1. トップページヘ
  2. 目の上のたるみ / 眉下切開
  3. 眉下切開
  4. 症例詳細No.00370

症例詳細

No.00370/ID:177378

眉下切開

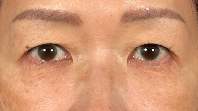
患部の状態

  • 奥二重
  • 目つきが悪く見える

本人のご要望

  • #眉下切開
  • Before
    手術前の状態
  • Before
    手術前の状態
  • Before
    手術前の状態
  • After
    手術後の状態
  • After
    手術後の状態
  • After
    手術後の状態
  • 施術名
    眉下切開
  • 施術内容・
    リスク
    【眉下切開】
    ▪︎通常価格 / ¥346,500
    ▪︎治療回数 / 1回
    ▪︎治療内容 / 眉毛のすぐ下にある余分な皮膚を切開し、たるんだまぶたを改善する施術です。
    ▪︎リスク▪︎副作用について / 腫れ、内出血、感染、左右差、傷跡、赤み、予定外の皺など ※自由診療
  • ドクター
    渋谷 淳

術後経過

施術前

  • 手術前の状態 その1
  • 手術前の状態 その1
  • 手術前の状態 その1

施術直後

  • 手術前の状態 その1
  • 手術前の状態 その1
  • 手術前の状態 その1

施術1週間後(メイクなし)

  • 手術前の状態 その1
  • 手術前の状態 その1
  • 手術前の状態 その1

施術1ヶ月後(メイクなし)

  • 手術前の状態 その1
  • 手術前の状態 その1
  • 手術前の状態 その1