1. 홈페이지
  2. 눈 성형・쌍꺼풀 / 쌍꺼풀

쌍꺼풀

필터 검색

81~100건 표시: 전체338건

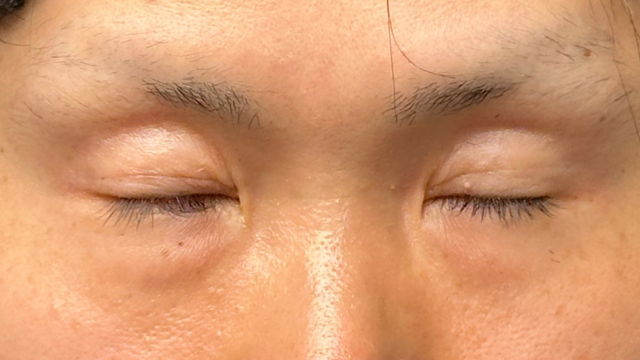
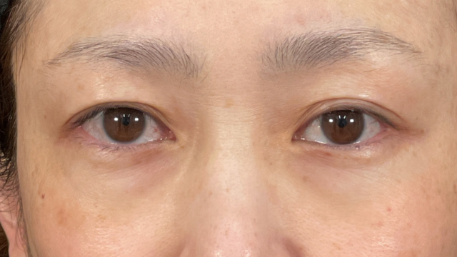
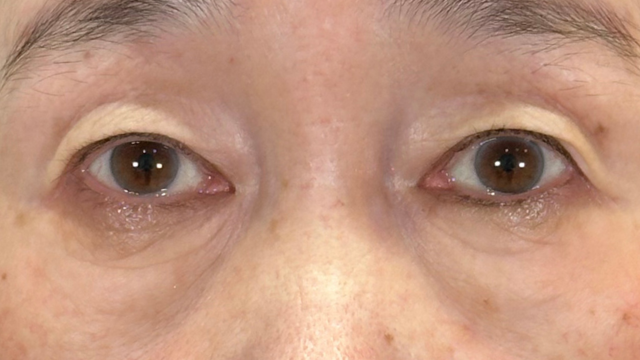
여성 20대

No.00511/ID:186571

부위 상태

  • 눈꺼풀의 무게
  • 눈꺼풀 처짐

환자의 요구 사항

  • #좌우 비대칭을 교정하고 싶어요
  • #자연유착법 4홀(스퀘어)
  • Before
    수술 전 상태 1
  • Before
    수술 전 상태 1
  • Before
    수술 전 상태 1
  • After
    수술 후 상태 1
  • After
    수술 후 상태 1
  • After
    수술 후 상태 1

시술 내용・위험

  • 시술 내용・
    위험
    【매몰법・자연 유착법】
    ▪︎통상 가격 / ¥14,800 ~ ¥418,000
    ▪︎치료 횟수 / 1
    ▪︎치료 내용 / 눈꺼풀의 여러 곳을 전용의 실로 고정하는 것으로, 이중 눈꺼풀을 형성하는 시술입니다.
    ▪︎리스크・부작용에 대해서 / 붓기・통증・내출혈:2일~2주일 ​​정도 ※자유진료

여성 40대

No.00510/ID:163512

부위 상태

  • 속쌍꺼풀
  • 눈빛이 나빠 보인다

환자의 요구 사항

  • #자연스러운 디자인
  • #인라인쌍꺼풀
  • #자연유착법 4홀(트라이앵글)
  • Before
    수술 전 상태 1
  • Before
    수술 전 상태 1
  • Before
    수술 전 상태 1
  • After
    수술 후 상태 1
  • After
    수술 후 상태 1
  • After
    수술 후 상태 1

시술 내용・위험

  • 시술 내용・
    위험
    【매몰법・자연 유착법】
    ▪︎통상 가격 / ¥14,800 ~ ¥418,000
    ▪︎치료 횟수 / 1
    ▪︎치료 내용 / 눈꺼풀의 여러 곳을 전용의 실로 고정하는 것으로, 이중 눈꺼풀을 형성하는 시술입니다.
    ▪︎리스크・부작용에 대해서 / 붓기・통증・내출혈:2일~2주일 ​​정도 ※자유진료

여성 20대

No.00509/ID:201778

부위 상태

  • 속쌍꺼풀
  • 눈빛이 나빠 보인다

환자의 요구 사항

  • #좌우 비대칭을 교정하고 싶어요
  • #자연유착법 4홀(스퀘어)
  • Before
    수술 전 상태 1
  • Before
    수술 전 상태 1
  • Before
    수술 전 상태 1
  • After
    수술 후 상태 1
  • After
    수술 후 상태 1
  • After
    수술 후 상태 1

