- Doublelid
- Medial Canthoplasty
- Lateral Canthoplasty・Glamorous Line
- Eyelid fat removal (Upper Blepharoplasty)
- Eye trough hyaluronic Acid
- Eye bags removal
- hyaluronic Acid
- Lower Brow Incision
- Ptosis Procedure
- Thread Lift
- Shopping Thread Lift
- Liposuction injection
- Facial Liposuction (cheeks / under chin)
- Fat-Dissolving Injection
- Botox
- Hyaluronic Acid
- HIFU
- Liposuction
- Fat-Dissolving Injection
- Fat freezing
- Coming Soon
- Coming Soon
- Coming Soon
- Breast augmentation
- Nipple reduction
- Labia minora reduction
- Labia majora reduction
- Accessary labial fold Removal
- Clitoral hood reduction
- Hair loss treatment・AGA
- Hair implant
- Septal Extension
- Small nose・Nostril reduction
- Rinoplasty
Doublelid
Filtered Search
Displaying 41 - 60 results: 337 in total
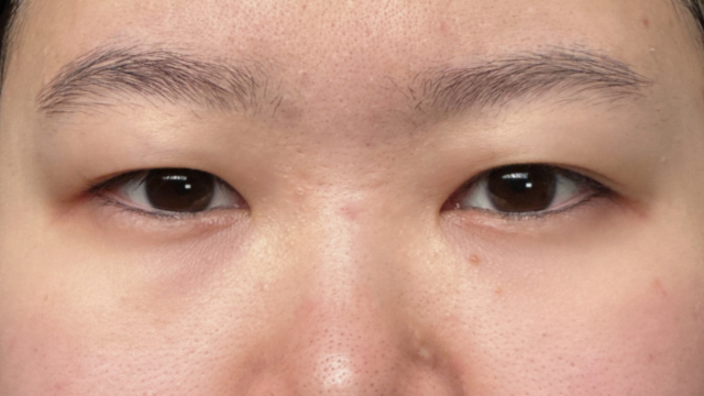
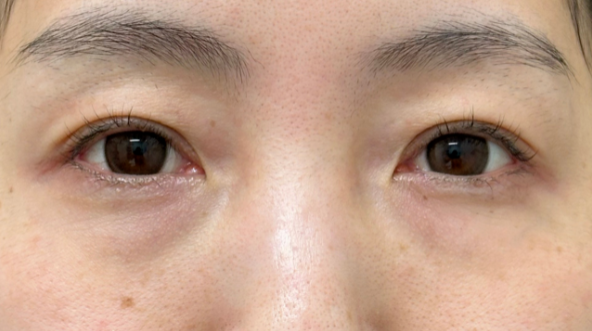
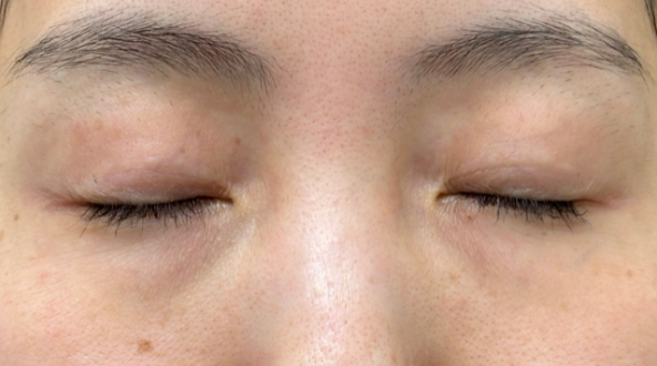
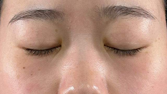
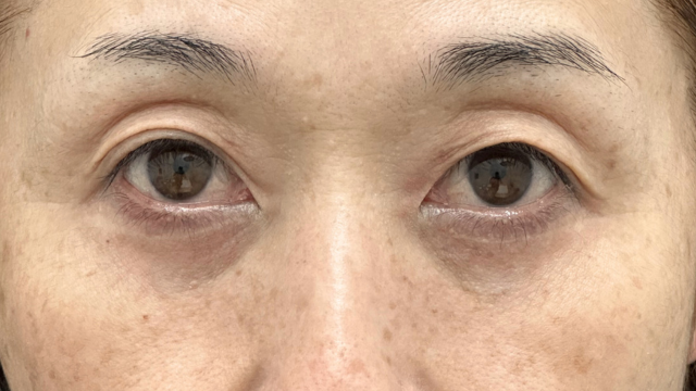
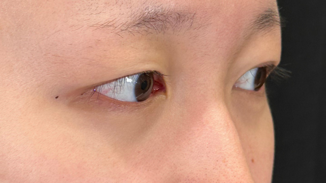
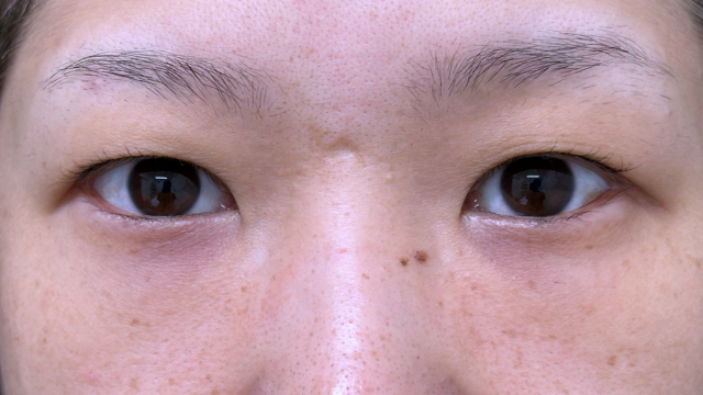
Woman 50's
No.00575/ID:201668
Condition of the Area
Patient’s Request
-
Before
-
Before
-
Before
-
After
-
After
-
After
Procedure / Risks
-
Procedure / Risks【Burial method/natural adhesion method】
▪︎Regular price / ¥14,800〜¥418,000
▪︎Number of procedures / 1
▪︎Treatment details / This is a procedure that creates double eyelids by fixing several parts of the eyelids with special threads.
▪︎Risks and side effects / Swelling, pain, internal bleeding: About 2 days to 2 weeks ※Private Medical Care
Woman 40's
No.00574/ID:184256
Condition of the Area
Patient’s Request
-
Before
-
Before
-
Before
-
After
-
After
-
After
Procedure / Risks
-
