1. 首页
  2. 眼睑下垂 / 眼睑下垂手术
  3. 眼睑下垂矫正
  4. 案例详情 No.00515

案例详情

No.00515/ID:193500

眼睑下垂矫正

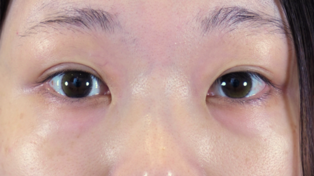
患部状态

  • 内双眼
  • 眼神看起来很凶

本人要求

  • #非切开眼睑下垂矫正
  • Before
    手术前的状态 其一
  • Before
    手术前的状态 其一
  • Before
    手术前的状态 其一
  • After
    手术后的状态 其一
  • After
    手术后的状态 其一
  • After
    手术后的状态 其一
  • 手术名称
    非切开眼睑下垂矫正
  • 治疗内容・风险
    【非切开眼睑下垂矫正】
    ▪︎通常价格 / ¥300,000
    ▪︎治疗次数 / 1
    ▪︎治疗内容 / 这是一种通过简单地操纵线而不切割皮肤来将提肌腱膜拉动并固定到睑板的手术,从而改善眼睛张开的情况。
    ▪︎风险和副作用 / 术后可能出现左右不对称、回缩、淤血、肿胀等情况。 ※自费医疗
  • 医生
    渋谷 淳

术后恢复

手术前

  • 手术前的状态 其一
  • 手术前的状态 其一
  • 手术前的状态 其一

手术后立即

  • 手术前的状态 其一
  • 手术前的状态 其一
  • 手术前的状态 其一

手术一周后(无化妆)

  • 手术前的状态 其一
  • 手术前的状态 其一
  • 手术前的状态 其一

手术一周后(有化妆)

  • 手术前的状态 其一
  • 手术前的状态 其一
  • 手术前的状态 其一

手术一个月后(无化妆)

  • 手术前的状态 其一
  • 手术前的状态 其一
  • 手术前的状态 其一

手术一个月后(有化妆)

  • 手术前的状态 其一
  • 手术前的状态 其一
  • 手术前的状态 其一