1. 首页
  2. 眼部・双眼皮 / 双眼皮

双眼皮

筛选搜索

显示 21~40 项:全部 336 项

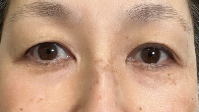
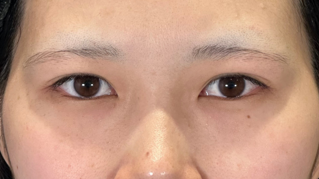
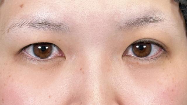
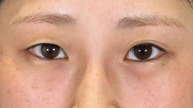
女士 20多岁

No.00645/ID:72879

患部状态

  • 厚重的眼皮
  • 眼睛看起来又小又薄

本人要求

  • #希望调整左右不对称
  • #四点无痕双眼皮埋线法(方形法)
  • Before
    手术前的状态 其一
  • Before
    手术前的状态 其一
  • Before
    手术前的状态 其一
  • After
    手术后的状态 其一
  • After
    手术后的状态 其一
  • After
    手术后的状态 其一

治疗内容・风险

  • 治疗内容・
    风险
    【掩埋法/自然粘附法】
    ▪︎通常价格 / ¥14,800〜¥418,000
    ▪︎治疗次数 / 1
    ▪︎治疗内容 / 这是通过特殊线固定眼睑的多个部分来形成双眼皮的手术。
    ▪︎风险和副作用 / 肿胀、疼痛、内出血:约 2 天至 2 周 *免费治疗 ※自费医疗

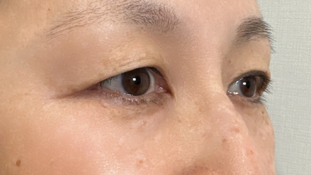
女士 10 的

No.00643/ID:207914

患部状态

  • 眼睑沉重
  • 眼睑松弛

本人要求

  • #外开型
  • #六点无痕双眼皮埋线法
  • Before
    手术前的状态 其一
  • Before
    手术前的状态 其一
  • Before
    手术前的状态 其一
  • After
    手术后的状态 其一
  • After
    手术后的状态 其一
  • After
    手术后的状态 其一

治疗内容・风险

  • 治疗内容・
    风险
    【掩埋法/自然粘附法】
    ▪︎通常价格 / ¥14,800〜¥418,000
    ▪︎治疗次数 / 1
    ▪︎治疗内容 / 这是通过特殊线固定眼睑的多个部分来形成双眼皮的手术。
    ▪︎风险和副作用 / 肿胀、疼痛、内出血:约 2 天至 2 周 *免费治疗 ※自费医疗

女士 20多岁

No.00640/ID:207682

患部状态

  • 内双眼
  • 眼神看起来很凶

本人要求

  • #希望调整双眼皮的宽度
  • #六点无痕双眼皮埋线法
  • Before
    手术前的状态 其一
  • Before
    手术前的状态 其一
  • Before
    手术前的状态 其一
  • After
    手术后的状态 其一
  • After
    手术后的状态 其一
  • After
    手术后的状态 其一

治疗内容・风险

  • 治疗内容・
    风险
    【掩埋法/自然粘附法】
    ▪︎通常价格 / ¥14,800〜¥418,000
    ▪︎治疗次数 / 1
    ▪︎治疗内容 / 这是通过特殊线固定眼睑的多个部分来形成双眼皮的手术。
    ▪︎风险和副作用 / 肿胀、疼痛、内出血:约 2 天至 2 周 *免费治疗 ※自费医疗

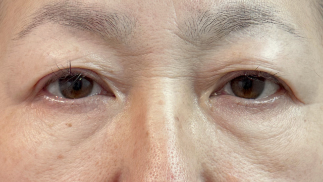
女士 40多岁

No.00602/ID:63910

患部状态

  • 厚重的眼皮
  • 眼睛看起来又小又薄

本人要求

  • #切开法双眼皮
  • Before
    手术前的状态 其一
  • Before
    手术前的状态 其一
  • Before
    手术前的状态 其一
  • After
    手术后的状态 其一
  • After
    手术后的状态 其一
  • After
    手术后的状态 其一

治疗内容・风险

  • 治疗内容・
    风险
    【双眼皮切开法】
    ▪︎通常价格 / ¥217,800〜¥327,800
    ▪︎治疗次数 / 1
    ▪︎治疗内容 / 这是一种通过沿着所需的双线在皮肤上切开切口并缝合提肌腱膜和皮下组织来创建半永久性双宽度的手术。
    ▪︎风险和副作用 / 肿胀、并发症、皮下出血、血肿、眼睛不适、感染、疼痛、增生性疤痕、疤痕疙瘩等。 ※自费医疗

