1. トップページヘ
  2. 目・二重 / 二重
  3. 自然癒着法・埋没法
  4. 症例詳細No.00279

症例詳細

No.00279/ID:154881

二重(埋没・自然癒着法・切開法)

患部の状態

  • 奥二重
  • 目つきが悪く見える

本人のご要望

  • #二重幅を広げたい
  • #6点自然癒着法
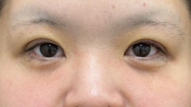
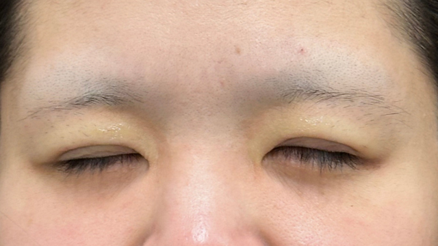
  • Before
    手術前の状態
  • Before
    手術前の状態
  • Before
    手術前の状態
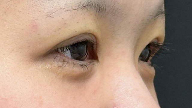
  • After
    手術後の状態
  • After
    手術後の状態
  • After
    手術後の状態
  • 施術名
    6点自然癒着法
  • 施術内容・
    リスク
    【埋没法▪︎自然癒着法】
    ▪︎通常価格 / ¥14,800〜¥418,000
    ▪︎治療回数 / 1回
    ▪︎治療内容 / まぶたの数か所を専用の糸で固定することで、二重まぶたを形成する施術です。
    ▪︎リスク▪︎副作用について / 腫れ▪︎痛み▪︎内出血:2日〜2週間程度 ※自由診療
  • ドクター
    小島 永稔

術後経過

施術前

  • 手術前の状態 その1
  • 手術前の状態 その1
  • 手術前の状態 その1

施術直後

  • 手術前の状態 その1
  • 手術前の状態 その1
  • 手術前の状態 その1

施術1週間後(メイクなし)

  • 手術前の状態 その1
  • 手術前の状態 その1
  • 手術前の状態 その1

施術1週間後(メイクあり)

  • 手術前の状態 その1
  • 手術前の状態 その1
  • 手術前の状態 その1

施術1ヶ月後(メイクなし)

  • 手術前の状態 その1
  • 手術前の状態 その1
  • 手術前の状態 その1

施術1ヶ月後(メイクあり)

  • 手術前の状態 その1
  • 手術前の状態 その1
  • 手術前の状態 その1