Procedure / Risks【Burial method/natural adhesion method】
▪︎Regular price / ¥14,800〜¥418,000
▪︎Number of procedures / 1
▪︎Treatment details / This is a procedure that creates double eyelids by fixing several parts of the eyelids with special threads.
▪︎Risks and side effects / Swelling, pain, internal bleeding: About 2 days to 2 weeks ※Private Medical Care
Woman 30's
No.00572/ID:216729
Condition of the Area
Patient’s Request
-
Before
-
Before
-
Before
-
After
-
After
-
After
Procedure / Risks
-
Procedure / Risks【Burial method/natural adhesion method】
▪︎Regular price / ¥14,800〜¥418,000
▪︎Number of procedures / 1
▪︎Treatment details / This is a procedure that creates double eyelids by fixing several parts of the eyelids with special threads.
▪︎Risks and side effects / Swelling, pain, internal bleeding: About 2 days to 2 weeks ※Private Medical Care
Woman 20's
No.00571/ID:202365
Condition of the Area
Patient’s Request
-
Before
-
Before
-
Before
-
After
-
After
-
After
Procedure / Risks
-
Procedure / Risks【Burial method/natural adhesion method】
▪︎Regular price / ¥14,800〜¥418,000
▪︎Number of procedures / 1
▪︎Treatment details / This is a procedure that creates double eyelids by fixing several parts of the eyelids with special threads.
▪︎Risks and side effects / Swelling, pain, internal bleeding: About 2 days to 2 weeks ※Private Medical Care
Woman 30's
No.00570/ID:211203
Condition of the Area
Patient’s Request
-
Before
-
Before
-
Before
-
After
-
After
-
After
Procedure / Risks
-
Procedure / Risks【Burial method/natural adhesion method】
▪︎Regular price / ¥14,800〜¥418,000
▪︎Number of procedures / 1
▪︎Treatment details / This is a procedure that creates double eyelids by fixing several parts of the eyelids with special threads.
