没法▪︎自然癒着法】
▪︎通常価格 / ¥14,800〜¥418,000
▪︎治療回数 / 1回
▪︎治療内容 / まぶたの数か所を専用の糸で固定することで、二重まぶたを形成する施術です。
▪︎リスク▪︎副作用について / 腫れ▪︎痛み▪︎内出血:2日〜2週間程度 ※自由診療
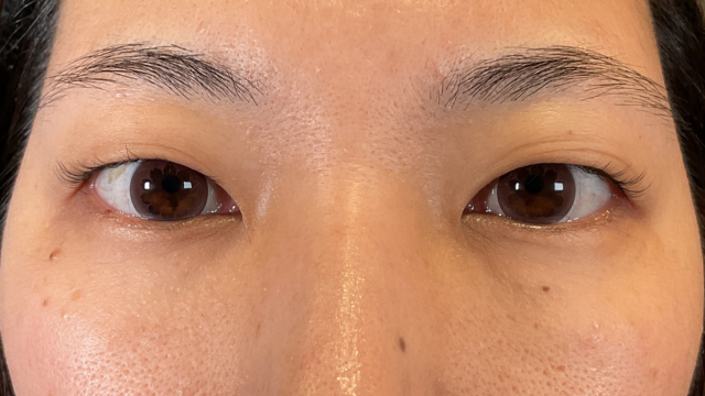
女性 20代
No.00168/ID:67369
患部の状態
本人のご要望
-
Before
-
Before
-
Before
-
After
-
After
-
After
施術内容・リスク
-
施術内容・
リスク【埋没法▪︎自然癒着法】
▪︎通常価格 / ¥14,800〜¥418,000
▪︎治療回数 / 1回
▪︎治療内容 / まぶたの数か所を専用の糸で固定することで、二重まぶたを形成する施術です。
▪︎リスク▪︎副作用について / 腫れ▪︎痛み▪︎内出血:2日〜2週間程度 ※自由診療
女性 20代
No.00166/ID:51016
患部の状態
本人のご要望
-
Before
-
Before
-
Before
-
After
-
After
-
After
施術内容・リスク
-
施術内容・
リスク【埋没法▪︎自然癒着法】
▪︎通常価格 / ¥14,800〜¥418,000
▪︎治療回数 / 1回
▪︎治療内容 / まぶたの数か所を専用の糸で固定することで、二重まぶたを形成する施術です。
▪︎リスク▪︎副作用について / 腫れ▪︎痛み▪︎内出血:2日〜2週間程度 ※自由診療
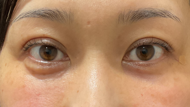
女性 60代
No.00165/ID:213777
患部の状態
本人のご要望
-
Before
-
Before
-
Before
-
After
-
After
-
After
施術内容・リスク
-
施術内容・
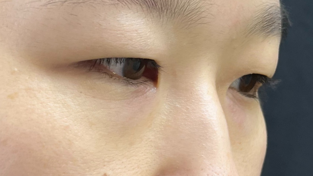
リスク【二重切開法】
▪︎通常価格 / ¥217,800〜¥327,800
▪︎治療回数 / 1回
▪︎治療内容 / 希望の二重ラインに合わせて皮膚を切開して挙筋腱膜と皮下組織を縫合し、半永久的な二重幅を形成する施術です。
▪︎リスク▪︎副作用について / 腫れ▪︎合併症▪︎皮下出血▪︎血腫▪︎目の違和感▪︎感染▪︎疼痛▪︎肥厚性瘢痕▪︎ケロイドなど ※自由診療
【下脱脂】
▪︎通常価格 / ¥19,800〜¥250,500
▪︎治療回数 / 1回
▪︎治療内容 / クマの原因となっている脂肪を、内側▪︎中央▪︎外側の部位から余分な脂肪のみをバランスを整えながら取り除く施術です。
▪︎リスク▪︎副作用について / 内出血、腫れ、充血、結膜浮腫など ※自由診療
女性 10代
No.00163/ID:7214
患部の状態
本人のご要望
-
Before
-
Before
-
Before
-
After
-
After
-
After
施術内容・リスク
-
施術内容・
リスク【埋没法▪︎自然癒着法】
▪︎通常価格 / ¥14,800〜¥418,000
▪︎治療回数 / 1回
▪︎治療内容 / まぶたの数か所を専用の糸で固定することで、二重まぶたを形成する施術です。
▪︎リスク▪︎副作用について / 腫れ▪︎痛み▪︎内出血:2日〜2週間程度 ※自由診療
女性 30代
No.00161/ID:51140
患部の状態
本人のご要望
-
Before
-
Before
-
Before
-
After
-
After
-
After
施術内容・リスク
-
施術内容・
リスク【埋没法▪︎自然癒着法】
▪︎通常価格 / ¥14,800〜¥418,000
▪︎治療回数 / 1回
▪︎治療内容 / まぶたの数か所を専用の糸で固定することで、二重まぶたを形成する施術です。
▪︎リスク▪︎副作用について / 腫れ▪︎痛み▪︎内出血:2日〜2週間程度 ※自由診療
女性 40代
No.00159/ID:49603