시술 내용・위험

  • 시술 내용・
    위험
    【매몰법・자연 유착법】
    ▪︎통상 가격 / ¥14,800 ~ ¥418,000
    ▪︎치료 횟수 / 1
    ▪︎치료 내용 / 눈꺼풀의 여러 곳을 전용의 실로 고정하는 것으로, 이중 눈꺼풀을 형성하는 시술입니다.
    ▪︎리스크・부작용에 대해서 / 붓기・통증・내출혈:2일~2주일 ​​정도 ※자유진료

여성 20대

No.00506/ID:201833

부위 상태

  • 눈꺼풀의 무게
  • 눈꺼풀 처짐

환자의 요구 사항

  • #자연스러운 디자인
  • #인라인쌍꺼풀
  • #자연유착법 4홀(트라이앵글)
  • Before
    수술 전 상태 1
  • Before
    수술 전 상태 1
  • Before
    수술 전 상태 1
  • After
    수술 후 상태 1
  • After
    수술 후 상태 1
  • After
    수술 후 상태 1

시술 내용・위험

  • 시술 내용・
    위험
    【매몰법・자연 유착법】
    ▪︎통상 가격 / ¥14,800 ~ ¥418,000
    ▪︎치료 횟수 / 1
    ▪︎치료 내용 / 눈꺼풀의 여러 곳을 전용의 실로 고정하는 것으로, 이중 눈꺼풀을 형성하는 시술입니다.
    ▪︎리스크・부작용에 대해서 / 붓기・통증・내출혈:2일~2주일 ​​정도 ※자유진료

여성 40대

No.00505/ID:194335

부위 상태

  • 눈꺼풀의 무게
  • 눈꺼풀 처짐

환자의 요구 사항

  • #자연스러운 디자인
  • #인라인쌍꺼풀
  • #자연유착법 4홀(트라이앵글)
  • Before
    수술 전 상태 1
  • Before
    수술 전 상태 1
  • Before
    수술 전 상태 1
  • After
    수술 후 상태 1
  • After
    수술 후 상태 1
  • After
    수술 후 상태 1

시술 내용・위험

  • 시술 내용・
    위험
    【매몰법・자연 유착법】
    ▪︎통상 가격 / ¥14,800 ~ ¥418,000
    ▪︎치료 횟수 / 1
    ▪︎치료 내용 / 눈꺼풀의 여러 곳을 전용의 실로 고정하는 것으로, 이중 눈꺼풀을 형성하는 시술입니다.
    ▪︎리스크・부작용에 대해서 / 붓기・통증・내출혈:2일~2주일 ​​정도 ※자유진료

여성 20대

No.00504/ID:187917

부위 상태

  • 무거운 눈꺼풀
  • 눈이 작고 가늘어 보인다

환자의 요구 사항

  • #인라인쌍꺼풀
  • #자연유착법 6홀
  • Before
    수술 전 상태 1
  • Before
    수술 전 상태 1
  • Before
    수술 전 상태 1
  • After
    수술 후 상태 1
  • After
    수술 후 상태 1
  • After
    수술 후 상태 1

시술 내용・위험

  • 시술 내용・
    위험
    【매몰법・자연 유착법】
    ▪︎통상 가격 / ¥14,800 ~ ¥418,000
    ▪︎치료 횟수 / 1
    ▪︎치료 내용 / 눈꺼풀의 여러 곳을 전용의 실로 고정하는 것으로, 이중 눈꺼풀을 형성하는 시술입니다.
    ▪︎리스크・부작용에 대해서 / 붓기・통증・내출혈:2일~2주일 ​​정도 ※자유진료

여성 60년대

No.00503/ID:201683

부위 상태

  • 눈꺼풀의 무게
  • 눈꺼풀 처짐

환자의 요구 사항

  • #좌우 비대칭을 교정하고 싶어요
  • #자연유착법 4홀(스퀘어)
  • Before
    수술 전 상태 1
  • Before
    수술 전 상태 1
  • Before
    수술 전 상태 1
  • After
    수술 후 상태 1
  • After
    수술 후 상태 1
  • After
    수술 후 상태 1

시술 내용・위험

  • 시술 내용・
    위험
    【매몰법・자연 유착법】
    ▪︎통상 가격 / ¥14,800 ~ ¥418,000
    ▪︎치료 횟수 / 1
    ▪︎치료 내용 / 눈꺼풀의 여러 곳을 전용의 실로 고정하는 것으로, 이중 눈꺼풀을 형성하는 시술입니다.
    ▪︎리스크・부작용에 대해서 / 붓기・통증・내출혈:2일~2주일 ​​정도 ※자유진료

