1. トップページヘ
  2. 目・二重 / 二重
  3. 自然癒着法・埋没法
  4. 症例詳細No.00468

症例詳細

No.00468/ID:195241

二重(埋没・自然癒着法・切開法)

患部の状態

  • 重め瞼
  • 一重
  • 目が小さく・細く見える

本人のご要望

  • #まつ毛の生え際を見せたい
  • #末広型
  • #4点自然癒着法(スクエア)
  • #バレない控えめ二重
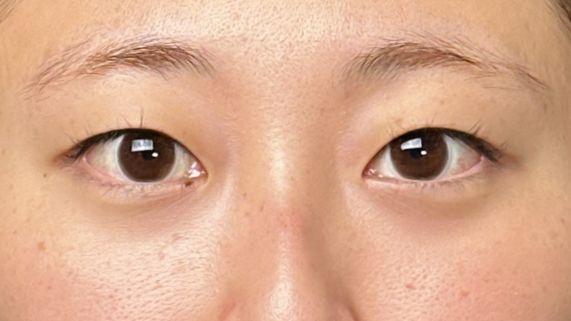
  • Before
    手術前の状態
  • Before
    手術前の状態
  • Before
    手術前の状態
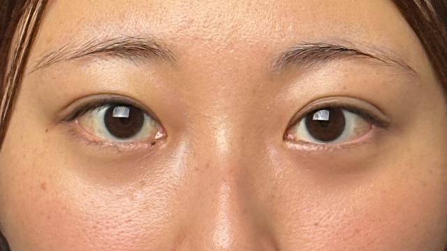
  • After
    手術後の状態
  • After
    手術後の状態
  • After
    手術後の状態
  • 施術名
    4点自然癒着法(スクエア)
  • 施術内容・
    リスク
    【埋没法▪︎自然癒着法】
    ▪︎通常価格 / ¥14,800〜¥418,000
    ▪︎治療回数 / 1回
    ▪︎治療内容 / まぶたの数か所を専用の糸で固定することで、二重まぶたを形成する施術です。
    ▪︎リスク▪︎副作用について / 腫れ▪︎痛み▪︎内出血:2日〜2週間程度 ※自由診療
  • ドクター
    小島 永稔

術後経過

施術前

  • 手術前の状態 その1
  • 手術前の状態 その1
  • 手術前の状態 その1

施術直後

  • 手術前の状態 その1
  • 手術前の状態 その1
  • 手術前の状態 その1

施術1週間後(メイクなし)

  • 手術前の状態 その1
  • 手術前の状態 その1
  • 手術前の状態 その1

施術1週間後(メイクあり)

  • 手術前の状態 その1
  • 手術前の状態 その1
  • 手術前の状態 その1

施術1ヶ月後(メイクなし)

  • 手術前の状態 その1
  • 手術前の状態 その1
  • 手術前の状態 その1

施術1ヶ月後(メイクあり)

  • 手術前の状態 その1
  • 手術前の状態 その1
  • 手術前の状態 その1