女士 60多岁

No.00601/ID:200355

患部状态

  • 内双眼
  • 眼神看起来很凶

本人要求

  • #希望调整双眼皮的宽度
  • #六点无痕双眼皮埋线法
  • Before
    手术前的状态 其一
  • Before
    手术前的状态 其一
  • Before
    手术前的状态 其一
  • After
    手术后的状态 其一
  • After
    手术后的状态 其一
  • After
    手术后的状态 其一

治疗内容・风险

  • 治疗内容・
    风险
    【掩埋法/自然粘附法】
    ▪︎通常价格 / ¥14,800〜¥418,000
    ▪︎治疗次数 / 1
    ▪︎治疗内容 / 这是通过特殊线固定眼睑的多个部分来形成双眼皮的手术。
    ▪︎风险和副作用 / 肿胀、疼痛、内出血:约 2 天至 2 周 *免费治疗 ※自费医疗

女士 50多岁

No.00597/ID:214751

患部状态

  • 内双眼
  • 眼神看起来很凶

本人要求

  • #外开型
  • #六点无痕双眼皮埋线法
  • Before
    手术前的状态 其一
  • Before
    手术前的状态 其一
  • Before
    手术前的状态 其一
  • After
    手术后的状态 其一
  • After
    手术后的状态 其一
  • After
    手术后的状态 其一

治疗内容・风险

  • 治疗内容・
    风险
    【掩埋法/自然粘附法】
    ▪︎通常价格 / ¥14,800〜¥418,000
    ▪︎治疗次数 / 1
    ▪︎治疗内容 / 这是通过特殊线固定眼睑的多个部分来形成双眼皮的手术。
    ▪︎风险和副作用 / 肿胀、疼痛、内出血:约 2 天至 2 周 *免费治疗 ※自费医疗

女士 20多岁

No.00595/ID:216501

患部状态

  • 内双眼
  • 眼神看起来很凶

本人要求

  • #想展示睫毛根部
  • #四点无痕双眼皮埋线法(方形法)
  • Before
    手术前的状态 其一
  • Before
    手术前的状态 其一
  • Before
    手术前的状态 其一
  • After
    手术后的状态 其一
  • After
    手术后的状态 其一
  • After
    手术后的状态 其一

治疗内容・风险

  • 治疗内容・
    风险
    【掩埋法/自然粘附法】
    ▪︎通常价格 / ¥14,800〜¥418,000
    ▪︎治疗次数 / 1
    ▪︎治疗内容 / 这是通过特殊线固定眼睑的多个部分来形成双眼皮的手术。
    ▪︎风险和副作用 / 肿胀、疼痛、内出血:约 2 天至 2 周 *免费治疗 ※自费医疗

女士 30多岁

No.00593/ID:208517

患部状态

  • 厚重的眼皮
  • 眼睛看起来又小又薄

本人要求

  • #希望调整双眼皮的宽度
  • #六点无痕双眼皮埋线法
  • Before
    手术前的状态 其一
  • Before
    手术前的状态 其一
  • Before
    手术前的状态 其一
  • After
    手术后的状态 其一
  • After
    手术后的状态 其一
  • After
    手术后的状态 其一

治疗内容・风险

  • 治疗内容・
    风险
    【掩埋法/自然粘附法】
    ▪︎通常价格 / ¥14,800〜¥418,000
    ▪︎治疗次数 / 1
    ▪︎治疗内容 / 这是通过特殊线固定眼睑的多个部分来形成双眼皮的手术。
    ▪︎风险和副作用 / 肿胀、疼痛、内出血:约 2 天至 2 周 *免费治疗 ※自费医疗

女士 10 的

No.00591/ID:217158

患部状态

  • 内双眼
  • 眼神看起来很凶

本人要求

  • #希望调整双眼皮的宽度
  • #六点无痕双眼皮埋线法
  • Before
    手术前的状态 其一
  • Before
    手术前的状态 其一
  • Before
    手术前的状态 其一
  • After
    手术后的状态 其一
  • After
    手术后的状态 其一
  • After
    手术后的状态 其一

治疗内容・风险

  • 治疗内容・
    风险
    【掩埋法/自然粘附法】
    ▪︎通常价格 / ¥14,800〜¥418,000
    ▪︎治疗次数 / 1
    ▪︎治疗内容 / 这是通过特殊线固定眼睑的多个部分来形成双眼皮的手术。
    ▪︎风险和副作用 / 肿胀、疼痛、内出血:约 2 天至 2 周 *免费治疗 ※自费医疗

女士 20多岁

No.00589/ID:157538

患部状态

  • 厚重的眼皮
  • 眼睛看起来又小又薄

本人要求

  • #自然设计
  • #外开型
  • #四点无痕双眼皮埋线法(三角法)
  • Before
    手术前的状态 其一
  • Before
    手术前的状态 其一
  • Before
    手术前的状态 其一
  • After
    手术后的状态 其一
  • After
    手术后的状态 其一
  • After
    手术后的状态 其一