▪︎Risks and side effects / Swelling, pain, internal bleeding: About 2 days to 2 weeks ※Private Medical Care
Woman 40's
No.00569/ID:182991
Condition of the Area
Patient’s Request
-
Before
-
Before
-
Before
-
After
-
After
-
After
Procedure / Risks
-
Procedure / Risks【Burial method/natural adhesion method】
▪︎Regular price / ¥14,800〜¥418,000
▪︎Number of procedures / 1
▪︎Treatment details / This is a procedure that creates double eyelids by fixing several parts of the eyelids with special threads.
▪︎Risks and side effects / Swelling, pain, internal bleeding: About 2 days to 2 weeks ※Private Medical Care
Woman 30's
No.00567/ID:216306
Condition of the Area
Patient’s Request
-
Before
-
Before
-
Before
-
After
-
After
-
After
Procedure / Risks
-
Procedure / Risks【Burial method/natural adhesion method】
▪︎Regular price / ¥14,800〜¥418,000
▪︎Number of procedures / 1
▪︎Treatment details / This is a procedure that creates double eyelids by fixing several parts of the eyelids with special threads.
▪︎Risks and side effects / Swelling, pain, internal bleeding: About 2 days to 2 weeks ※Private Medical Care
Woman 60's
No.00566/ID:203816
Condition of the Area
Patient’s Request
-
Before
-
Before
-
Before
-
After
-
After
-
After
Procedure / Risks
-
Procedure / Risks【Burial method/natural adhesion method】
▪︎Regular price / ¥14,800〜¥418,000
▪︎Number of procedures / 1
▪︎Treatment details / This is a procedure that creates double eyelids by fixing several parts of the eyelids with special threads.
▪︎Risks and side effects / Swelling, pain, internal bleeding: About 2 days to 2 weeks ※Private Medical Care
Woman 20's
No.00565/ID:210826
Condition of the Area
Patient’s Request
-
Before
-
Before
-
Before
-
After
-
After
-
After
Procedure / Risks
-
Procedure / Risks【Burial method/natural adhesion method】
▪︎Regular price / ¥14,800〜¥418,000
▪︎Number of procedures / 1
▪︎Treatment details / This is a procedure that creates double eyelids by fixing several parts of the eyelids with special threads.
▪︎Risks and side effects / Swelling, pain, internal bleeding: About 2 days to 2 weeks ※Private Medical Care
Woman 50's
No.00563/ID:203817
Condition of the Area
Patient’s Request
-
Before
-
Before
-
Before
-
After
-
After
-
After
Procedure / Risks
-
Procedure / Risks【Burial method/natural adhesion method】
▪︎Regular price / ¥14,800〜¥418,000
▪︎Number of procedures / 1
▪︎Treatment details / This is a procedure that creates double eyelids by fixing several parts of the eyelids with special threads.
▪︎Risks and side effects / Swelling, pain, internal bleeding: About 2 days to 2 weeks ※Private Medical Care
Woman 20's
No.00561/ID:108329
Condition of the Area
Patient’s Request
-
Before
-
Before
-
Before
-
After
-
After
-
After
Procedure / Risks
-
Procedure / Risks【Burial method/natural adhesion method】
▪︎Regular price / ¥14,800〜¥418,000
▪︎Number of procedures / 1
▪︎Treatment details / This is a procedure that creates double eyelids by fixing several parts of the eyelids with special threads.
▪︎Risks and side effects / Swelling, pain, internal bleeding: About 2 days to 2 weeks ※Private Medical Care
Woman 20's
No.00560/ID:196217
Condition of the Area
Patient’s Request
-
Before
-
Before
-
Before
-
After
-
After
-
After
Procedure / Risks
-
Procedure / RisksSwelling and pain: around 2 days to 1 week
Woman 30's
No.00553/ID:213254
Condition of the Area
Patient’s Request
-
Before
-
Before
-
Before
-
After
-
After
-
After
Procedure / Risks
-
Procedure / Risks【Burial method/natural adhesion method】
▪︎Regular price / ¥14,800〜¥418,000
▪︎Number of procedures / 1
▪︎Treatment details / This is a procedure that creates double eyelids by fixing several parts of the eyelids with special threads.
