1. 首页
  2. 眼袋移 / 眼袋去除
  3. 眼袋移除法
  4. 案例详情 No.00362

案例详情

No.00362/ID:156407

眼袋移除法

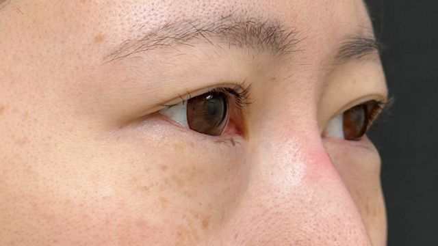
患部状态

  • 疲倦的面容印象

本人要求

  • #眼袋移除法
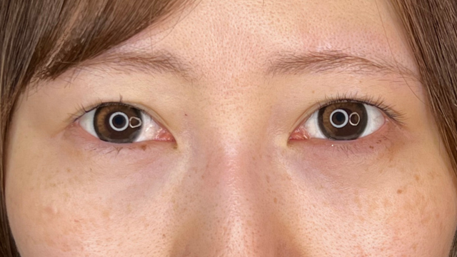
  • Before
    手术前的状态 其一
  • Before
    手术前的状态 其一
  • Before
    手术前的状态 其一
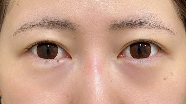
  • After
    手术后的状态 其一
  • After
    手术后的状态 其一
  • After
    手术后的状态 其一
  • 手术名称
    眼袋移除法
  • 治疗内容・风险
    【下眼睑去脂术】
    ▪︎通常价格 / ¥250,000
    ▪︎治疗次数 / 1
    ▪︎治疗内容 / 这是一种在调整平衡的同时仅去除导致黑眼圈的内部、中央和外部区域的多余脂肪的治疗方法。
    ▪︎风险和副作用 / 可能出现淤血、肿胀、充血、结膜水肿等情况。 ※自费医疗
  • 医生
    脇山 洋一

术后恢复

手术前

  • 手术前的状态 其一
  • 手术前的状态 其一
  • 手术前的状态 其一

手术后立即

  • 手术前的状态 其一
  • 手术前的状态 其一
  • 手术前的状态 其一

手术一周后(无化妆)

  • 手术前的状态 其一
  • 手术前的状态 其一
  • 手术前的状态 其一

手术一周后(有化妆)

  • 手术前的状态 其一
  • 手术前的状态 其一
  • 手术前的状态 其一

手术一个月后(无化妆)

  • 手术前的状态 其一
  • 手术前的状态 其一
  • 手术前的状态 其一

手术一个月后(有化妆)

  • 手术前的状态 其一
  • 手术前的状态 其一
  • 手术前的状态 其一