治疗内容・风险

  • 治疗内容・
    风险
    【掩埋法/自然粘附法】
    ▪︎通常价格 / ¥14,800〜¥418,000
    ▪︎治疗次数 / 1
    ▪︎治疗内容 / 这是通过特殊线固定眼睑的多个部分来形成双眼皮的手术。
    ▪︎风险和副作用 / 肿胀、疼痛、内出血:约 2 天至 2 周 *免费治疗 ※自费医疗

女士 20多岁

No.00588/ID:203173

患部状态

  • 眼睑沉重
  • 眼睑松弛

本人要求

  • #外开型
  • #六点无痕双眼皮埋线法
  • Before
    手术前的状态 其一
  • Before
    手术前的状态 其一
  • Before
    手术前的状态 其一
  • After
    手术后的状态 其一
  • After
    手术后的状态 其一
  • After
    手术后的状态 其一

治疗内容・风险

  • 治疗内容・
    风险
    【掩埋法/自然粘附法】
    ▪︎通常价格 / ¥14,800〜¥418,000
    ▪︎治疗次数 / 1
    ▪︎治疗内容 / 这是通过特殊线固定眼睑的多个部分来形成双眼皮的手术。
    ▪︎风险和副作用 / 肿胀、疼痛、内出血:约 2 天至 2 周 *免费治疗 ※自费医疗

女士 30多岁

No.00587/ID:199150

患部状态

  • 内双眼
  • 眼神看起来很凶

本人要求

  • #外开型
  • #六点无痕双眼皮埋线法
  • Before
    手术前的状态 其一
  • Before
    手术前的状态 其一
  • Before
    手术前的状态 其一
  • After
    手术后的状态 其一
  • After
    手术后的状态 其一
  • After
    手术后的状态 其一

治疗内容・风险

  • 治疗内容・
    风险
    【掩埋法/自然粘附法】
    ▪︎通常价格 / ¥14,800〜¥418,000
    ▪︎治疗次数 / 1
    ▪︎治疗内容 / 这是通过特殊线固定眼睑的多个部分来形成双眼皮的手术。
    ▪︎风险和副作用 / 肿胀、疼痛、内出血:约 2 天至 2 周 *免费治疗 ※自费医疗

女士 40多岁

No.00586/ID:216425

患部状态

  • 眼睑沉重
  • 眼睑松弛

本人要求

  • #自然设计
  • #外开型
  • #四点无痕双眼皮埋线法(三角法)
  • Before
    手术前的状态 其一
  • Before
    手术前的状态 其一
  • Before
    手术前的状态 其一
  • After
    手术后的状态 其一
  • After
    手术后的状态 其一
  • After
    手术后的状态 其一

治疗内容・风险

  • 治疗内容・
    风险
    【掩埋法/自然粘附法】
    ▪︎通常价格 / ¥14,800〜¥418,000
    ▪︎治疗次数 / 1
    ▪︎治疗内容 / 这是通过特殊线固定眼睑的多个部分来形成双眼皮的手术。
    ▪︎风险和副作用 / 肿胀、疼痛、内出血:约 2 天至 2 周 *免费治疗 ※自费医疗

女士 50多岁

No.00585/ID:195892

患部状态

  • 内双眼
  • 眼神看起来很凶

本人要求

  • #外开型
  • #六点无痕双眼皮埋线法
  • Before
    手术前的状态 其一
  • Before
    手术前的状态 其一
  • Before
    手术前的状态 其一
  • After
    手术后的状态 其一
  • After
    手术后的状态 其一
  • After
    手术后的状态 其一

治疗内容・风险

  • 治疗内容・
    风险
    【掩埋法/自然粘附法】
    ▪︎通常价格 / ¥14,800〜¥418,000
    ▪︎治疗次数 / 1
    ▪︎治疗内容 / 这是通过特殊线固定眼睑的多个部分来形成双眼皮的手术。
    ▪︎风险和副作用 / 肿胀、疼痛、内出血:约 2 天至 2 周 *免费治疗 ※自费医疗

女士 20多岁

No.00583/ID:188258

患部状态

  • 内双眼
  • 眼神看起来很凶

本人要求

  • #希望调整左右不对称
  • #四点无痕双眼皮埋线法(方形法)
  • Before
    手术前的状态 其一
  • Before
    手术前的状态 其一
  • Before
    手术前的状态 其一
  • After
    手术后的状态 其一
  • After
    手术后的状态 其一
  • After
    手术后的状态 其一

