1. 홈페이지
  2. 눈밑지방 / 눈밑지방제거
  3. 눈밑지방제거
  4. 症例詳細No.00121

증례 상세

No.00121/ID:208559

눈밑지방제거

부위 상태

  • 눈밑지방

환자의 요구 사항

  • #눈밑지방제거
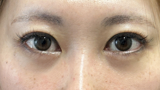
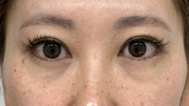
  • Before
    수술 전 상태 1
  • Before
    수술 전 상태 1
  • Before
    수술 전 상태 1
  • After
    수술 후 상태 1
  • After
    수술 후 상태 1
  • After
    수술 후 상태 1
  • 시술명
    눈밑지방제거
  • 시술 내용・
    위험
    【눈밑지방제거】
    ▪︎통상 가격 / ¥250,000
    ▪︎치료 내용 / 곰의 원인이 되고 있는 지방을, 내측·중앙·외측의 부위로부터 여분의 지방만을 밸런스를 정돈하면서 제거하는 시술입니다.
    ▪︎리스크・부작용에 대해서 / 내출혈, 부종, 충혈, 결막부종 등 ※자유 진료
  • 닥터
    야스다 유리코

수술 후 경과

시술 전

  • 수술 전 상태 1
  • 수술 전 상태 1
  • 수술 전 상태 1

시술 직후

  • 수술 전 상태 1
  • 수술 전 상태 1
  • 수술 전 상태 1

시술 1주 후 (메이크업 없음)

  • 수술 전 상태 1
  • 수술 전 상태 1
  • 수술 전 상태 1

시술 1주 후 (메이크업 있음)

  • 수술 전 상태 1
  • 수술 전 상태 1
  • 수술 전 상태 1

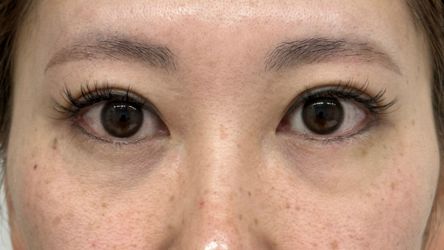
시술 1개월 후 (메이크업 없음)

  • 수술 전 상태 1
  • 수술 전 상태 1
  • 수술 전 상태 1

시술 1개월 후 (메이크업 있음)

  • 수술 전 상태 1
  • 수술 전 상태 1
  • 수술 전 상태 1