1. 首页
  2. 眼部・双眼皮 / 双眼皮

双眼皮

筛选搜索

显示 321~336 项:全部 336 项

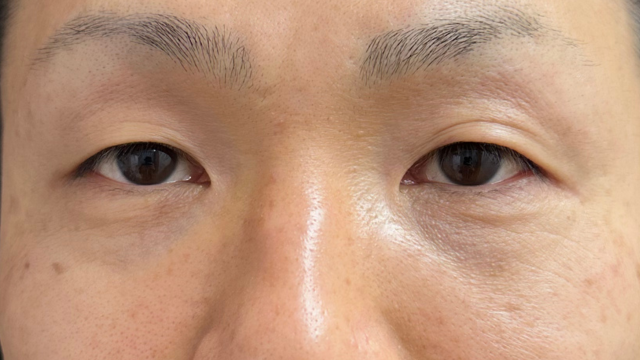
女士 20多岁

No.00103/ID:158864

患部状态

  • 蒙古褶皱紧致
  • 眼睑沉重

本人要求

  • #外开型
  • #六点无痕双眼皮埋线法
  • Before
    手术前的状态 其一
  • Before
    手术前的状态 其一
  • Before
    手术前的状态 其一
  • After
    手术后的状态 其一
  • After
    手术后的状态 其一
  • After
    手术后的状态 其一

治疗内容・风险

  • 治疗内容・
    风险
    【掩埋法/自然粘附法】
    ▪︎通常价格 / ¥14,800〜¥418,000
    ▪︎治疗次数 / 1
    ▪︎治疗内容 / 这是通过特殊线固定眼睑的多个部分来形成双眼皮的手术。
    ▪︎风险和副作用 / 肿胀、疼痛、内出血:约 2 天至 2 周 *免费治疗 ※自费医疗

    【上脸去脂术】
    ▪︎通常价格 / ¥150,000
    ▪︎治疗次数 / 1
    ▪︎治疗内容 / 这是减少上眼睑眼眶脂肪的手术。
    ▪︎风险和副作用 / 疼痛与热感:约1周,淤血:约1~2周,伤口发红:约3个月 ※自费医疗

    【开内眼角】
    ▪︎通常价格 / ¥275,000
    ▪︎治疗次数 / 1
    ▪︎治疗内容 / 这是一种通过在内眼角切开几毫米并去除蒙古褶来扩大眼睛宽度并调整左右眼平衡的手术。
    ▪︎风险和副作用 / 肿胀・疼痛・淤血・疤痕・发红:约3天〜3个月 ※自费医疗

女士 20多岁

No.00102/ID:160681

患部状态

  • 单眼皮
  • 眼神看起来很凶

本人要求

  • #自然设计
  • #外开型
  • #四点无痕双眼皮埋线法(方形法)
  • Before
    手术前的状态 其一
  • Before
    手术前的状态 其一
  • Before
    手术前的状态 其一
  • After
    手术后的状态 其一
  • After
    手术后的状态 其一
  • After
    手术后的状态 其一

治疗内容・风险

  • 治疗内容・
    风险
    【掩埋法/自然粘附法】
    ▪︎通常价格 / ¥14,800〜¥418,000
    ▪︎治疗次数 / 1
    ▪︎治疗内容 / 这是通过特殊线固定眼睑的多个部分来形成双眼皮的手术。
    ▪︎风险和副作用 / 肿胀、疼痛、内出血:约 2 天至 2 周 *免费治疗 ※自费医疗

女士 20多岁

No.00101/ID:104987

患部状态

  • 内双眼

本人要求

  • #希望调整左右不对称
  • #外开型
  • #四点无痕双眼皮埋线法(方形法)
  • Before
    手术前的状态 其一
  • Before
    手术前的状态 其一
  • Before
    手术前的状态 其一
  • After
    手术后的状态 其一
  • After
    手术后的状态 其一
  • After
    手术后的状态 其一