▪︎Risks and side effects / Swelling, pain, internal bleeding: About 2 days to 2 weeks ※Private Medical Care
Woman 20's
No.00550/ID:203643
Condition of the Area
Patient’s Request
-
Before
-
Before
-
Before
-
After
-
After
-
After
Procedure / Risks
-
Procedure / Risks【Burial method/natural adhesion method】
▪︎Regular price / ¥14,800〜¥418,000
▪︎Number of procedures / 1
▪︎Treatment details / This is a procedure that creates double eyelids by fixing several parts of the eyelids with special threads.
▪︎Risks and side effects / Swelling, pain, internal bleeding: About 2 days to 2 weeks ※Private Medical Care
Woman 50's
No.00546/ID:203803
Condition of the Area
Patient’s Request
-
Before
-
Before
-
Before
-
After
-
After
-
After
Procedure / Risks
-
Procedure / Risks【Burial method/natural adhesion method】
▪︎Regular price / ¥14,800〜¥418,000
▪︎Number of procedures / 1
▪︎Treatment details / This is a procedure that creates double eyelids by fixing several parts of the eyelids with special threads.
▪︎Risks and side effects / Swelling, pain, internal bleeding: About 2 days to 2 weeks ※Private Medical Care
Woman 20's
No.00545/ID:218566
Condition of the Area
Patient’s Request
-
Before
-
Before
-
Before
-
After
-
After
-
After
Procedure / Risks
-
Procedure / Risks【Burial method/natural adhesion method】
▪︎Regular price / ¥14,800〜¥418,000
▪︎Number of procedures / 1
▪︎Treatment details / This is a procedure that creates double eyelids by fixing several parts of the eyelids with special threads.
▪︎Risks and side effects / Swelling, pain, internal bleeding: About 2 days to 2 weeks ※Private Medical Care
Woman 20's
No.00544/ID:181872
Condition of the Area
Patient’s Request
-
Before
-
Before
-
Before
-
After
-
After
-
After
Procedure / Risks
-
Procedure / Risks【Burial method/natural adhesion method】
▪︎Regular price / ¥14,800〜¥418,000
▪︎Number of procedures / 1
▪︎Treatment details / This is a procedure that creates double eyelids by fixing several parts of the eyelids with special threads.
▪︎Risks and side effects / Swelling, pain, internal bleeding: About 2 days to 2 weeks ※Private Medical Care
Woman 40's
No.00541/ID:201814
Condition of the Area
Patient’s Request
-
Before
-
Before
-
Before
-
After
-
After
-
After
Procedure / Risks
-
Procedure / Risks【Burial method/natural adhesion method】
▪︎Regular price / ¥14,800〜¥418,000
▪︎Number of procedures / 1
▪︎Treatment details / This is a procedure that creates double eyelids by fixing several parts of the eyelids with special threads.
▪︎Risks and side effects / Swelling, pain, internal bleeding: About 2 days to 2 weeks ※Private Medical Care
Woman 50's
No.00540/ID:197111
Condition of the Area
Patient’s Request
-
Before
-
Before
-
Before
-
After
-
After
-
After
Procedure / Risks
-
Procedure / Risks【Burial method/natural adhesion method】
▪︎Regular price / ¥14,800〜¥418,000
▪︎Number of procedures / 1
▪︎Treatment details / This is a procedure that creates double eyelids by fixing several parts of the eyelids with special threads.
▪︎Risks and side effects / Swelling, pain, internal bleeding: About 2 days to 2 weeks ※Private Medical Care
Woman 10's
No.00539/ID:193470
Condition of the Area
Patient’s Request
-
Before
-
Before
-
Before
-
After
-
After
-
After
Procedure / Risks
-
Procedure / Risks【Burial method/natural adhesion method】
▪︎Regular price / ¥14,800〜¥418,000
▪︎Number of procedures / 1
▪︎Treatment details / This is a procedure that creates double eyelids by fixing several parts of the eyelids with special threads.
▪︎Risks and side effects / Swelling, pain, internal bleeding: About 2 days to 2 weeks ※Private Medical Care