1. Home
  2. Eye bags / Eye bags removal
  3. Lower Eyelid Blepharoplasty
  4. Case Details No.00105

Case Details

No.00105/ID:210587

Lower Eyelid Blepharoplasty

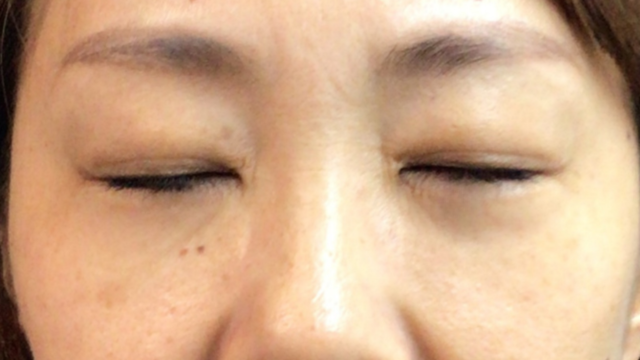
Condition of the Area

  • Prominent sagging, Bulging under the eyes

Patient’s Request

  • #lower eyelid blepharoplasty
  • Before
    Preoperative Condition Part 1
  • Before
    Preoperative Condition Part 1
  • Before
    Preoperative Condition Part 1
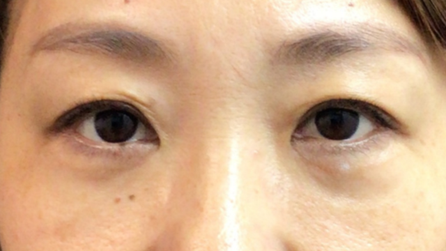
  • After
    Postoperative Condition Part 1
  • After
    Postoperative Condition Part 1
  • After
    Postoperative Condition Part 1
  • Procedure Name
    Lower Eyelid Blepharoplasty
  • Procedure / Risks
    【Lower eyelid Blepharoplasty】
    ▪︎Regular price / ¥19,800〜¥250,500
    ▪︎Number of procedures / 1
    ▪︎Treatment details / This is a treatment that removes only the excess fat that causes dark circles from the inner, central, and outer areas while adjusting the balance.
    ▪︎Risks and side effects / Bruising, swelling, redness, conjunctival edema ※Private Medical Care
  • Doctor
    Lan Lan

Post OP Progress

Before

  • Postoperative Condition Part 1
  • Postoperative Condition Part 1
  • Postoperative Condition Part 1

Right After surgery

  • Postoperative Condition Part 1
  • Postoperative Condition Part 1
  • Postoperative Condition Part 1

After 1 week (without makeup)

  • Postoperative Condition Part 1
  • Postoperative Condition Part 1
  • Postoperative Condition Part 1

After 1 week (with makeup

  • Postoperative Condition Part 1
  • Postoperative Condition Part 1
  • Postoperative Condition Part 1

After 1 month (without make up)

  • Postoperative Condition Part 1
  • Postoperative Condition Part 1
  • Postoperative Condition Part 1

After 1 month (with makeup)

  • Postoperative Condition Part 1
  • Postoperative Condition Part 1
  • Postoperative Condition Part 1