治疗内容・风险

  • 治疗内容・
    风险
    【掩埋法/自然粘附法】
    ▪︎通常价格 / ¥14,800〜¥418,000
    ▪︎治疗次数 / 1
    ▪︎治疗内容 / 这是通过特殊线固定眼睑的多个部分来形成双眼皮的手术。
    ▪︎风险和副作用 / 肿胀、疼痛、内出血:约 2 天至 2 周 *免费治疗 ※自费医疗

女士 40多岁

No.00100/ID:169405

患部状态

  • 眼睑松弛
  • 内双眼

本人要求

  • #非手术方式
  • #希望调整双眼皮的宽度
  • #六点无痕双眼皮埋线法
  • Before
    手术前的状态 其一
  • Before
    手术前的状态 其一
  • Before
    手术前的状态 其一
  • After
    手术后的状态 其一
  • After
    手术后的状态 其一
  • After
    手术后的状态 其一

治疗内容・风险

  • 治疗内容・
    风险
    【掩埋法/自然粘附法】
    ▪︎通常价格 / ¥14,800〜¥418,000
    ▪︎治疗次数 / 1
    ▪︎治疗内容 / 这是通过特殊线固定眼睑的多个部分来形成双眼皮的手术。
    ▪︎风险和副作用 / 肿胀、疼痛、内出血:约 2 天至 2 周 *免费治疗 ※自费医疗

男人 10 的

No.00096/ID:103930

患部状态

  • 单眼皮
  • 眼神看起来很凶

本人要求

  • #自然设计
  • #外开型
  • #四点无痕双眼皮埋线法(三角法)
  • Before
    手术前的状态 其一
  • Before
    手术前的状态 其一
  • Before
    手术前的状态 其一
  • After
    手术后的状态 其一
  • After
    手术后的状态 其一
  • After
    手术后的状态 其一

治疗内容・风险

  • 治疗内容・
    风险
    【掩埋法/自然粘附法】
    ▪︎正常价格 / ¥14,800〜¥418,000
    ▪︎治疗内容 / 这是通过特殊线固定眼睑的多个部分来形成双眼皮的手术。
    ▪︎风险和副作用 / 肿胀、疼痛、内出血:约 2 天至 2 周 *免费治疗 ※自费医疗

男人 40多岁

No.00095/ID:77909

患部状态

  • 单眼皮
  • 眼神看起来很凶

本人要求

  • #自然设计
  • #内双
  • #四点无痕双眼皮埋线法(三角法)
  • Before
    手术前的状态 其一
  • Before
    手术前的状态 其一
  • Before
    手术前的状态 其一
  • After
    手术后的状态 其一
  • After
    手术后的状态 其一
  • After
    手术后的状态 其一

治疗内容・风险

  • 治疗内容・
    风险
    【掩埋法/自然粘附法】
    ▪︎通常价格 / ¥14,800〜¥418,000
    ▪︎治疗次数 / 1
    ▪︎治疗内容 / 这是通过特殊线固定眼睑的多个部分来形成双眼皮的手术。
    ▪︎风险和副作用 / 肿胀、疼痛、内出血:约 2 天至 2 周 *免费治疗 ※自费医疗

女士 20多岁

No.00094/ID:94722

患部状态

  • 左右不对称
  • 三眼皮

本人要求

  • #希望调整左右不对称
  • #平行型
  • #四点无痕双眼皮埋线法(三角法)
  • Before
    手术前的状态 其一
  • Before
    手术前的状态 其一
  • Before
    手术前的状态 其一
  • After
    手术后的状态 其一
  • After
    手术后的状态 其一
  • After
    手术后的状态 其一

治疗内容・风险

  • 治疗内容・
    风险
    【掩埋法/自然粘附法】
    ▪︎通常价格 / ¥14,800〜¥418,000
    ▪︎治疗次数 / 1
    ▪︎治疗内容 / 这是通过特殊线固定眼睑的多个部分来形成双眼皮的手术。
    ▪︎风险和副作用 / 肿胀、疼痛、内出血:约 2 天至 2 周 *免费治疗 ※自费医疗