患部の状態
本人のご要望
-
Before
-
Before
-
Before
-
After
-
After
-
After
施術内容・リスク
-
施術内容・
リスク【埋没法▪︎自然癒着法】
▪︎通常価格 / ¥14,800〜¥418,000
▪︎治療回数 / 1回
▪︎治療内容 / まぶたの数か所を専用の糸で固定することで、二重まぶたを形成する施術です。
▪︎リスク▪︎副作用について / 腫れ▪︎痛み▪︎内出血:2日〜2週間程度 ※自由診療
女性 20代
No.00158/ID:53851
患部の状態
本人のご要望
-
Before
-
Before
-
Before
-
After
-
After
-
After
施術内容・リスク
-
施術内容・
リスク【埋没法▪︎自然癒着法】
▪︎通常価格 / ¥14,800〜¥418,000
▪︎治療回数 / 1回
▪︎治療内容 / まぶたの数か所を専用の糸で固定することで、二重まぶたを形成する施術です。
▪︎リスク▪︎副作用について / 腫れ▪︎痛み▪︎内出血:2日〜2週間程度 ※自由診療
女性 20代
No.00156/ID:53823
患部の状態
本人のご要望
-
Before
-
Before
-
Before
-
After
-
After
-
After
施術内容・リスク
-
施術内容・
リスク【埋没法▪︎自然癒着法】
▪︎通常価格 / ¥14,800〜¥418,000
▪︎治療回数 / 1回
▪︎治療内容 / まぶたの数か所を専用の糸で固定することで、二重まぶたを形成する施術です。
▪︎リスク▪︎副作用について / 腫れ▪︎痛み▪︎内出血:2日〜2週間程度 ※自由診療
女性 40代
No.00155/ID:55134
患部の状態
本人のご要望
-
Before
-
Before
-
Before
-
After
-
After
-
After
施術内容・リスク
-
施術内容・
リスク【埋没法▪︎自然癒着法】
▪︎通常価格 / ¥14,800〜¥418,000
▪︎治療回数 / 1回
▪︎治療内容 / まぶたの数か所を専用の糸で固定することで、二重まぶたを形成する施術です。
▪︎リスク▪︎副作用について / 腫れ▪︎痛み▪︎内出血:2日〜2週間程度 ※自由診療
女性 20代
No.00154/ID:52741
患部の状態
本人のご要望
-
Before
-
Before
-
Before
-
After
-
After
-
After
施術内容・リスク
-
施術内容・
リスク【埋没法▪︎自然癒着法】
▪︎通常価格 / ¥14,800〜¥418,000
▪︎治療回数 / 1回
▪︎治療内容 / まぶたの数か所を専用の糸で固定することで、二重まぶたを形成する施術です。
▪︎リスク▪︎副作用について / 腫れ▪︎痛み▪︎内出血:2日〜2週間程度 ※自由診療
女性 20代
No.00153/ID:57822
患部の状態
本人のご要望
-
Before
-
Before
-
Before
-
After
-
After
-
After
施術内容・リスク
-
施術内容・
リスク【埋没法▪︎自然癒着法】
▪︎通常価格 / ¥14,800〜¥418,000
▪︎治療回数 / 1回
▪︎治療内容 / まぶたの数か所を専用の糸で固定することで、二重まぶたを形成する施術です。
▪︎リスク▪︎副作用について / 腫れ▪︎痛み▪︎内出血:2日〜2週間程度 ※自由診療
男性 20代
No.00152/ID:174793
患部の状態
本人のご要望
-
Before
-
Before
-
Before
-
After
-
After
-
After
施術内容・リスク
-
施術内容・
リスク【埋没法▪︎自然癒着法】
▪︎通常価格 / ¥14,800〜¥418,000
▪︎治療回数 / 1回
▪︎治療内容 / まぶたの数か所を専用の糸で固定することで、二重まぶたを形成する施術です。
▪︎リスク▪︎副作用について / 腫れ▪︎痛み▪︎内出血:2日〜2週間程度 ※自由診療