남성 20대

No.00501/ID:196223

부위 상태

  • 무거운 눈꺼풀
  • 눈이 작고 가늘어 보인다

환자의 요구 사항

  • #쌍꺼풀 너비를 넓히고 싶어요
  • #자연유착법 6홀
  • Before
    수술 전 상태 1
  • Before
    수술 전 상태 1
  • Before
    수술 전 상태 1
  • After
    수술 후 상태 1
  • After
    수술 후 상태 1
  • After
    수술 후 상태 1

시술 내용・위험

  • 시술 내용・
    위험
    【매몰법・자연 유착법】
    ▪︎통상 가격 / ¥14,800 ~ ¥418,000
    ▪︎치료 횟수 / 1
    ▪︎치료 내용 / 눈꺼풀의 여러 곳을 전용의 실로 고정하는 것으로, 이중 눈꺼풀을 형성하는 시술입니다.
    ▪︎리스크・부작용에 대해서 / 붓기・통증・내출혈:2일~2주일 ​​정도 ※자유진료

남성 30대

No.00500/ID:61746

부위 상태

  • 눈꺼풀의 무게
  • 눈꺼풀 처짐

환자의 요구 사항

  • #자연스러운 디자인
  • #인라인쌍꺼풀
  • #자연유착법 4홀(트라이앵글)
  • Before
    수술 전 상태 1
  • Before
    수술 전 상태 1
  • Before
    수술 전 상태 1
  • After
    수술 후 상태 1
  • After
    수술 후 상태 1
  • After
    수술 후 상태 1

시술 내용・위험

  • 시술 내용・
    위험
    【매몰법・자연 유착법】
    ▪︎통상 가격 / ¥14,800 ~ ¥418,000
    ▪︎치료 횟수 / 1
    ▪︎치료 내용 / 눈꺼풀의 여러 곳을 전용의 실로 고정하는 것으로, 이중 눈꺼풀을 형성하는 시술입니다.
    ▪︎리스크・부작용에 대해서 / 붓기・통증・내출혈:2일~2주일 ​​정도 ※자유진료

여성 40대

No.00499/ID:201434

부위 상태

  • 속쌍꺼풀
  • 눈빛이 나빠 보인다

환자의 요구 사항

  • #쌍꺼풀 너비를 넓히고 싶어요
  • #자연유착법 6홀
  • Before
    수술 전 상태 1
  • Before
    수술 전 상태 1
  • Before
    수술 전 상태 1
  • After
    수술 후 상태 1
  • After
    수술 후 상태 1
  • After
    수술 후 상태 1

시술 내용・위험

  • 시술 내용・
    위험
    【매몰법・자연 유착법】
    ▪︎통상 가격 / ¥14,800 ~ ¥418,000
    ▪︎치료 횟수 / 1
    ▪︎치료 내용 / 눈꺼풀의 여러 곳을 전용의 실로 고정하는 것으로, 이중 눈꺼풀을 형성하는 시술입니다.
    ▪︎리스크・부작용에 대해서 / 붓기・통증・내출혈:2일~2주일 ​​정도 ※자유진료

여성 30대

No.00498/ID:183006

부위 상태

  • 눈꺼풀의 무게
  • 눈꺼풀 처짐

환자의 요구 사항

  • #좌우 비대칭을 교정하고 싶어요
  • #자연유착법 4홀(스퀘어)
  • Before
    수술 전 상태 1
  • Before
    수술 전 상태 1
  • Before
    수술 전 상태 1
  • After
    수술 후 상태 1
  • After
    수술 후 상태 1
  • After
    수술 후 상태 1

시술 내용・위험

  • 시술 내용・
    위험
    【매몰법・자연 유착법】
    ▪︎통상 가격 / ¥14,800 ~ ¥418,000
    ▪︎치료 횟수 / 1
    ▪︎치료 내용 / 눈꺼풀의 여러 곳을 전용의 실로 고정하는 것으로, 이중 눈꺼풀을 형성하는 시술입니다.
    ▪︎리스크・부작용에 대해서 / 붓기・통증・내출혈:2일~2주일 ​​정도 ※자유진료