女士 20多岁

No.00091/ID:160055

患部状态

  • 眼睑沉重
  • 内双眼

本人要求

  • #希望调整双眼皮的宽度
  • #平行型
  • #四点无痕双眼皮埋线法(方形法)
  • Before
    手术前的状态 其一
  • Before
    手术前的状态 其一
  • Before
    手术前的状态 其一
  • After
    手术后的状态 其一
  • After
    手术后的状态 其一
  • After
    手术后的状态 其一

治疗内容・风险

  • 治疗内容・
    风险
    【掩埋法/自然粘附法】
    ▪︎通常价格 / ¥14,800〜¥418,000
    ▪︎治疗次数 / 1
    ▪︎治疗内容 / 这是通过特殊线固定眼睑的多个部分来形成双眼皮的手术。
    ▪︎风险和副作用 / 肿胀、疼痛、内出血:约 2 天至 2 周 *免费治疗 ※自费医疗

女士 20多岁

No.00021/ID:150886

患部状态

  • 单眼皮

本人要求

  • #平行型
  • #切开法双眼皮
  • Before
    手术前的状态 其一
  • Before
    手术前的状态 其一
  • Before
    手术前的状态 其一
  • After
    手术后的状态 其一
  • After
    手术后的状态 其一
  • After
    手术后的状态 其一

治疗内容・风险

  • 治疗内容・
    风险
    【双眼皮切开法】
    ▪︎通常价格 / ¥217,800〜¥327,800
    ▪︎治疗次数 / 1
    ▪︎治疗内容 / 这是一种通过沿着所需的双线在皮肤上切开切口并缝合提肌腱膜和皮下组织来创建半永久性双宽度的手术。
    ▪︎风险和副作用 / 肿胀、并发症、皮下出血、血肿、眼睛不适、感染、疼痛、增生性疤痕、疤痕疙瘩等。 ※自费医疗

女士 20多岁

No.00017/ID:76448

患部状态

  • 有埋线经历
  • 单眼皮

本人要求

  • #想展示睫毛根部
  • #外开型
  • Before
    手术前的状态 其一
  • Before
    手术前的状态 其一
  • Before
    手术前的状态 其一
  • After
    手术后的状态 其一
  • After
    手术后的状态 其一
  • After
    手术后的状态 其一

治疗内容・风险

  • 治疗内容・
    风险
    【双眼皮切开法】
    ▪︎通常价格 / ¥217,800〜¥327,800
    ▪︎治疗次数 / 1
    ▪︎治疗内容 / 这是一种通过沿着所需的双线在皮肤上切开切口并缝合提肌腱膜和皮下组织来创建半永久性双宽度的手术。
    ▪︎风险和副作用 / 肿胀、并发症、皮下出血、血肿、眼睛不适、感染、疼痛、增生性疤痕、疤痕疙瘩等。 ※自费医疗

女士 20多岁

No.00014/ID:79691

患部状态

  • 使用双眼皮贴约10年
  • 开扇型双眼皮
  • 三眼皮

本人要求

  • #外开型
  • #六点无痕双眼皮埋线法
  • Before
    手术前的状态 其一
  • Before
    手术前的状态 其一
  • Before
    手术前的状态 其一
  • After
    手术后的状态 其一
  • After
    手术后的状态 其一
  • After
    手术后的状态 其一

治疗内容・风险

  • 治疗内容・
    风险
    【掩埋法/自然粘附法】
    ▪︎通常价格 / ¥14,800〜¥418,000
    ▪︎治疗次数 / 1
    ▪︎治疗内容 / 这是通过特殊线固定眼睑的多个部分来形成双眼皮的手术。
    ▪︎风险和副作用 / 肿胀、疼痛、内出血:约 2 天至 2 周 *免费治疗 ※自费医疗

女士 20多岁

No.00011/ID:123846

患部状态

  • 单眼皮

本人要求

  • #平行型
  • #六点无痕双眼皮埋线法
  • Before
    手术前的状态 其一
  • Before
    手术前的状态 其一
  • Before
    手术前的状态 其一
  • After
    手术后的状态 其一
  • After
    手术后的状态 其一
  • After
    手术后的状态 其一