治疗内容・风险

  • 治疗内容・
    风险
    【掩埋法/自然粘附法】
    ▪︎通常价格 / ¥14,800〜¥418,000
    ▪︎治疗次数 / 1
    ▪︎治疗内容 / 这是通过特殊线固定眼睑的多个部分来形成双眼皮的手术。
    ▪︎风险和副作用 / 肿胀、疼痛、内出血:约 2 天至 2 周 *免费治疗 ※自费医疗

女士 50多岁

No.00581/ID:183678

患部状态

  • 厚重的眼皮
  • 眼睛看起来又小又薄

本人要求

  • #外开型
  • #六点无痕双眼皮埋线法
  • Before
    手术前的状态 其一
  • Before
    手术前的状态 其一
  • Before
    手术前的状态 其一
  • After
    手术后的状态 其一
  • After
    手术后的状态 其一
  • After
    手术后的状态 其一

治疗内容・风险

  • 治疗内容・
    风险
    【掩埋法/自然粘附法】
    ▪︎通常价格 / ¥14,800〜¥418,000
    ▪︎治疗次数 / 1
    ▪︎治疗内容 / 这是通过特殊线固定眼睑的多个部分来形成双眼皮的手术。
    ▪︎风险和副作用 / 肿胀、疼痛、内出血:约 2 天至 2 周 *免费治疗 ※自费医疗

女士 40多岁

No.00580/ID:220781

患部状态

  • 眼睑沉重
  • 眼睑松弛

本人要求

  • #自然设计
  • #外开型
  • #四点无痕双眼皮埋线法(三角法)
  • Before
    手术前的状态 其一
  • Before
    手术前的状态 其一
  • Before
    手术前的状态 其一
  • After
    手术后的状态 其一
  • After
    手术后的状态 其一
  • After
    手术后的状态 其一

治疗内容・风险

  • 治疗内容・
    风险
    【掩埋法/自然粘附法】
    ▪︎通常价格 / ¥14,800〜¥418,000
    ▪︎治疗次数 / 1
    ▪︎治疗内容 / 这是通过特殊线固定眼睑的多个部分来形成双眼皮的手术。
    ▪︎风险和副作用 / 肿胀、疼痛、内出血:约 2 天至 2 周 *免费治疗 ※自费医疗

女士 30多岁

No.00579/ID:185468

患部状态

  • 厚重的眼皮
  • 眼睛看起来又小又薄

本人要求

  • #希望调整双眼皮的宽度
  • #六点无痕双眼皮埋线法
  • Before
    手术前的状态 其一
  • Before
    手术前的状态 其一
  • Before
    手术前的状态 其一
  • After
    手术后的状态 其一
  • After
    手术后的状态 其一
  • After
    手术后的状态 其一

治疗内容・风险

  • 治疗内容・
    风险
    【掩埋法/自然粘附法】
    ▪︎通常价格 / ¥14,800〜¥418,000
    ▪︎治疗次数 / 1
    ▪︎治疗内容 / 这是通过特殊线固定眼睑的多个部分来形成双眼皮的手术。
    ▪︎风险和副作用 / 肿胀、疼痛、内出血:约 2 天至 2 周 *免费治疗 ※自费医疗

女士 50多岁

No.00578/ID:197011

患部状态

  • 厚重的眼皮
  • 眼睛看起来又小又薄

本人要求

  • #外开型
  • #六点无痕双眼皮埋线法
  • Before
    手术前的状态 其一
  • Before
    手术前的状态 其一
  • Before
    手术前的状态 其一
  • After
    手术后的状态 其一
  • After
    手术后的状态 其一
  • After
    手术后的状态 其一

治疗内容・风险

  • 治疗内容・
    风险
    【掩埋法/自然粘附法】
    ▪︎通常价格 / ¥14,800〜¥418,000
    ▪︎治疗次数 / 1
    ▪︎治疗内容 / 这是通过特殊线固定眼睑的多个部分来形成双眼皮的手术。
    ▪︎风险和副作用 / 肿胀、疼痛、内出血:约 2 天至 2 周 *免费治疗 ※自费医疗

女士 20多岁

No.00577/ID:200267

患部状态

  • 内双眼
  • 眼神看起来很凶

本人要求

  • #希望调整左右不对称
  • #四点无痕双眼皮埋线法(方形法)
  • Before
    手术前的状态 其一
  • Before
    手术前的状态 其一
  • Before
    手术前的状态 其一
  • After
    手术后的状态 其一
  • After
    手术后的状态 其一
  • After
    手术后的状态 其一

治疗内容・风险

  • 治疗内容・
    风险
    【掩埋法/自然粘附法】
    ▪︎通常价格 / ¥14,800〜¥418,000
    ▪︎治疗次数 / 1
    ▪︎治疗内容 / 这是通过特殊线固定眼睑的多个部分来形成双眼皮的手术。
    ▪︎风险和副作用 / 肿胀、疼痛、内出血:约 2 天至 2 周 *免费治疗 ※自费医疗