여성 40대

No.00496/ID:196242

부위 상태

  • 무거운 눈꺼풀
  • 눈이 작고 가늘어 보인다

환자의 요구 사항

  • #좌우 비대칭을 교정하고 싶어요
  • #자연유착법 4홀(스퀘어)
  • Before
    수술 전 상태 1
  • Before
    수술 전 상태 1
  • Before
    수술 전 상태 1
  • After
    수술 후 상태 1
  • After
    수술 후 상태 1
  • After
    수술 후 상태 1

시술 내용・위험

  • 시술 내용・
    위험
    【매몰법・자연 유착법】
    ▪︎통상 가격 / ¥14,800 ~ ¥418,000
    ▪︎치료 횟수 / 1
    ▪︎치료 내용 / 눈꺼풀의 여러 곳을 전용의 실로 고정하는 것으로, 이중 눈꺼풀을 형성하는 시술입니다.
    ▪︎리스크・부작용에 대해서 / 붓기・통증・내출혈:2일~2주일 ​​정도 ※자유진료

여성 20대

No.00495/ID:193516

부위 상태

  • 속쌍꺼풀
  • 눈빛이 나빠 보인다

환자의 요구 사항

  • #자연스러운 디자인
  • #인라인쌍꺼풀
  • Before
    수술 전 상태 1
  • Before
    수술 전 상태 1
  • Before
    수술 전 상태 1
  • After
    수술 후 상태 1
  • After
    수술 후 상태 1
  • After
    수술 후 상태 1

시술 내용・위험

  • 시술 내용・
    위험
    【매몰법・자연 유착법】
    ▪︎통상 가격 / ¥14,800 ~ ¥418,000
    ▪︎치료 횟수 / 1
    ▪︎치료 내용 / 눈꺼풀의 여러 곳을 전용의 실로 고정하는 것으로, 이중 눈꺼풀을 형성하는 시술입니다.
    ▪︎리스크・부작용에 대해서 / 붓기・통증・내출혈:2일~2주일 ​​정도 ※자유진료

여성 20대

No.00494/ID:177216

부위 상태

  • 눈꺼풀의 무게
  • 눈꺼풀 처짐

환자의 요구 사항

  • #인라인쌍꺼풀
  • #자연유착법 6홀
  • Before
    수술 전 상태 1
  • Before
    수술 전 상태 1
  • Before
    수술 전 상태 1
  • After
    수술 후 상태 1
  • After
    수술 후 상태 1
  • After
    수술 후 상태 1

시술 내용・위험

  • 시술 내용・
    위험
    【매몰법・자연 유착법】
    ▪︎통상 가격 / ¥14,800 ~ ¥418,000
    ▪︎치료 횟수 / 1
    ▪︎치료 내용 / 눈꺼풀의 여러 곳을 전용의 실로 고정하는 것으로, 이중 눈꺼풀을 형성하는 시술입니다.
    ▪︎리스크・부작용에 대해서 / 붓기・통증・내출혈:2일~2주일 ​​정도 ※자유진료

여성 30대

No.00493/ID:188993

부위 상태

  • 속쌍꺼풀
  • 눈빛이 나빠 보인다

환자의 요구 사항

  • #좌우 비대칭을 교정하고 싶어요
  • #자연유착법 4홀(스퀘어)
  • Before
    수술 전 상태 1
  • Before
    수술 전 상태 1
  • Before
    수술 전 상태 1
  • After
    수술 후 상태 1
  • After
    수술 후 상태 1
  • After
    수술 후 상태 1

시술 내용・위험

  • 시술 내용・
    위험
    【매몰법・자연 유착법】
    ▪︎통상 가격 / ¥14,800 ~ ¥418,000
    ▪︎치료 횟수 / 1
    ▪︎치료 내용 / 눈꺼풀의 여러 곳을 전용의 실로 고정하는 것으로, 이중 눈꺼풀을 형성하는 시술입니다.
    ▪︎리스크・부작용에 대해서 / 붓기・통증・내출혈:2일~2주일 ​​정도 ※자유진료

여성 30대

No.00492/ID:196468

부위 상태

  • 속쌍꺼풀
  • 눈빛이 나빠 보인다

환자의 요구 사항

  • #인라인쌍꺼풀
  • #자연유착법 4홀(트라이앵글)
  • Before
    수술 전 상태 1
  • Before
    수술 전 상태 1
  • Before
    수술 전 상태 1
  • After
    수술 후 상태 1
  • After
    수술 후 상태 1
  • After
    수술 후 상태 1

