1. 首页
  2. 眼睑下垂 / 眉下切开
  3. 眉下切开
  4. 案例详情 No.00285

案例详情

No.00285/ID:148096

眉下切开

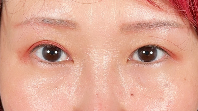
患部状态

  • 内双眼
  • 眼神看起来很凶

本人要求

  • #眉下切开
  • Before
    手术前的状态 其一
  • Before
    手术前的状态 其一
  • Before
    手术前的状态 其一
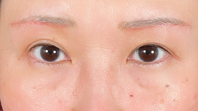
  • After
    手术后的状态 其一
  • After
    手术后的状态 其一
  • After
    手术后的状态 其一
  • 手术名称
    眉下切开
  • 治疗内容・风险
    【眉下切开手术】
    ▪︎通常价格 / ¥346,500
    ▪︎治疗次数 / 1
    ▪︎治疗内容 / 这是一种通过切开眉毛下方多余皮肤来改善眼睑下垂的手术。
    ▪︎风险和副作用 / 术后可能出现肿胀、淤血、感染、左右不对称、疤痕、发红、意外皱纹等情况。 ※自费医疗
  • 医生
    崔 煌植

术后恢复

手术前

  • 手术前的状态 其一
  • 手术前的状态 其一
  • 手术前的状态 其一

手术后立即

  • 手术前的状态 其一
  • 手术前的状态 其一
  • 手术前的状态 其一

手术一个月后(无化妆)

  • 手术前的状态 其一
  • 手术前的状态 其一
  • 手术前的状态 其一

手术一个月后(有化妆)

  • 手术前的状态 其一
  • 手术前的状态 其一
  • 手术前的状态 其一