1. 홈페이지
  2. 눈 성형・쌍꺼풀 / 쌍꺼풀
  3. 쌍꺼풀수술(절개법)
  4. 症例詳細No.00445

증례 상세

No.00445/ID:188286

쌍꺼풀수술(절개법)

부위 상태

  • 무거운 눈꺼풀
  • 눈이 작고 가늘어 보인다

환자의 요구 사항

  • #절개쌍커풀
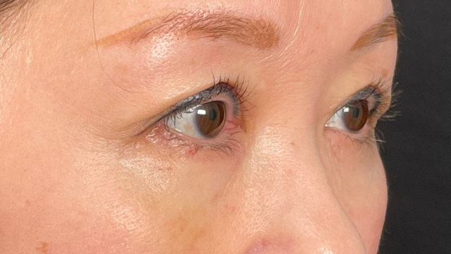
  • Before
    수술 전 상태 1
  • Before
    수술 전 상태 1
  • Before
    수술 전 상태 1
  • After
    수술 후 상태 1
  • After
    수술 후 상태 1
  • After
    수술 후 상태 1
  • 시술명
    전체 절개
  • 시술 내용・
    위험
    【쌍꺼풀수술(절개법)】
    ▪︎통상 가격 / ¥217,800〜¥327,800
    ▪︎치료 횟수 / 1
    ▪︎치료 내용 / 희망의 이중 라인에 맞추어 피부를 절개해 거근 건막과 피하 조직을 봉합해, 반영구적인 이중 폭을 형성하는 시술입니다.
    ▪︎리스크・부작용에 대해서 / 붓기 · 합병증 · 피하 출혈 · 혈종 · 눈의 위화감 · 감염 · 통증 · 비후성 흉터 · 켈로이드 등. ※자유 진료
  • 닥터
    시부야 준

수술 후 경과

시술 전

  • 수술 전 상태 1
  • 수술 전 상태 1
  • 수술 전 상태 1

시술 직후

  • 수술 전 상태 1
  • 수술 전 상태 1
  • 수술 전 상태 1

시술 1주 후 (메이크업 있음)

  • 수술 전 상태 1
  • 수술 전 상태 1
  • 수술 전 상태 1

시술 1개월 후 (메이크업 없음)

  • 수술 전 상태 1
  • 수술 전 상태 1
  • 수술 전 상태 1

시술 1개월 후 (메이크업 있음)

  • 수술 전 상태 1
  • 수술 전 상태 1
  • 수술 전 상태 1