시술 내용・위험

  • 시술 내용・
    위험
    【매몰법・자연 유착법】
    ▪︎통상 가격 / ¥14,800 ~ ¥418,000
    ▪︎치료 횟수 / 1
    ▪︎치료 내용 / 눈꺼풀의 여러 곳을 전용의 실로 고정하는 것으로, 이중 눈꺼풀을 형성하는 시술입니다.
    ▪︎리스크・부작용에 대해서 / 붓기・통증・내출혈:2일~2주일 ​​정도 ※자유진료

여성 40대

No.00491/ID:197113

부위 상태

  • 속쌍꺼풀
  • 눈빛이 나빠 보인다

환자의 요구 사항

  • #인라인쌍꺼풀
  • #자연유착법 6홀
  • Before
    수술 전 상태 1
  • Before
    수술 전 상태 1
  • Before
    수술 전 상태 1
  • After
    수술 후 상태 1
  • After
    수술 후 상태 1
  • After
    수술 후 상태 1

시술 내용・위험

  • 시술 내용・
    위험
    【매몰법・자연 유착법】
    ▪︎통상 가격 / ¥14,800 ~ ¥418,000
    ▪︎치료 횟수 / 1
    ▪︎치료 내용 / 눈꺼풀의 여러 곳을 전용의 실로 고정하는 것으로, 이중 눈꺼풀을 형성하는 시술입니다.
    ▪︎리스크・부작용에 대해서 / 붓기・통증・내출혈:2일~2주일 ​​정도 ※자유진료

여성 20대

No.00490/ID:187046

부위 상태

  • 무거운 눈꺼풀
  • 눈이 작고 가늘어 보인다

환자의 요구 사항

  • #인라인쌍꺼풀
  • #자연유착법 6홀
  • Before
    수술 전 상태 1
  • Before
    수술 전 상태 1
  • Before
    수술 전 상태 1
  • After
    수술 후 상태 1
  • After
    수술 후 상태 1
  • After
    수술 후 상태 1

시술 내용・위험

  • 시술 내용・
    위험
    【매몰법・자연 유착법】
    ▪︎통상 가격 / ¥14,800 ~ ¥418,000
    ▪︎치료 횟수 / 1
    ▪︎치료 내용 / 눈꺼풀의 여러 곳을 전용의 실로 고정하는 것으로, 이중 눈꺼풀을 형성하는 시술입니다.
    ▪︎리스크・부작용에 대해서 / 붓기・통증・내출혈:2일~2주일 ​​정도 ※자유진료

여성 20대

No.00488/ID:182465

부위 상태

  • 무거운 눈꺼풀
  • 눈이 작고 가늘어 보인다

환자의 요구 사항

  • #좌우 비대칭을 교정하고 싶어요
  • #자연유착법 4홀(스퀘어)
  • Before
    수술 전 상태 1
  • Before
    수술 전 상태 1
  • Before
    수술 전 상태 1
  • After
    수술 후 상태 1
  • After
    수술 후 상태 1
  • After
    수술 후 상태 1

시술 내용・위험

  • 시술 내용・
    위험
    【매몰법・자연 유착법】
    ▪︎통상 가격 / ¥14,800 ~ ¥418,000
    ▪︎치료 횟수 / 1
    ▪︎치료 내용 / 눈꺼풀의 여러 곳을 전용의 실로 고정하는 것으로, 이중 눈꺼풀을 형성하는 시술입니다.
    ▪︎리스크・부작용에 대해서 / 붓기・통증・내출혈:2일~2주일 ​​정도 ※자유진료

여성 50년대

No.00487/ID:196261

부위 상태

  • 불안정한 쌍꺼풀
  • 속쌍꺼풀
  • 눈빛이 나빠 보인다

환자의 요구 사항

  • #또렷한 쌍꺼풀
  • #쌍꺼풀 너비를 넓히고 싶어요
  • #좌우 비대칭을 교정하고 싶어요
  • #자연유착법 6홀
  • Before
    수술 전 상태 1
  • Before
    수술 전 상태 1
  • Before
    수술 전 상태 1
  • After
    수술 후 상태 1
  • After
    수술 후 상태 1
  • After
    수술 후 상태 1

시술 내용・위험

  • 시술 내용・
    위험
    【매몰법・자연 유착법】
    ▪︎통상 가격 / ¥14,800 ~ ¥418,000
    ▪︎치료 횟수 / 1
    ▪︎치료 내용 / 눈꺼풀의 여러 곳을 전용의 실로 고정하는 것으로, 이중 눈꺼풀을 형성하는 시술입니다.
    ▪︎리스크・부작용에 대해서 / 붓기・통증・내출혈:2일~2주일 ​​정도 ※자유진료