1. 홈페이지
  2. 눈 성형・쌍꺼풀 / 쌍꺼풀
  3. 자연 유착법・매몰법
  4. 症例詳細No.00247

증례 상세

No.00247/ID:78266

이중·눈매 성형

부위 상태

  • 속쌍꺼풀
  • 눈빛이 나빠 보인다

환자의 요구 사항

  • #인라인쌍꺼풀
  • #자연유착법 6홀
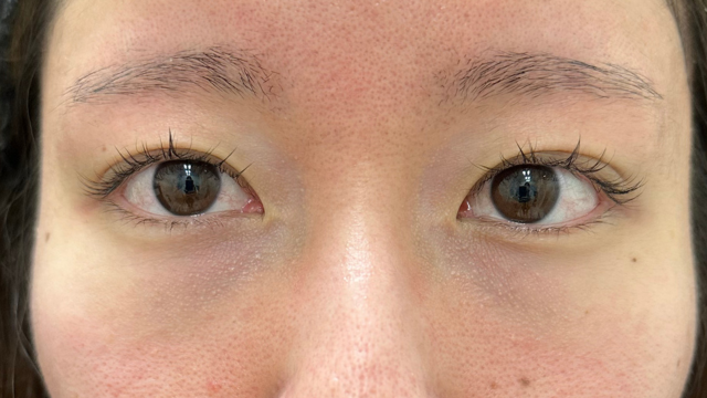
  • Before
    수술 전 상태 1
  • Before
    수술 전 상태 1
  • Before
    수술 전 상태 1
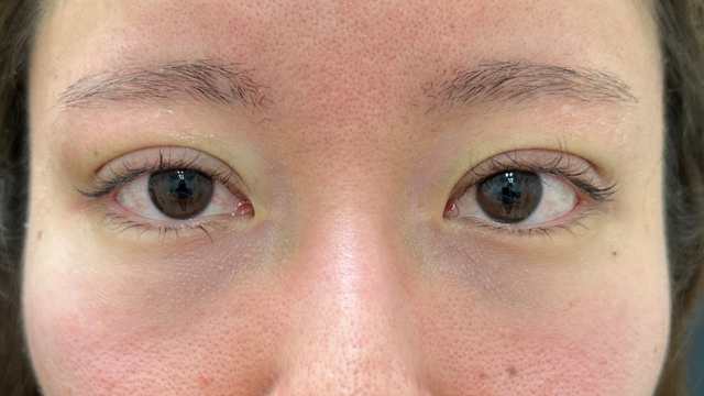
  • After
    수술 후 상태 1
  • After
    수술 후 상태 1
  • After
    수술 후 상태 1
  • 시술명
    자연유착법 6홀
  • 시술 내용・
    위험
    【매몰법・자연 유착법】
    ▪︎통상 가격 / ¥14,800 ~ ¥418,000
    ▪︎치료 횟수 / 1
    ▪︎치료 내용 / 눈꺼풀의 여러 곳을 전용의 실로 고정하는 것으로, 이중 눈꺼풀을 형성하는 시술입니다.
    ▪︎리스크・부작용에 대해서 / 붓기・통증・내출혈:2일~2주일 ​​정도 ※자유진료
  • 닥터
    양井 테츠

수술 후 경과

시술 전

  • 수술 전 상태 1
  • 수술 전 상태 1
  • 수술 전 상태 1

시술 직후

  • 수술 전 상태 1
  • 수술 전 상태 1
  • 수술 전 상태 1

시술 1주 후 (메이크업 없음)

  • 수술 전 상태 1
  • 수술 전 상태 1
  • 수술 전 상태 1

시술 1주 후 (메이크업 있음)

  • 수술 전 상태 1
  • 수술 전 상태 1
  • 수술 전 상태 1

시술 1개월 후 (메이크업 없음)

  • 수술 전 상태 1
  • 수술 전 상태 1
  • 수술 전 상태 1

시술 1개월 후 (메이크업 있음)

  • 수술 전 상태 1
  • 수술 전 상태 1
  • 수술 전 상태 1