治疗内容・风险

  • 治疗内容・
    风险
    【掩埋法/自然粘附法】
    ▪︎通常价格 / ¥14,800〜¥418,000
    ▪︎治疗次数 / 1
    ▪︎治疗内容 / 这是通过特殊线固定眼睑的多个部分来形成双眼皮的手术。
    ▪︎风险和副作用 / 肿胀、疼痛、内出血:约 2 天至 2 周 *免费治疗 ※自费医疗

女士 20多岁

No.00007/ID:79687

患部状态

本人要求

  • #六点无痕双眼皮埋线法
  • Before
    手术前的状态 其一
  • Before
    手术前的状态 其一
  • Before
    手术前的状态 其一
  • After
    手术后的状态 其一
  • After
    手术后的状态 其一
  • After
    手术后的状态 其一

治疗内容・风险

  • 治疗内容・
    风险
    【掩埋法/自然粘附法】
    ▪︎通常价格 / ¥14,800〜¥418,000
    ▪︎治疗次数 / 1
    ▪︎治疗内容 / 这是通过特殊线固定眼睑的多个部分来形成双眼皮的手术。
    ▪︎风险和副作用 / 肿胀、疼痛、内出血:约 2 天至 2 周 *免费治疗 ※自费医疗

女士 10 的

No.00005/ID:135945

患部状态

  • 使用双眼皮胶水约10年
  • 单眼皮

本人要求

  • #外开型
  • #四点无痕双眼皮埋线法(方形法)
  • Before
    手术前的状态 其一
  • Before
    手术前的状态 其一
  • Before
    手术前的状态 其一
  • After
    手术后的状态 其一
  • After
    手术后的状态 其一
  • After
    手术后的状态 其一

治疗内容・风险

  • 治疗内容・
    风险
    【掩埋法/自然粘附法】
    ▪︎通常价格 / ¥14,800〜¥418,000
    ▪︎治疗次数 / 1
    ▪︎治疗内容 / 这是通过特殊线固定眼睑的多个部分来形成双眼皮的手术。
    ▪︎风险和副作用 / 肿胀、疼痛、内出血:约 2 天至 2 周 *免费治疗 ※自费医疗

女士 20多岁

No.00004/ID:92641

患部状态

  • 使用双眼皮胶水约10年以上
  • 内双眼

本人要求

  • #四点无痕双眼皮埋线法(方形法)
  • Before
    手术前的状态 其一
  • Before
    手术前的状态 其一
  • Before
    手术前的状态 其一
  • After
    手术后的状态 其一
  • After
    手术后的状态 其一
  • After
    手术后的状态 其一

治疗内容・风险

  • 治疗内容・
    风险
    【掩埋法/自然粘附法】
    ▪︎通常价格 / ¥14,800〜¥418,000
    ▪︎治疗次数 / 1
    ▪︎治疗内容 / 这是通过特殊线固定眼睑的多个部分来形成双眼皮的手术。
    ▪︎风险和副作用 / 肿胀、疼痛、内出血:约 2 天至 2 周 *免费治疗 ※自费医疗

女士 20多岁

No.00003/ID:89361

患部状态

  • 不稳定的双眼皮

本人要求

  • #希望调整双眼皮的宽度
  • #希望调整左右不对称
  • #四点无痕双眼皮埋线法(方形法)
  • Before
    手术前的状态 其一
  • Before
    手术前的状态 其一
  • Before
    手术前的状态 其一
  • After
    手术后的状态 其一
  • After
    手术后的状态 其一
  • After
    手术后的状态 其一

治疗内容・风险

  • 治疗内容・
    风险
    【掩埋法/自然粘附法】
    ▪︎通常价格 / ¥14,800〜¥418,000
    ▪︎治疗次数 / 1
    ▪︎治疗内容 / 这是通过特殊线固定眼睑的多个部分来形成双眼皮的手术。
    ▪︎风险和副作用 / 肿胀、疼痛、内出血:约 2 天至 2 周 *免费治疗 ※自费医疗